经典病例丨骨肿瘤疑难病例讨论(二)
2017-07-25 文章来源:北京积水潭医院 作者:徐海荣 牛晓辉 我要说
病史
男性,16岁。患者入院3个月前摔伤右前臂,即出现疼痛、肿胀、活动受限。

图14-1 伤后X线平片正侧位
讨论点(第一阶段)
一、诊断如何确定
二、进一步的诊疗策略
讨论精要(第一阶段)
一、诊断
1.有外伤病史,但无骨折前局部疼痛等症状。而是在低暴力创伤的情况下出现骨折,可能并非单纯创伤暴力所致。
2.X线平片显示右桡骨干骨皮质不连续,骨折端内可见边界不清之溶骨破坏,其内密度不均,应该首先考虑为病理骨折,但又未见明确的骨膜反应和软组织包块。所以应继续进行检查,包括细致的影像学检查如局部加强CT来判断是否确为病理骨折、是否有皮质破坏及软组织包块。
二、诊疗策略
1.应待影像学检查结束后,行局部组织学检查来辅助确定诊断,待病理诊断明确后再确定具体治疗方案。
2.因为考虑为病理骨折,贸然的局部手术是不可取的,应给予临时性外固定如石膏或支具制动,等待组织学结果。
第一次诊疗情况
于当地医院就诊,诊断为“病理性骨折”,在未行术前活检的情况下,行“瘤段切除、腓骨移植术”。术后病理示“浸润灶和新生软骨、未见恶性肿瘤成分”。临床据此未予进一步治疗,随诊。

图14-2 术后X线平片正侧位

图14-3 术后2月X线平片正侧位

图14-4 术后3月X线平片正侧位

图14-5 术后3月平扫CT
讨论点(第二阶段)
一、诊断如何确定
二、进一步的治疗策略
讨论精要(第二阶段)
一、诊断
1.病理骨折诊断成立,但肿瘤性质未明确。以病史来看,短时间内出现复发,临床考虑侵袭性肿瘤可能性大,但病理并不能给予足够支持。这种情况可见于取材区域的不典型性或病理医生对骨肿瘤病理的认知不足。
2.仍然应该进行细致的影像学检查如局部加强CT来判断肿瘤的侵犯范围。
二、治疗策略
1.应明确组织学诊断,首先考虑进行原病理会诊,若仍不明确则应再次活检。
2.肿瘤性质诊断明确后,再根据该次影像学检查,进一步明确肿瘤范围、与周围组织特别是血管神经束的关系,以便制定外科计划。
体格检查(入院时)
右前臂明显肿胀,可见多处手术疤痕,可触及肿物,质硬韧,边界不清,无活动度,可及压痛,局部皮色暗红,皮温稍高,未见破溃及静脉曲张。右肘关节及腕关节活动不受限。

图14-6 入院时外观像(第一次术后3个月)
影像学检查(入院时)

图14-7 入院时X线平片正侧位(第一次术后3个月)

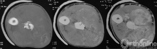
图14-8 入院时CT轴位骨窗、软组织窗、软组织增强窗(第一次术后3个月)

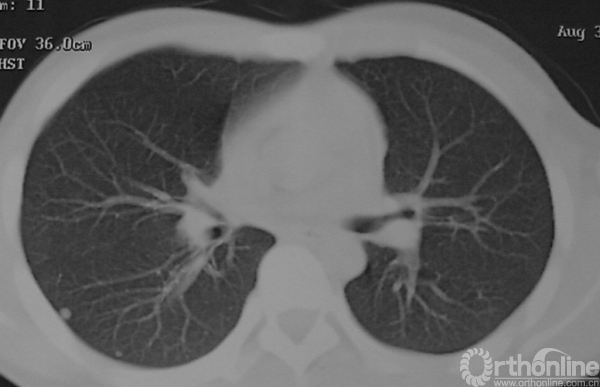
图14-9 入院时肺CT(第一次术后3个月),可见右肺结节影
会诊病理
浸润灶及新生软骨,但缺乏明显异型性及间变的肿瘤组织,诊断恶性细胞学证据不充足,结合临床倾向恶性成骨性肿瘤分化较好区域。
穿刺病理
间变的肿瘤细胞,富于血窦结构,细胞间见骨样组织,结合临床、影像学,初步考虑骨肉瘤的可能性大。

