如果你想用好寰枢椎椎体间植骨融合术,一定要读完这篇文章
2017-11-08 文章来源:复旦大学附属中山医院骨科 曹渊武 陈子贤 蒋淳 冯振洲 姜晓幸 我要说
临床上常用的后路寰枢椎融合方法包括钢丝固定联合椎板间植骨融合术、经关节突螺钉固定联合椎板间植骨融合术、颈枕固定联合椎板间植骨融合术、寰枢椎侧块及椎弓根螺钉固定联合椎板间植骨融合术等。
其中钢丝固定联合椎板间植骨融合术操作简单,但是需要结构型植骨块及完整的C1后弓,而且该方法对寰枢关节无法提供足够的稳定性,即使术后辅助外固定支具,其不融合率仍然达到了30%;与此同时,钢丝或者钢缆固定时需要穿入椎管内,因此增加了脊髓损伤的风险。
经关节突螺钉联合椎板间植骨融合术在生物力学上明显优于钢丝固定,增加寰枢关节的融合率;但是该技术在置入螺钉之前需要对C1-2关节突关节进行提前复位,而且螺钉置入过程中容易受胸椎后凸畸形等解剖结构及椎动脉变异的影响,妨碍螺钉的置入并增加周围椎动脉损伤的风险。
枕颈融合术可以提供坚强的枕颈部稳定性和良好的融合率,但其固定范围较大,获得枕颈部稳定性的同时丧失大量的活动性,而且出现脑脊液瘘、伤口感染、皮肤压疮、呼吸困难、吞咽困难、颈部僵硬等并发症也相对较多。
寰枢椎侧块及椎弓根螺钉固定联合椎体间植骨融合术,通过C1侧块螺钉及C2椎弓根螺钉固定寰枢椎,相对于经关节突螺钉,螺钉更加偏上及偏内,因此能够降低椎动脉损伤的风险;而相对于钢丝固定,其减少了穿入椎管的步骤,因此减少了脊髓损伤的风险。
寰枢椎侧块及椎弓根螺钉固定椎体间植骨融合术是在寰枢椎侧块及椎弓根螺钉固定的基础上,将寰枢关节撑开,并在寰枢关节内置入植骨块或者自行设计的多孔钛金属垫片。
这种手术方法的优点是增加寰枢椎的融合率;与此同时,关节突关节的撑开能够增加相关韧带的紧张度及脊柱的轴向负荷,增加寰枢椎的稳定性;而且在治疗颅底凹陷症时,由于齿状突的下移,避免了传统的脊髓减压过程,减少了手术难度及脊髓损伤等相关并发症的风险。
不足之处在于自体骨的结构性植骨存在碎裂的可能性,而且供骨区会产生感染、疼痛等相应并发症;而Goel自行设计的多孔钛金属垫片具有应力遮挡、不透光及容易下沉等钛金属的通用缺点,而且自行设计的垫片无法在其他国家或地方进行推广应用。
peek腰椎融合器的使用
首先,鉴于自体骨及金属垫片的不足;其次,这些骨块与垫片在关节突撑开术中的作用与椎体融合器的作用无异;第三,现今脊柱peek腰椎融合器已被广泛应用,在获得上不存在任何的限制。因此我们大胆创新,在治疗寰枢椎脱位时,在后路螺钉固定的基础上,用peek材料的腰椎融合器代替植骨块植入关节突关节之间。适应于寰枢椎不稳定、颅底凹陷症。
手术方法
摆体位:俯卧位、头架固定头部于中立位
暴露:取枕下后正中入路,显露枕鳞、融合的枕骨大孔后缘和后结节,以及枢椎棘突椎板,向两侧分离至C1~2关节的外侧缘,显露枢椎椎弓峡部和寰枢椎关节突。
植入螺钉:按照术前颈枕融合或C1-2融合的计划,分别在枕骨、C1侧块、C2或C3植入相应的螺钉。

关节突撑开:切断或不切断C2神经根、打开侧块关节囊,用腰椎的撑开器松动撑开侧块关节,刮除关节面软骨终板。
融合器准备:在伴有颅底凹陷患者中,融合器高度按照术前齿状突与McGregor线(硬腭后缘至枕骨鳞部最低点连线)的关系选择;而在不伴有颅底凹陷的寰枢椎脱位的患者中,选择高度为7 mm的融合器。
融合器植入:在融合器中植入来自于C1和C2的部分椎板及棘突的自体骨,但不破坏其完整性;在两侧关节之间分别打入融合器。

安装连接棒,再依靠钉棒系统进一步复位寰枢关节,术中X线检查显示复位满意后,锁紧各螺钉关节。常规引流,术后2d即拔除引流管,患者戴颈托后可离床活动,颈托一般用3个月
结果
时间:2015年6月至2016年2月
病例数:4例
一例患者因C1先天性发育不良与枕骨融合,故采用枕颈固定。随访时间>12个月,骨性愈合100%,关节突关节之间无塌陷。术后神经功能明显改善,其余3例行单纯寰枢椎固定。

