短节段融合治疗重度腰椎滑脱合并腰骶部侧凸畸形相关问题探讨
2017-07-25 文章来源:四川大学华西医院 杨进 孔清泉 我要说
编者按
青少年重度腰椎滑脱的手术治疗是脊柱外科领域的一个难点,在中国人口中其患病率极低,鲜有大宗病例的研究报告。其临床特征非常鲜明:发病隐匿,早期无症状,确诊时往往滑脱程度已为重度,常继发下肢根性疼痛、下肢肌肉无力(比如足下垂)、甚至括约肌功能障碍等症状。其中,少部分重度滑脱的青少年病例合并有侧弯畸形,更进一步增大了其临床诊疗的复杂程度,学术界对此类情况的认识尚存争议。华西医院的孔清泉团队对这一问题提出了独到的见解,非常值得借鉴和进一步的研讨。
骨科在线脊柱专业副主编
北京大学第三医院 孙垂国
病例1
病情介绍:患者,女,12岁,因“腰痛3年,加重伴左下肢放射性疼痛半年并发现脊柱侧凸2年”入院。患者2年前在当地医院诊断为脊柱侧凸,给予支具治疗无改善。
体征:双肩等高,骨盆向左侧倾斜,左侧低于右侧1.5cm,胸腰椎侧后凸畸形,剃刀背畸形,可触及腰4-腰5棘突台阶感,腰4-骶1棘突间叩击痛,左下肢腰5神经根支配区针刺觉减退,左踇背伸肌肌力5-级,腰前屈轻度受限,全身无咖啡牛奶斑,余未见异常。
实验室:血液检查无异常,大小便常规正常。
影像学:

图1 术前X线示:腰5椎IV度滑脱并脊柱侧凸,颈胸弯中立位16°,减轻位0°,胸弯中立位50°,减轻位12°,腰弯33°,减轻位5°,均为非结构性弯。

图2 侧弯的左右bending位摄片及腰骶部CT的矢状面重建及表面重建

图3 患者术前的大体像提示脊柱侧凸、平背畸形、骨盆后倾
诊断:腰5峡部裂型IV°滑脱伴脊柱侧凸 (SDSG 5型)
治疗:经后路腰4-骶1固定、腰5滑脱复位、椎管减压、植骨融合术,术后患者左腿疼痛消失,术后复查侧凸残留17°,术后6月复查发现侧凸自发的减轻,术后两年复查时侧凸得到完全的矫正。

图4 术后复查 侧凸残留17°

图5 术后矢状面CT重建显示复位情况良好

图6 术后三月复查侧凸

图7a 术后五年复查X线无侧凸,无骨盆倾斜,胸椎后凸、腰椎前凸序列良好

图7b术后五年复查大体像示无明显侧凸,无骨盆倾斜,胸椎后凸、腰椎前凸恢复
病例2
病情介绍:患者,女,11岁,因“汶川地震中被重物砸伤致腰痛、双下肢麻木”入院。
体征:腰骶部棘突、棘突旁压痛,双侧L5神经根支配区以远针刺觉减弱,双侧踇背伸肌和小腿三头肌肌力4-级,余未见异常。
实验室:血液检查无异常,大小便常规正常。
影像学:

图8 腰椎正位像上示多节段腰椎右侧横突骨折,腰骶部侧凸,CT矢状面重建示腰5椎IV°滑脱,腰5骶1椎间盘完好,骶1前上缘骨骺向前滑移
诊断:1. 腰5创伤性IV°滑脱并骶1骨骺损伤伴脊柱侧凸(SDSG 5型)
2. 腰1-4右侧横突骨折
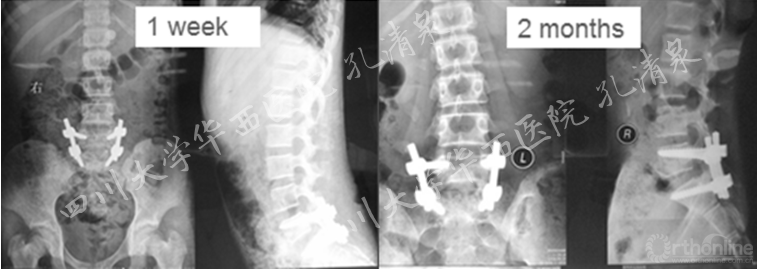
治疗:经后路腰5-骶1固定、腰5滑脱、骶1骨骺复位、椎管减压、后外侧植骨融合术,术后患者双下肢麻木消失,肌力恢复正常,术后2月复查发现轻度的腰椎侧凸,术后三年复查存在27°的腰椎侧凸,取出内固定,术后六年半时CT复查示腰5和骶1高度增加2mm,残留27°的腰椎侧凸。

