腹直肌旁入路(2)
2017-08-16 文章来源:中国人民解放军总医院骨科 作者:彭 烨(骨科在线创伤专业编委) 我要说
髋臼的手术前入路由Letoumel髂腹股沟入路最先提出

显露范围
该入路可以显露髂骨翼内面,即髂窝;骶髂关节的前方;方形区,即髋臼的盆腔面;耻骨上支和耻骨联合。
优 点
显露范围广,可很好地显露骨盆和髋臼的<br>前方和髋臼内壁的解剖结构。异位骨化率低。
缺 点
该术式是依靠三个窗的移动来触摸和观察<br>骨折移位情况的,不能直视关节面,属于间接复<br>位。不能显露后壁和后柱。
风 险
手术牵拉可导致股股外侧皮神经、血管<br>股神经等结构的损伤;死亡之冠处理不当可引起<br>出血;深静脉血栓形成。
Stoppa入路最初是用于修补治疗难治性腹股沟疝及切口疝的手术入路,源于法国医生Stoppa,Hirvensalo首先将它引入不稳定骨盆骨折的治疗中,1994年Cole报道描述了改良Stoppa入路治疗髋曰骨折。


显露范围
该入路可以很好地显露方形区,进一步剥离可以显露骶髂关节前方和髂窝。
优 点
在不显露股外侧皮神经和股血管、淋巴的同时,能很好地显露骨盆和髋臼的前方和髋臼内壁的解剖结构。异位骨化率低。
缺 点
不能直视关节面,属于间接复位。不能显露后壁和后柱。因此不能用于后方结构的骨折,超过3周的骨折,该入路的显露范围略显不足。伴随腹胀、肠梗阻时,可造成腹壁紧张,为该入路的相对禁忌证。
风 险
可能导致股外侧皮神经、股血管、股神经等结构的损伤,扩大显露范围还可能造成闭孔神经和血管损伤。

腹直肌旁入路
适应证
微创腹直肌周围入路联合经皮微创螺钉固定适用于前移位的简单横行髋臼骨折,不适用用严重移位或多个骨块块的粉碎性骨折,也不适用于同时存在有后壁骨折伴髋关节后侧不稳定的情况。
显露范围
该入路可以很好地显露方形区,进一步剥离可以显露骶髂关节前方和髂窝,与改良stoppa入路类似,但暴露更广泛。
优 点
(1)可以从内向外、从前向后复位骨折;
(2)可以通过手指的触摸来检查复位情况;
(3)固定结束后可以通过手指触摸来检查稳定情况;
(4)通过微小切口直视下或手指导引下插入复位装置是比较安全的。
缺 点
(1)需要助手一直保持复位;
(2)经皮打入螺钉时保持复位有时比较困难;
(3)微创切口邻近重要神经血管,特别是髂外血管、闭孔血管神经、精索及髂腹股沟神经等,需熟悉髋臼前入路的解剖。
风 险
可能导致闭孔神经血管、髂外血管、股神经、精索等结构的损伤。
手术入路
沿纤维走行切开腹外斜肌筋膜确认并牵开髂腹股沟神经。
腹内斜肌的弓状束连同精索或子宫圆韧带牵向内侧,显露腹股沟管后壁及腹横筋膜。
触摸外侧的髂外血管并确定其位置以免损伤。
寻找腹壁下动脉,可以牵开保护也可以结扎。
切开腹横筋膜打开腹膜外间隙。
使用Deaver牵开器保护外侧的髂外血管及内侧的膀胱。
触摸骨折部位并插入长钝的挤压器,自前内侧对骨折进行挤压复位。
这种复位操作可以将移位的前柱向后推,也可以把后柱的内侧面连同四方平面推向外侧并纠正其旋转,以此来复位骨折。
纵向及侧方牵引髋关节可以方便复位。继续保持剥离器的挤压复位的同时打入螺钉,注意防止挤压器滑脱伤及前方的髂外血管及后方的闭孔血管神经。
切口的关闭与重建
缝合腹部切口,严密缝合筋膜层肌肉层,防止切口疝无需放置引流。
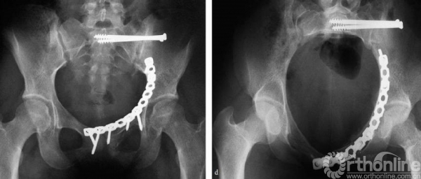
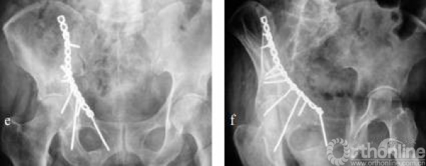
三个入路对比

三块钢板
1.上侧钢板与四个关键螺钉
需要沿骨盆缘放置来进行下方骨块的提拉

钢板可用顶棒进行提拉复位,最后可用术中塑形器进行最终塑形。

四个关键螺钉(上一章已经讲过)
1.骶髂关节前处的螺钉;
2.后柱的螺钉;
3.髋臼柱螺钉;
4.耻骨支螺钉。


后柱螺钉的方向与角度

最难螺钉:前后柱螺钉,可连接髋臼的前柱和后柱。该螺钉十分困难,但如果固定,则十分有效。

从髂耻隆起处,水平向后柱进针,直达后柱。

该螺钉通道十分狭窄,十分容易进入关节,为髋臼困难螺钉之一。

2.第二块钢板
内侧钢板,该钢板需要过预弯。通过钢板的挤压来复位内移的方形区,沿骨盆缘的内侧进行置放。



当方形区有较大独立骨块的时候,也可以采用T形钢板。

需要注意螺钉不要进入关节
3.第三块钢板、髂坐钢板

来进行后柱的骨折复位,同时可以防止方形区的移位。这三块钢板可单独使用,也可同时使用,根据骨折类型决定。
1+2

1+3

术者一定要熟悉相关解剖,这里有很多血管神经。“死亡之冠”在等着你,髂血管、闭孔血管、股血管、腹壁下血管在等着你,坐骨神经、骨神经、骨外侧皮神经、闭孔神经在等着你,谨慎谨慎再谨慎!
髋臼骨折难,难于上青天,髋臼骨折简单,简单如庖丁解牛。
彼节者有间,而刀刃者无厚;以无厚入有间,恢恢乎其于游刃必有余地矣,是以十九年而刀刃若新发于硎。虽然,每至于族,吾见其难为,怵然为戒,视为止,行为迟。----庄子《庖丁解牛》
解牛尚需十九载,何况髋臼骨折?



京公网安备11010502051256号