经典病例丨骨肿瘤疑难病例讨论(三)
2017-08-03 文章来源:北京积水潭医院 作者:徐海荣 牛晓辉 我要说
病史(第一次)
女性,33岁,入院2天前摔伤后出现右大腿肿胀、畸形、活动受限

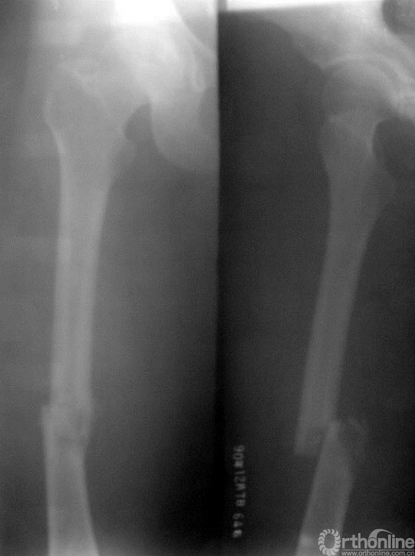
图15-1 入院时X线平片正侧位,可见股骨中段病理骨折,骨折端可见溶骨性破坏
体格检查(第一次)
右大腿中段肿胀、畸形,可及压痛,未见静脉曲张,皮温正常,右膝关节肿胀,浮髌试验阳性。
化验检查(第一次)
未见异常。

图15-2 伤后1个月X线平片正侧位,骨折端可见骨痂形成
讨论点(第一阶段)
一、诊断如何确定
二、进一步的诊疗策略
讨论精要(第一阶段)
一、诊断
1.青年女性,X线显示股骨中段病理性骨折,折断可见溶骨性病变,边界较清晰。
2.一个月后的X线片显示皮质外形成骨痂,开始出现愈合征象
3.青年女性股骨中段的溶骨性病灶合并病理骨折,边界较清晰,且一个月后骨折出现愈合征象,考虑良性可能性大,例如骨囊肿,虽然儿童的骨囊肿多发生于长骨的干骺端,但在成人可移行于骨干,本病例不符合骨囊肿的是病灶位于股骨干中段,而不是偏干骺端的骨干,而且病灶边缘并不是很清楚,因此还应警惕恶性病变的可能。
二、诊疗策略
1.应该完善影像学检查,行增强CT了解局部骨破坏情况。
2.待影像学检查完备后,选取有代表性的区域进行穿刺活检以明确病变的性质,诊断明确后再行手术治疗。
3.如穿刺结果提示良性肿瘤合并病理性骨折,可先行牵引制动,密切观察,等待骨折愈合。原因在于骨折愈合后病变被包裹、边界清晰,对于儿童患者可以避免不必要的内固定,靠近骨骺的骨囊肿等病变很难固定,良性病变不致因等待而急剧进展。骨折愈合后行影像学检查,确定肿瘤范围后再行手术治疗。
诊疗情况
穿刺活检(第一次)
未见恶性肿瘤细胞。
手术(第一次)
综合临床及影像学没有恶性表现、病理未见恶性肿瘤细胞、临床骨折愈合顺利,故考虑良性可能性大,采用病灶刮除、骨水泥填充、髓内针内固定术。
术后病理(第一次)
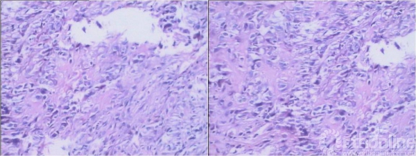
良性纤维性肿瘤。

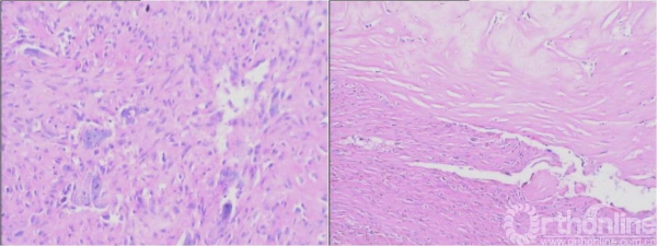
图15-3第一次术后大体病理镜下表现
病史(第二次)
术后5个月下地行走时突发右大腿中段疼痛,不能负重。

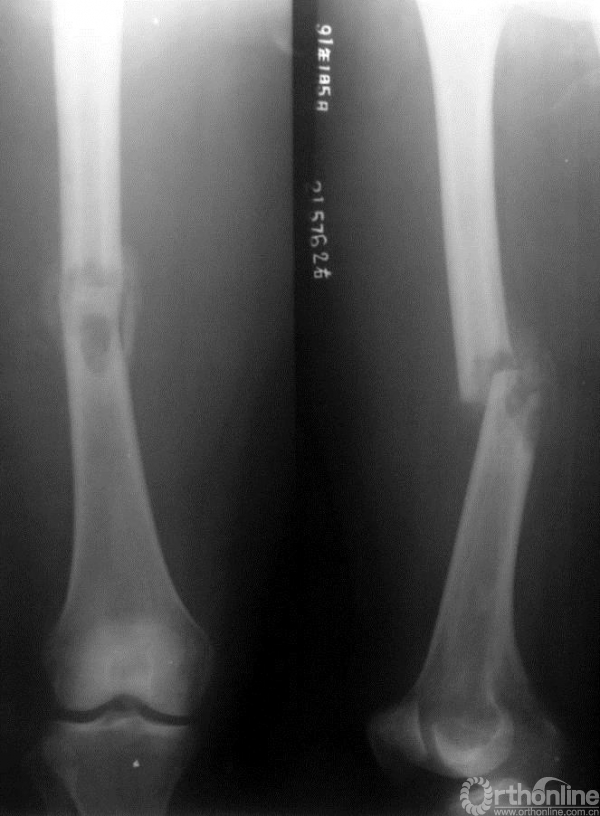
图15-4 第一次术后5个月X线平片正侧位,显示原骨折处发生内固定断裂
手术(第二次)
二次术前考虑一次手术时内固定方式仅为普通的髓内针,强度不足,且填充的骨水泥影响骨折愈合;此次未见明确局部复发,因此行髓内针及骨水泥取出、取髂骨植骨、钢板内固定术