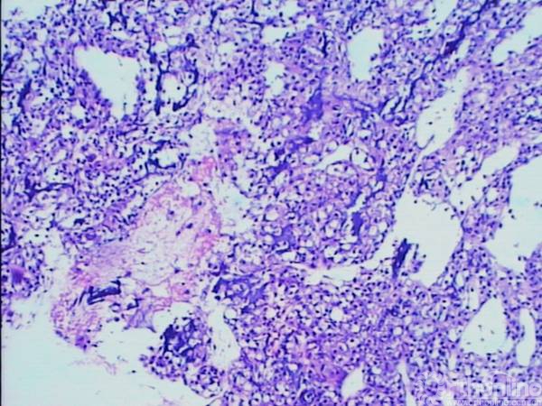
图14-10 入院后穿刺活检病理镜下表现
手术
右上臂截肢术。

图14-11 第二次术后X线平片正位

图14-12 第二次术后大体标本横剖面表现
术后病理
肿瘤组织呈侵蚀性生长,瘤细胞呈宽条索状及团状结构,间富血窦及脉管,酷似血管肉瘤的组织形态,局灶性区域可见网状骨结构。诊断:骨肉瘤(血管扩张型)。

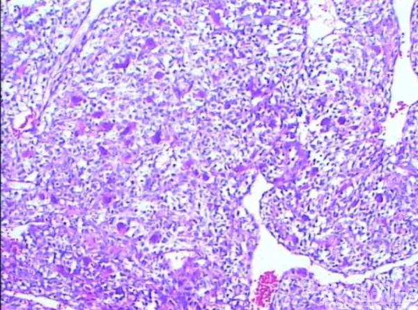
图14-13 第二次术后大体病理镜下表现
讨论点(第三阶段)
一、诊断如何确立
二、肿瘤侵犯范围如何判断
三、现在的治疗策略
讨论精要(第三阶段)
一、诊断确立
1.病理骨折是否需要立刻做活检,骨痂和骨肉瘤病理有时很难区分,需要临床和影像学给予充分提示。
2. 第一次手术的病理并不能给予临床恶性肿瘤的支持,但临床和影像学的发展均提示恶性肿瘤,应该考虑病理取材的局限性。如果病理学并不能给予临床诊断足够的支持,可以再一次进行组织学活检(穿刺或切开)。
二、范围判断
1.应包含两部分内容,即局部范围和全身情况,因此需要做局部细致的影像学检查如CT、MRI,而全身检查则包括肺CT和全身骨扫描,甚至PET-CT。
2.局部肿瘤的侵犯范围决定了是否可以保肢。
三、治疗策略
1.患肢局部皮肤条件不佳,影像学显示肿瘤巨大、与血管神经关系密切,且为术后复发,已无法评估血肿侵及范围,因此没有条件进行保肢治疗。术后的大体标本也证实了术前的判断。
2.即使已经出现肺转移,若局部不具备保肢条件,仍应行截肢手术,以降低局部复发风险。肺转移瘤的治疗应遵循外科手术与化疗相结合的原则。
3.在局部已无保肢条件的情况下,术前化疗已无必要,应先行外科治疗,再进行全身化疗。
★共识
1.出现骨折应首先区分是创伤性骨折还是病理性骨折,病理性骨折首先应该明确病变性质,不应该在无诊断的情况下贸然进行外科处理。
2.影像学检查仍应该细化,包括局部的加强CT、MRI,全身骨扫描、肺CT、甚至PET-CT。
3.穿刺活检为明确诊断的重要手段,病理与临床诊断相符则可考虑继续治疗,若不符合或不支持则应选择观察或再次活检。
4.病理性骨折的外科治疗仍应遵循外科边界原则。但对于血肿污染的处理应尤为谨慎,只有进行完善的影像学检查以确立肿瘤及血肿范围,制定周密的术前计划,才能确定如何达到该肿瘤要求的切除范围,从而降低局部复发风险。
5.远隔转移并不能成为截肢的禁忌症或姑息保肢治疗的前提。
★误区
1.不区分或不会区分病理性骨折和创伤性骨折。
2.怀疑病理性骨折,不进行细化影像学检查和组织学检查,而盲目进行外科治疗。



京公网安备11010502051256号