图9 术后一周复查见滑脱复位良好,无侧凸;术后两月复查,复位情况良好,可见轻微腰椎侧凸

图10 术后两年半复查提示腰段侧凸加重,整个冠状面平衡尚可

图11 术后6.5年取出内固定后摄片,腰段侧凸27°,矢状面CT重建提示后方关节突融合良好,骶骨上缘外形正常,MRI示修复的腰5骶1椎间盘信号正常

图12 术后7年大体照
病案提示:
这是两个青少年的重度腰5滑脱的病例,经过治疗都取得不错的临床疗效,但在其病理改变和影像学上表现出不同,对此情况,笔者根据自身经验并结合当前的文献复习,分析讨论如下:
对于滑脱伴有脊柱侧凸的病例并不少见(15-40%),对于这类情况主要有三种类型:
第一类为滑脱合并特发性脊柱侧凸,常见于上胸椎、胸椎和胸腰椎;
第二类为源于峡部裂性滑脱导致的非对称性的扭转和移位,常见于腰骶椎,其中以腰椎或者滑脱椎的旋转最大;
第三类源于坐骨神经刺激和肌肉痉挛,椎体旋转很少出现,即使出现旋转也较小。
对于后两类的脊柱侧凸,为继发性侧凸,在成为结构性侧凸之前纠正原发因素,具有自发纠正侧凸畸形的潜能。
2012年,Crostelli和Mazza提出,对于无症状的腰椎滑脱伴有严重的脊柱侧凸的病例,侧凸的治疗应当是独立的,需按照特发性脊柱侧凸的治疗原则来实施;对于有症状的腰椎滑脱伴有严重的脊柱侧凸的病例,侧凸和滑脱都应一起治疗,或者根据侧凸的角度在滑脱治疗以后再接受治疗.
如果基于上述理论,我们的第一例病例应该接受腰椎滑脱和侧凸的同期手术。但我们经过深入分析,腰椎滑脱是有症状的,具有手术指针,脊柱侧凸虽然角度较大(颈7-胸3侧凸Cobb角16°,胸3-腰2侧凸Cobb角50°,腰3-腰5侧凸Cobb角35°),但其柔韧性较好(减轻位上胸椎侧凸12°腰椎侧凸5°),并且没有影像学上椎体旋转的证据.所以我们认为,这是一种非结构的继发性侧凸的可能性大,其处理不能等同于特发性脊柱侧凸,所以应该尽量减少固定融合节段,动态观察其自发侧凸矫正的潜能。
腰椎滑脱的手术指针及手术方式,重度腰椎滑脱,伴有明显腰痛及下肢神经损害,具有明确手术指针;具体手术方式:SDSG的滑脱分型(Spinal deformity study group classification)是目前对于治疗具有指导意义的一种综合性的分型,首先基于Meryerding分级将滑脱分为轻度和重度滑脱两组,然后根据其骨盆指数(Pelvic Incidence)和脊柱骨盆平衡情况将滑脱分为六型,并对于各型的治疗给出了建议,尤其是重度滑脱的情况。
病例1属于SDSG5型,故对其应行后路复位并良好重建腰骶角及脊盆平衡,固定融合节段选择的原则即是在良好复位重建序列的基础上,尽可能少的融合固定运动节段,本例患者采用了腰4-骶1的固定融合,既良好的满足固定和复位的需要,也对局部的侧凸进行了一定的矫正;在入路的选择方面,目前的观点倾向于对于5度滑脱以外的所有滑脱均行后路手术,后路内固定的发展已经完全满足固定、复位的需要。
图13 SDSG滑脱分型