图15-5 第二次术后X线平片正侧位
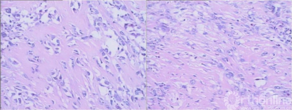
术后病理(第二次)
瘢痕组织及凝血块

图15-6 第二次术后大体病理镜下表现
随访(第二次,术后)

图15-7 第二次术后5个月X线平片正侧位,显示内固定位置良好、植骨未见明显吸收

图15-8 第二次术后10个月X线平片正侧位,显示内固定位置良好、植骨有少量吸收

图15-9 第二次术后21个月X线平片正侧位,可见明显植骨吸收和骨质破坏
讨论点(第二阶段)
一、诊断如何确定
二、进一步的治疗策略
讨论精要(第二阶段)
一、诊断
1. 该患者33岁,不是骨囊肿的高发年龄,但发病部位在骨干,是这个年龄骨囊肿的好发部位。
2. 患者最初骨折一个月以后出现了明显的外骨痂,病变在髓腔的范围比较局限的,看起来边缘较清楚,考虑良性病变的可能性大,且术前穿刺及术后病理均为良性。第一次术后4个月出现髓内针断裂,考虑固定方式及刮除骨水泥填充影响了骨愈合过程,骨折未愈合才会出现内固定失败,术后病理亦进一步证实未见复发表现。
3. 第二次术后21个月时出现骨质吸收,植骨不愈合,这时应考虑肿瘤复发、感染的可能,否则良性肿瘤骨折植骨此时应已经愈合。
4. 另外一种可能就是肿瘤为恶性,复发后对骨质有破坏。肿瘤为恶性可能是最初时即为恶性肿瘤,发展缓慢,也可能是最初为良性肿瘤,发生了恶变[1]。
二、治疗策略
1. 此时临床没有明确的感染迹象,影像学高度怀疑恶性肿瘤,应进行局部的穿刺或切开活检,送病理科检查及送检验科培养,明确目前的状态为感染或是肿瘤复发。
2. 如为感染应取出内固定物,改为外固定架固定,行抗感染治疗。
3. 如为肿瘤复发则根据性质行相应治疗。
诊疗情况
临床考虑肿瘤复发。
化验检查
未见异常。
穿刺活检
纤维组织及幼稚的骨痂,未见肿瘤成分。
切开活检
骨肉瘤。

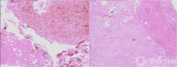
图15-10 第三次切开病理镜下表现
讨论点(第三阶段)
穿刺活检病理结果阴性后的治疗策略
讨论精要(第二阶段)
治疗策略
1. 临床考虑阴性的结果无法解释患者病情,结果可能为假阴性,因此应再行切开活检。
2. 对于骨肉瘤,由于既往两次手术暴露之处均可能有广泛的肿瘤污染,保肢手术风险极大;且肿瘤的上界接近股骨小粗隆,需行髋离断术才能达到安全的边界。另外,考虑到患者治疗过程较长,术前还应检查全身是否有转移病灶。
手术(第三次)
髋关节离断术。

图15-11 第三次术后X线平片正位
术后病理
骨肉瘤。

图15-12 第三次术后大体病理镜下表现
★共识
1.对于良性肿瘤合并病理性骨折,可明确诊断后先行牵引制动,随诊观察,待骨折愈合后再行影像学检查,确定肿瘤范围后再行手术治疗[1]。
2.当临床与病理不符时,要仔细、全面地根据现有材料进行判断,谨慎地选择进一步的治疗方案。再次的活检是值得推荐的。
3.骨肉瘤合并病理骨折时并不是保肢的绝对禁忌症,对于适合保肢的患者其局部复发率并不显著高于截肢患者[2]。
★误区
过于相信病理学结果,而不进行临床、影像、病理三结合诊断。
参考文献:
1.Mirra JM . Osseous tumors of intramedullary origin. In: Bone tumors: clinical, radiologic, and pathologic correlations. Lea & Febiger, Philadelphia, 1989, 248-438
2.Ferguson PC, McLaughlin CE, Griffin AM, etc. Clinical and functional outcomes of patients with a pathologic fracture in high-grade osteosarcoma. J Surg Oncol. 2010 Aug 1;102(2):120-4



京公网安备11010502051256号