PI-LL=±9°是成人脊柱畸形腰椎矢状面重建的金标准吗?
2017-09-26 文章来源:南京大学医学院附属鼓楼医院脊柱外科 钱邦平 邱勇 我要说
Schwab等提出成人脊柱畸形(ASD)矢状面重建的目标是:SVA<50mm, PT<20°, PI-LL=±9°。然而,近年来研究发现这一重建目标存在诸多缺陷,未考虑年龄、性别、种族、体位、手术等影响因素。
一、年龄因素
Lafage等对年龄分组,统计出正常人群各年龄段理想的脊柱-骨盆参数值(包括PT,PI-LL,SVA等)。他们发现随着年龄增长,脊柱-骨盆参数的正常值也会增加。
根据ODI标准化后,小于35岁时,PT、PI-LL、SVA正常值分别为11.1°、-11.3°和-29.1mm;当年龄增加到75岁以上时,PT、PI-LL、SVA正常值分别增加到28.8°、13.7°和-79.9mm。
根据SF-36 PCS标准化后,同样发现PI-LL正常值从小于35岁时的-9.7°增加至75岁以上时的20.2°(图1)。
由此可见,高龄患者因退变导致腰椎前凸丢失更多,PI-LL并不在±9°范围内,所以在成人脊柱畸形患者(ASD)中制定手术策略时,应考虑年龄因素。


图1. 各年龄段脊柱-骨盆参数正常值
Lafage R, et al. Defining spino-pelvic alignment threshold. Spine 2016; 41(1):pp 62-68.
二、性别因素
Yukawa等纳入626名无症状成人,根据性别分组,发现男女性在PI、PT、SVA等脊柱-骨盆矢状面参数方面有显著差异。对于PI,在40-49岁和70-79岁两个年龄段,男女性之间有统计学差异(p<0.01)(表1)。因此,PI-LL的理想值可能因性别不同而有所差异。

表1. 正常男女性各年龄段PI比较
Yukawa Y, et al. Normative data for parameters of sagittal spinal alignment in healthy subjects: an analysis of gender specific differences and changes with aging in 626 asymptomatic individuals. Eur Spine J. 2016 [Epub ahead of print]
三、种族因素
脊柱-骨盆矢状面参数在不同种族间也不同,Merrill等纳入1246名无明显脊柱畸形的患者,测量脊柱-骨盆矢状面参数,结果表明西班牙裔美国人的PI-LL比美国白人要小,而非洲裔美国人的PI-LL却大于美国白人。
四、生活习惯的差异
生活习惯与文化差异也会造成脊柱-骨盆矢状面形态的不同。如亚洲人如厕时常取蹲位,而欧美人常取坐位;一些宗教信仰者常行跪拜礼。这些都可能导致脊柱-骨盆矢状面参数的差异。

图2. 生活习惯与文化差异
五、不同功能位置对腰椎前凸的要求
脊柱-骨盆形态会受体位影响。PI=LL±9°是基于站立位脊柱-骨盆形态得出的理想公式,然而人们并不总是处于站立位。一天当中坐着的时间一般都长于站立位时间,因此坐位常常是功能位。
Hey等研究表明,从直立位、笔直坐位到放松坐位,SVA会逐步增加,而LL会逐渐减小(图3)。当LL矫正较多(PI-LL接近-9°),超过胸椎代偿能力时,尤其在放松坐位就容易出现近端交界性后凸(PJK)。

