青少年特发性脊柱侧凸矫形术后远端附加现象——一个需要重视的问题
2018-04-16 作者:首都医科大学附属北京朝阳医院 王云生 海涌 我要说
骨科在线版权所有,如需转载请注明来自本网站.
青少年特发性脊柱侧凸(adolescent idiopathic scoliosis,AIS)是青少年最常见的脊柱畸形疾病,以冠状位侧凸畸形、矢状位胸椎后凸减小和轴位椎体旋转为主要特点。随着对AIS研究的深入以及矫形技术的发展,AIS手术矫形效果得到了显著提高。然而在对AIS病人进行术后随访的过程中,脊柱外科医师发现了一类特殊的情况。这些病人在术后随访期间,融合节段下方出现了弯曲加重的表现,这就是近年来引起脊柱外科医师重视的问题——脊柱侧凸矫形术后远端附加现象(adding-on phenomenon)。

术后随访1年以上出现adding-on现象
1.什么是远端附加现象?
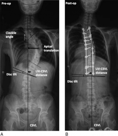
Wang等人[1]于2011年在Spine杂志上发表的文章中将远端附加现象定义为结构性主弯融合术后随访1年及以上时,主弯范围延长,最下固定椎(lowest instrumented vertebra,LIV)下方有更多椎体进入主弯,LIV以下第一个椎体偏离骶骨中垂线(center sacral vertical line,CSVL)5mm以上或LIV以下第一个椎间隙成角增加5°以上的现象。目前这一定义得到学界广泛的认可。远端附加现象多出现于行选择性胸弯融合的患者,主要是Lenke 1A型及Lenke 2A型AIS患者。其诊断标准为末次随访时,对比术后站立位脊柱全长正位片出现:
(1)主弯下端椎(lower end vertebra,LEV)向远端移动,主弯椎体数增加,LIV偏离CSVL 10mm以上;
(2)或是LIV以下第一个椎体偏离CSVL 5mm以上;
(3)或是LIV以下第1个椎间隙成角增加5°以上[1,2]。


2.为什么会出现远端附加现象?
关于远端附加现象的形成机制,目前研究争议较多,主要的理论有两种:
(1)肩平衡代偿理论
(2)骨骼发育理论

远端附加现象与术后肩平衡呈负相关[3]
Cao等人[3]通过多中心回顾性分析142例Lenke 2型AIS患者,发现术后肩失衡与远端附加现象呈现明显的负相关,认为远端附加现象是术后肩失衡出现后,随时间推移在冠状面上代偿的结果,提出肩失衡代偿机制为远端附加现象的成因。此外,Matsumoto等人[4]对106例Lenke 1A型AIS患者术后肩平衡的相关研究发现,远端附加现象对于术后肩失衡存在一定代偿作用。同时,Lee等人[5]对80例Lenke 2型AIS患者术后肩平衡情况进行研究时也发现了类似的代偿作用。因此,上述学者认为AIS术后远端附加现象为冠状面肩失衡代偿所致。
而Upasani等人[6]对89例AIS患者进行回顾性分析发现,术后2年共13例患者出现远端附加现象,其中年龄小及Risser征较低为独立危险因素,因此认为骨骼成熟度越低的患者术后更易发生远端附加现象,进而提出远端附加现象可认为是随年龄增长而在远端新发的侧凸。同时,Murphy等人[7]及国内李明教授团队[8]的研究也证实,Risser征低(0级或1级)的AIS病人术后更易出现远端附加现象。进而部分学者认为骨骼发育不成熟的AIS患者进行融合术后,随着骨骼的发育,远端逐渐形成新的侧凸,最终成为远端附加现象。

此外,也有部分学者[9,10]对于远端附加现象的发生机制也提出了其他理论,例如远端椎体参与代偿冠状面平衡、远端固定椎下方椎间盘受力不均等。目前,AIS矫形术后远端附加现象的形成机制尚没有得到广泛认可,仍需进一步研究。
3.远端附加现象与LIV的选择有关吗?
远端附加现象的危险因素是目前学界研究的热点,已经得到学界共识的危险因素包括以下几点:
(1) Risser征低(0级或I级);
(2) 术前冠状位失平衡(CSVL-C7PL>2cm);
(3) LIV选择不当。
在这三点当中,LIV的选择是最受脊柱外科医师关注的话题。对于选择性胸弯融合的患者,如何选择LIV令众多脊柱外科医师深感棘手,我们既要兼顾矫形效果,又要尽量保留腰椎活动度,到底LIV选在哪一椎体更为合适呢?

Wang等人[2]回顾性分析45例Lenke 1A型AIS患者,其中23例(51%)矫形术后1年发生远端附加现象,统计学分析结果显示术前LIV远端第一个椎体(LIV+1)距离CSVL超过10mm为出现远端附加现象的独立危险因素,因此认为LIV应选择在偏移CSVL小于10mm的椎体头端第一个椎体。Matsumoto等[11]通过一项对112例Lenke 1A型AIS患者的多中心研究发现,未融合至最后触及椎(从骶骨向头端最后一个接触 CSVL 的椎体)为发生远端附加现象的独立危险因素,因此认为LIV应选择最后触及椎。

