我们孩子的髋关节脱位可以保守治疗吗?
2017-07-25 文章来源:天津医院 作者:张中礼(骨科在线小儿骨专业副主编) 张华东 我要说
病例介绍:17个月女孩,因“步态异常”拍片发现右髋脱位。发育良好,无早产。体重10kg,家长诉偶尔可感到孩子“右髋部有响声”,否认家族髋关节疾患相关病史。查体:可独立行走,行走跛行。屈髋外展受限,Allis征阳性。入院后拍“骨盆正位片”及“双髋关节核磁”。行右下肢皮肤牵引10天,孩子配合皮肤牵引稍差。各项术前常规检查无手术禁忌,静吸复合麻醉下行“右髋脱位关节造影、试行闭合复位、人类位石膏裤固定”。

造影前轻柔手法复位,可感右髋股骨头“滑入”髋臼内。复位后屈髋外展最大可达75°,维持屈髋逐渐内收右髋关节,内收至中立位时仍无“再脱位感”,渐伸髋,中立位由屈髋100°至屈髋60°时“再次脱位”。认为复位后“安全范围大”,“复位后稳定性好”。


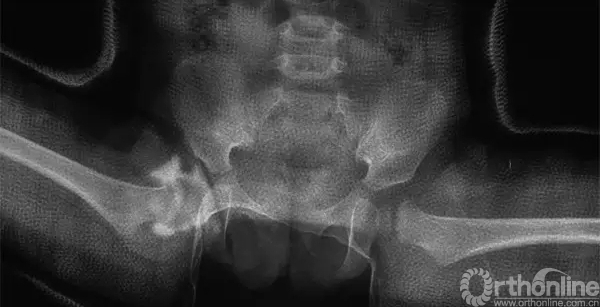
行右髋关节造影,维持屈髋100°、外展50°位时造影分析“复位质量”:股骨头内侧缘与坐骨体相重叠,股骨头覆盖率(FHC)为46.2%,“盂唇软骨复合体”形成的造影充盈缺损区位于股骨头外上方,股骨头没有明显下移,认为“头臼对位关系满意”。



根据对“复位稳定性”及“头臼对位关系”的判断,术中判断“复位可以接受”,行“人类位石膏裤”(human position spica cast)固定。石膏固定后拍片示“头臼对位关系满意”。

石膏裤固定后髋关节核磁与术中关节造影形态一致性良好,再次证实股骨头没有向后方脱位、头臼覆盖/对位满意。



京公网安备11010502051256号