图3. 站立位、笔直坐位与放松坐位脊柱-骨盆参数的差异
Hey HW, et al. Differences in erect sitting and natural sitting spinal alignment-insights into a new paradigm and implications in deformity correction. Spine J 2017; 17(2):183-189.
Hey HW, et al. How the spine differs in standing and in sitting-important considerations for correction of spinal deformity. Spine J 2017; 17(6):799-806.
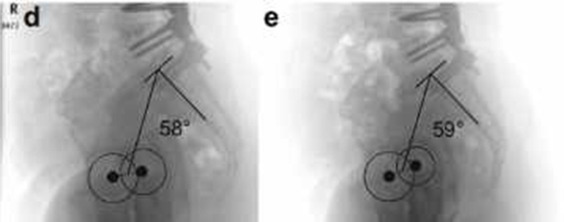
Arima等发现站立位脊柱矢状面形态尚可的ASD患者可能在行走过程中逐渐出现躯干前倾,进而改变脊柱-骨盆的矢状面参数(图4)。此外,当PI-LL超过40°时,更易发生直立位和行走中脊柱-骨盆形态不一致的情况。因此,PI-LL的确定应结合站立位、坐位、行走等不同体位的情况综合评估。

图4. 站立位与行走时脊柱-骨盆参数的不同
Arima H, et al. Discrepancy between standing posture and sagittal balance during walking in adult spinal deformity patients. Spine (Phila Pa 1976) 2017; 42(1):E25-E30.
六、PI本身并非固定不变的参数
最近一些文献指出,PI可能不是一个固定值。Lee等研究了11名接受骨盆固定,18名未固定到骨盆的ASD患者,发现两组术后即刻PI较术前均有显著增加,并且未行骨盆固定的一组在术后随访过程中,PI持续增加,这可能与LL矫正,骨盆形态恢复后骶髂关节间剪切应力增大有关(图5)。
Cecchinato等纳入66名行长节段固定的ASD患者,根据是否固定到骨盆分为两组。结果发现,骨盆固定组术后即刻PI显著减小,而65岁以上未进行骨盆固定的患者术后即刻PI显著增大,他们分析可能与术中操作相关(表2)。
尽管术后PI作何变化仍有争议,但这些研究结果提示,PI可能会受手术影响。因此,PI-LL=±9°这一默认PI不变,而根据术前PI预测术后需要获得的LL的公式是值得商榷的。



图5. 骨盆固定和不固定对PI的影响
Lee JH, et al. Is pelvic incidence a constant, as everyone knows? Changes of pelvic incidence in surgically corrected adult sagittal deformity. Eur Spine J 2016;25(11): 3707-3714.

表2. 骨盆固定和不固定对PI的影响
Cecchinato R, et al. Long fusions to S1 with or without pelvic fixation can induce relevant acute variations in pelvic incidence: a retrospective cohort study of adult spine deformity surgery. Eur Spine J. 2017 [Epub ahead of print]
综上所述,PI-LL=±9°并不是成人脊柱畸形患者腰椎矢状面完美重建的金标准。年龄、性别、种族、不同功能体位、手术等会影响脊柱-骨盆参数,制定手术策略时,需要综合考虑这些因素。
作者简介:

钱邦平
钱邦平,南京鼓楼医院脊柱外科主任医师、教授、博导。
现任国际脊柱侧凸研究会会员、欧洲脊柱外科协会会员、北美脊柱外科协会会员、AO Spine Faculty、国际脊髓学会委员、中华医学会骨科分会脊柱学组委员、中国医师协会骨科医师分会颈椎专业委员会委员、中国医师协会中国骨科菁英会副主席、中华医学会老年医学委员会脊柱学组委员、中华医学会运动医疗分会脊柱运动创伤专业学组委员、中国医药教育协会骨科分会脊柱畸形学组副组长。还担任《European Spine Journal》及《Asian Spine Journal》编委。

邱勇
邱勇,南京大学鼓楼医院骨科主任,教授,博导。
中国医师协会骨科医师分会副会长,中国康复医学会脊柱脊髓专业委员会主任委员, AO-Spine中国区主席,美国脊柱侧凸研究会会员(Member of Scoliosis Research Society). 《European Spine Journal》(欧洲脊柱外科)杂志编委、《中国脊柱脊髓杂志》副主编、《中国骨与关节外科》杂志副主编、《中华骨科杂志》副主编。



京公网安备11010502051256号