下颈椎原来代偿性改变的曲度,无论是过曲还是过伸都得到有效恢复,颈椎的矢状面力线更加平衡。

讨论
寰枢椎固定一般采用C1侧块和C2椎弓根螺钉的固定,但是对于C1变异无法行螺钉固定的患者,采用颈枕融合。相对于颈枕融合,寰枢椎固定可以减少颈部固定的范围,最大限度的保留颈部的活动度。
生物力学研究发现C2椎板螺钉与椎弓根螺钉固定强度相近,故对于C2椎弓根太小无法行椎弓根螺钉固定的患者,选择C2椎板螺钉固定。
据文献报道,在暴露及撑开寰枢椎关节突前通常需要将C2神经根切断,但是我们在操作过程中发现,并不是所有患者都需要切断C2神经根,通过仔细的分离和操作,部分患者的C2神经根可以得到保留,当然保留的C2神经根会增加cage植入的难度。
腰椎peek融合器能够代替植骨块或金属垫片在关节突撑开术中的作用,peek融合器的使用并不降低关节突撑开的效果及骨性融合率。相对于传统的植骨块,peek融合器的使用避免了取髂骨的必要,从而减少供骨区的相关并发症。相对于Goel的金属垫片,peek融合器在材料学上克服了金属垫片的不足。
腰椎peek融合器在寰枢椎椎体间融合术中的应用取得良好的临床疗效,但是现有腰椎peek融合器并不是为寰枢椎椎体间融合术设计,不完全匹配寰枢椎关节突关节,故在高度和尺寸上相对较大,可能会增加融合器植入时的风险。因此,为了进一步提高疗效及降低手术风险,有必要设计一种专用的寰枢椎peek融合器。
典型病例赏析
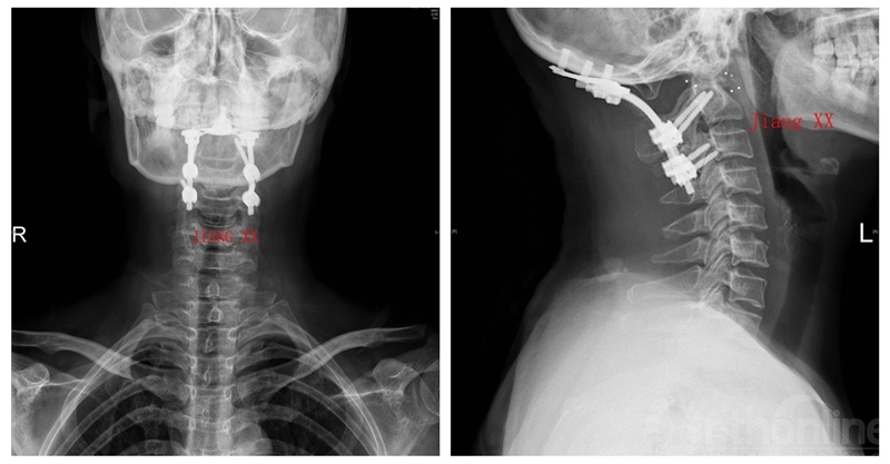
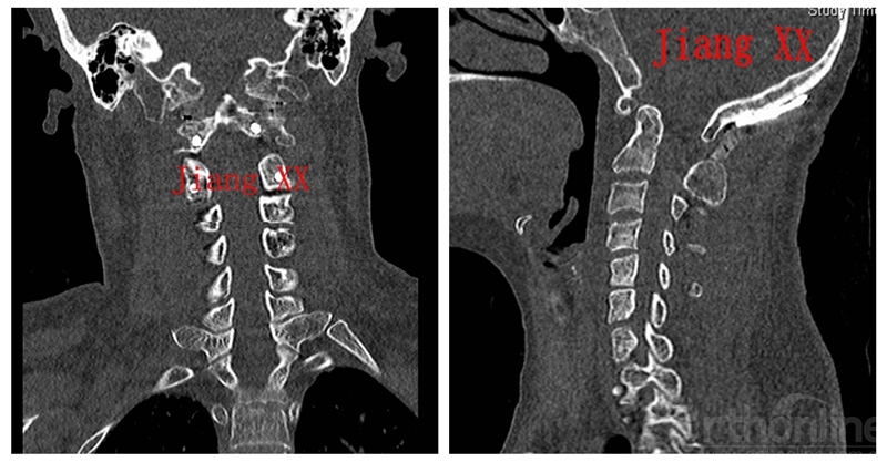
病例一:患者女性,49岁,因颈部活动受限4月入院,诊断为寰枢椎脱位,颅底凹陷。

术前X线

术前CT

术前MRI

术中照片

术后X线

术后CT

术后MRI

术后一年CT
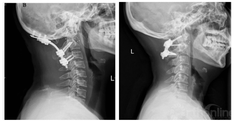
病例二:患者女性,58岁,主因“颈部疼痛伴转头受限半年”入院,诊断为寰枢椎半脱位。

术前X线

术前CT

术后X线

术后一年CT



京公网安备11010502051256号