图14 SDSG滑脱分型示意图

病例1的术后随访情况和我们术前的预判完全一致,在术后三月其侧凸无缓解持续,但在术后两年获得完全的矫正,这是在并没有牺牲过多的运动节段所带来的良好的效果,所以我们认为对于重度滑脱合并侧凸的青少年,其滑脱手术指针和手术方案的良好把握是非常重要的,而对于侧凸的治疗,需要准确的评价侧凸的严重程度、原发或继发性、结构性和非结构性、患者年龄等多种因素,来进行综合的分析判断。
病例2也是相当少见的病例,其外伤机制为重物砸伤,从其影像学分析应该为水平剪切伴有旋转暴力,这导致严重的腰5椎创伤性滑脱伴有骶1骨骺滑移、多节段的单侧横突骨折,以及腰骶部的创伤性侧凸。对于这个病例的治疗方案的选择,经后路复位减压固定是必须的,但针对其骶1骨骺的滑移的复位、腰5骶1椎间隙是否融合存在疑问。
我们参考了四肢骨的骺板骨折的Salter-Harris分型,认为其骶1的骨骺滑移相当于Salter-Harris分型的一型损伤,分离一般发生在生长板的肥大层,故软骨的生长带留在骨骺一侧,所以多不引起生长障碍,且椎间盘的情况术前判断为正常,经过术中的再次验证,椎间盘情况良好,此病例行经后路腰5-骶1固定、腰5滑脱、骶1骨骺复位、椎管减压、后外侧植骨融合术,术后的情况验证了部分我们术前的认识,在术后7年的复查中,腰5骶1椎间盘信号尚可,腰5椎体和骶1椎的高度均得到2mm的生长,证明对于骺软骨的复位愈合以及椎间盘功能的保护是富有成效的。
而对于术后逐渐出现的脊柱侧凸,我们分析损伤机制中存在旋转暴力,这导致了右侧多处横突骨折,而横突是腰部重要的肌肉附着点,这是否会导致脊柱两侧肌肉力量的不平衡而导致出现腰骶部侧凸畸形,这类横突损伤需要怎样的处理?目前,这类病例较少,对于创伤性滑脱合并横突骨折的青少年是否有出现腰骶部侧凸畸形还不能得出定论,但需要我们在面对这类损伤时高度注意这类风险。
参考文献:
[1]Seitsalo S, Osterman K, Poussa M. Scoliosis associated with lumbar spondylolisthesis. A clinical survey of 190 young patients. Spine 1988;13:899–904.
[2] Fisk JR, Moe JH, Winter RB. Scoliosis, spondylolysis and spondylolisthesis. Their relationship as reviewed in 539 patients. Spine 1978;3:234–45.
[3] Arlet V, Rigault P, Padovani JP, et al. Scoliosis, spondylolysis and lumbosacral spondylolisthesis. A study of their association apropos of 82 cases in children and adolescents. Rev Chir Orthop Reparatrice Appar Mot 1990;76:118–27.
[4] Lisbon E, Bloom RA, Shapiro Y. Scoliosis in young men with spondylolysis or spondylolisthesis. A comparative study in symptomatic and asymptomatic subjects. Spine 1984;9:445–7.
[5] Tojner H. Olisthetic scoliosis. Acta Orthop Scand 1963;33:291–300.
[6] Mau H. Scoliosis and spondylolysis-spondylolisthesis. Acta Orthop Trauma Surg 1981;99:29–34.
[7] McPhee IB, O’Brien JP. Scoliosis in symptomatic spondylolisthesis. J Bone Joint Surg Br 1980;62B:155–7.
[8] Goldenstein L, Hake PW, Devanny JR, Chan DPK. Guidelines for the management of lumbosacral spondylolisthesis associated with scoliosis. Clin Orthop Relat Res 1976;117:135–48.
[9] Risser JC, Norquist DM. Sciatic scoliosis in growing children. Clin Orthop 1961;21:137.
[10] Rick JR, Winter RB, Moe JH. The lumbosacral articulation and its relationship to scoliosis. J Bone Joint Surg Am 1974;56A:445.
[11] Peterson JB, Wenger DR. Asymmetric spondylolisthesis as the cause of childhood lumbar scoliosis—can new imaging modalities help clarify the relationship? Iowa Orthop J 2008;28:65–72.
[12] Crostelli M, Mazza O. AIS and spondylolisthesis. Eur Spine J 2012 May 9. Epub ahead of print.
[13] Pneumaticos SG, Esses SI. Scoliosis associated with lumbar spondylolisthesis: a case presentation and review of the literature. Spine J 2003;3:321–4.
[14] Labelle H, Mac-Thiong JM, Roussouly P. Spino-pelvic sagittal balance of spondylolisthesis: a review and classification. Eur Spine J 2011;5:S641-6.
[15] Zhou TH, Tang X, Xu YQ, Zhu YL. Traumatic spondyloptosis of L4. Spine 2010;35:E855–9.
[16] Tsirikos AI, Saifuddin A, Noordeen MH, Tucker SK. Traumatic lumbosacral dislocation: report of two cases. Spine 2004;29:E164–8.
[17] de Gauzy JS, Jouve JL, Violas P, Guillaume JM, Couti_e AS, Chaumoitre K, et al. Classification of chance fracture in children using magnetic resonance imaging. Spine 2007;32:E89–92.
作者简介:

杨进
杨进,西南医科大学附属医院脊柱外科主治医师,华西医院骨科在读博士,导师孔清泉教授。

孔清泉
孔清泉,主任医师,教授,博士研究生导师,四川大学华西医院脊柱外科医疗组长。援疆专家,在克拉玛依市人民医院骨科任骨科主任。
现学术任职:
中国医师协会内镜医师分会委员;
中国医师协会胸腰椎专委会委员;
中国康复医学脊柱脊髓专业委员会微创脊柱外科学组委员;
中国医药教育协会腰椎学组委员;
国际矫形与创伤外科学会(SICOT)中国分部脊柱微创专业委员会委员;
中国医促会脊柱微创专委会委员;
中国海峡两岸医药卫生交流协会骨科学会脊柱专委会委员;
中华医学会四川省医学会脊柱学组委﹑四川省脊柱微创学组委员;
中国中西医结合学会骨科微创专业委员会脊柱内镜学组常委;
AOSpine国际脊柱研究会会员;北美脊柱外科学会会员(NASS);
《中国骨与关节杂志》通讯编委等职。
科研﹑学术成果:
作为第一作者和通讯作者已发表中文文章40余篇, 英文文章12篇(包括Spine、the Spine Journal、 European Spine、Bone joint spine等杂志期刊)。参编专著8部,参编教材编写2部,作为副主编编写专著1部。作为参与人获得教育部科技进步一等奖一项。



 京公网安备11010502051256号