最后实质触及椎是LIV的最佳选择[8]
国内邱勇教授团队[12]回顾性分析104例Lenke 1A型AIS患者,其中23例(22.1%)发生远端附加现象,分析认为LIV的选择应位于最后实质触及椎(从骶骨往头端最后一个被CSVL平分的椎体)以降低远端附加现象发生率。此外,李明教授团队[13-15]的系列研究也认为选择最后实质触及椎作为LIV,术后发生远端附加现象的风险最低,同时应该考虑LIV距离CSVL不应超过1cm。因此,学界认为对于AIS患者行选择性胸弯融合手术的LIV应选择最后实质触及椎最为合适。

综上所述,远端附加现象是青少年脊柱侧凸术后一个需要重视的问题。目前学界研究认为AIS术后远端附加现象与LIV的选择、骨骼成熟度及术前冠状面平衡情况密切相关,其中LIV的选择是最重要的影响因素。对于进行选择性胸弯融合的患者,其下方固定椎应选择最后实质触及椎以降低远端附加现象的发生率。然而,关于远端附加现象还有许多相关问题需要进一步研究。例如出现远端附加现象之后应该如何处理?是保守治疗密切观察还是积极翻修手术?目前学界对于这方面的研究相对较少。AIS选择性融合的方案选择时,我们既要得到满意的矫形效果,又要保留腰椎活动度,如何兼得鱼和熊掌是目前脊柱外科医师需要更多关注的问题。
参考文献
1. Wang Y, Bünger CE, Zhang Y, et al. Distal Adding on in Lenke 1A Scoliosis: What Causes It? How Can It Be Prevented? [J]. Spine Deform. 2014 Jul;2(4):301-307.
2. Wang Y, Bünger CE, Zhang Y, et al. Distal adding on in Lenke 1A scoliosis: how to more effectively determine the onset of distal adding-on [J]. Spine (Phila Pa 1976). 2013 Mar 15;38(6):490-5.
3. Cao K, Watanabe K, Hosogane N, et al. Association of postoperative shoulder balance with adding-on in Lenke Type II adolescent idiopathic scoliosis [J]. Spine (Phila Pa 1976). 2014 May 20;39(12):E705-12.
4. Matsumoto M, Watanabe K, Kawakami N,et al. Postoperative shoulder imbalance in Lenke Type 1A adolescent idiopathic scoliosis and related factors [J]. BMC Musculoskelet Disord. 2014 Nov 5;15:366.
5. Lee CS, Hwang CJ, Lim EJ,et al. A retrospective study to reveal factors associated with postoperative shoulder imbalance in patients with adolescent idiopathic scoliosis with double thoracic curve [J]. J Neurosurg Pediatr. 2016 Dec;25(6):744-752.
6. Upasani VV, Hedequist DJ, Hresko MT, et al. Spinal deformity progression after posterior segmental instrumentation and fusion for idiopathic scoliosis [J]. J Child Orthop. 2015 Feb;9(1):29-37.
7. Murphy JS1, Upasani VV, Yaszay B,et al. Predictors of Distal Adding-on in Thoracic Major Curves With AR Lumbar Modifiers [J]. Spine (Phila Pa 1976). 2017 Feb 15;42(4):E211-E218.
8. Bai J1, Chen K, Wei Q, et al. Selecting the LSTV as the Lower Instrumented Vertebra in the Treatment of Lenke Types 1A and 2A Adolescent Idiopathic Scoliosis: A Minimal 3-year Follow-up [J]. Spine (Phila Pa 1976). 2018 Apr 1;43(7):E390-E398.
9. Shigematsu H, Cheung JP, Bruzzone M, et al. Preventing Fusion Mass Shift Avoids Postoperative Distal Curve Adding-on in Adolescent Idiopathic Scoliosis [J]. Clin Orthop Relat Res. 2017 May;475(5):1448-1460.
10. Lakhal W,Loret JE,de Bodman C, et al. The progression of lumbar curves in adolescent Lenke 1 scoliosis and the distal adding-on phenomenon [J]. Orthop Traumatol Surg Res. 2014 Jun;100(4 Suppl):S249-54.
11. Matsumoto M, Watanabe K, Hosogane N, et al. Postoperative distal adding-on and related factors in Lenke type 1A curve [J]. Spine (Phila Pa 1976). 2013 Apr 20;38(9):737-44.
12. Qin X, Sun W, Xu L, et al. Selecting the Last "Substantially" Touching Vertebra as Lowest Instrumented Vertebra in Lenke Type 1A Curve: Radiographic Outcomes With a Minimum of 2-year Follow-Up [J]. Spine (Phila Pa 1976). 2016 Jun;41(12):E742-50.
13. Bai J, Chen K, Wei Q, et al. Selecting the LSTV as the Lower Instrumented Vertebra in the Treatment of Lenke Types 1A and 2A Adolescent Idiopathic Scoliosis: A Minimal 3-year Follow-up [J]. Spine (Phila Pa 1976). 2018 Apr 1;43(7):E390-E398.
14. Xu W, Chen C, Li Y, Yang C, et al. Distal adding-on phenomenon in adolescent idiopathic scoliosis patients with thoracolumbarvertebra fusion: A case-control study [J]. Medicine (Baltimore). 2017 Sep;96(38):e8099.
15. Yang C, Li Y, Yang M, et al. Adding-on Phenomenon After Surgery in Lenke Type 1, 2 Adolescent Idiopathic Scoliosis: Is it Predictable? [J]. Spine (Phila Pa 1976). 2016 Apr;41(8):698-704.



京公网安备11010502051256号