[文献学习]拇僵硬的分期——by Coughlin
2017-07-20 文章来源:北京同仁医院足踝外科矫形中心 我要说
拇僵硬是一个描述性概念,指与拇趾跖趾关节退变相关的常见症状(Hallux rigidus is a term used to describe symptoms commonly associated with degenerative arthritis of the first metatarsophalangeal joint)。
既往文献中有关拇僵硬的分期比较混乱,使得不同研究之间缺乏可比较性。
本文在整合既往分期特点的基础上,基于关节活动度-临床查体-影像学综合评价,提出一个5级分期方法。

0期:
背伸:40-60度,和/或与健侧比较,丧失10%-20%的关节活动度
X线:正常
临床:无疼痛;查体时仅有部分僵硬和关节活动度的丧失
1期:
背伸:30到40度,和/或与健侧比较,丧失20%-50%的关节活动度
X线:主要阳性表现为背侧骨赘形成,关节间隙轻度变窄,关节周围轻度硬化,跖骨头轻度变扁平
临床:偶有或轻度疼痛及僵硬;疼痛发生在被动极度背伸和/或跖屈跖趾关节时。

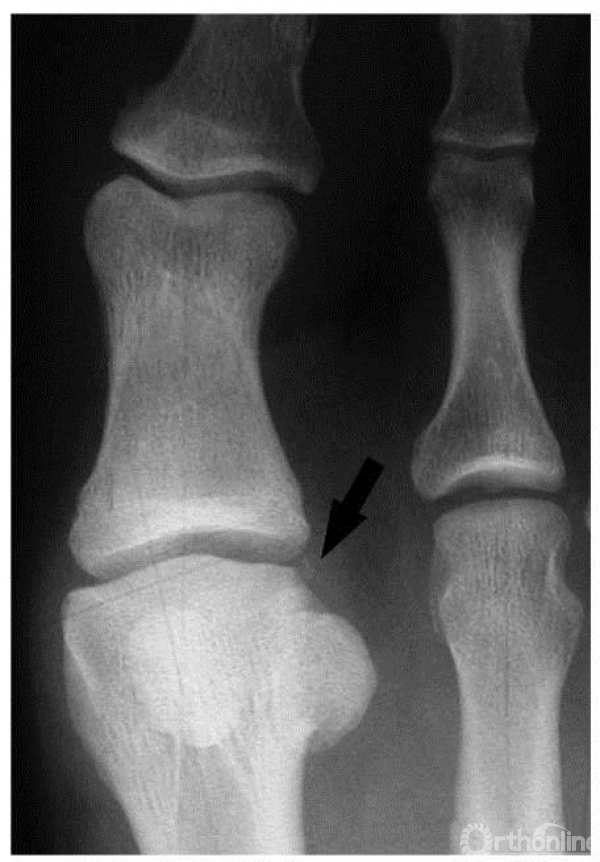
1期:正位x线上,箭头示外侧小的骨赘形成,关节间隙完好

1期:侧位x线上,箭头示小的背侧骨赘
2期:
背伸:10到30度,和/或与健侧比较,丧失50%-75%的关节活动度
X线:背侧、外侧,有时有内侧骨赘形成,导致跖骨头变扁平。侧位X线上,关节间隙狭窄,但累及不超过关节间隙的1/4。关节间隙轻度到中度狭窄,并伴有骨硬化,通常籽骨不受累及。
临床:中度到重度疼痛及僵硬,可持续发作;疼痛发生在被动极度背伸和/或跖屈跖趾关节时。

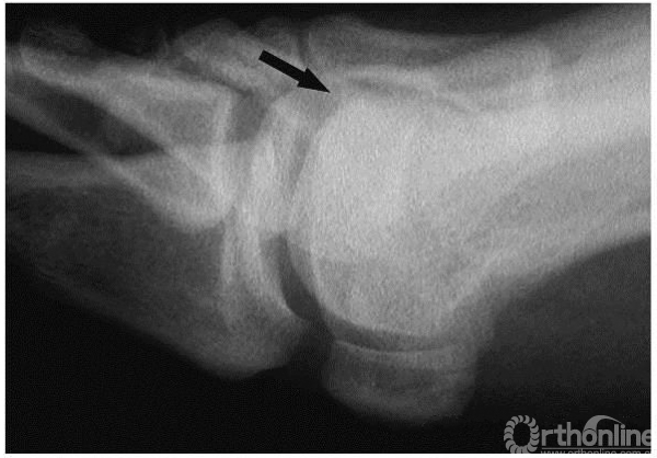
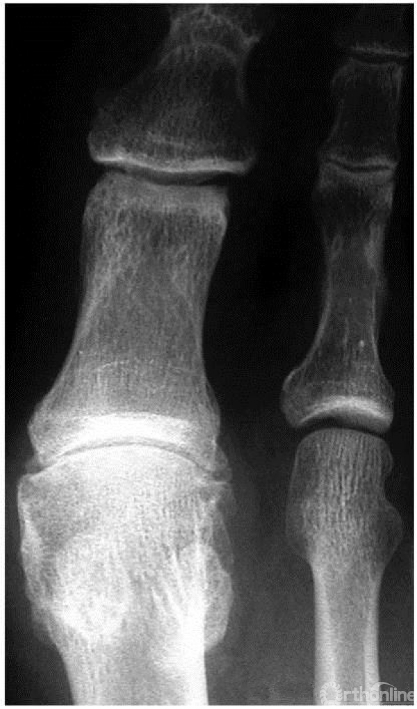
2期:正位X线上,关节外侧缘大量骨赘形成,跖骨头轻度扁平,关节间隙轻度狭窄,伴有骨硬化

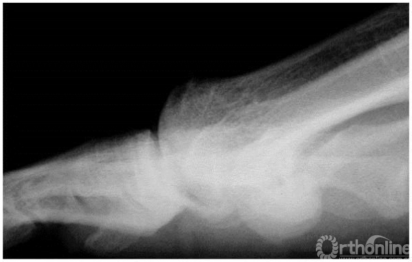
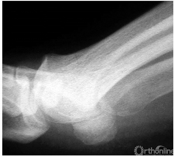
2期:侧位X线上,关节间隙变窄,但累及小于1/4的关节间隙(主要累及背侧关节间隙),背侧骨赘较为明显
3期:
背伸:小于等于10度,和/或与健侧比较,丧失75%-100%的关节活动度。跖趾关节跖屈也有明显受限(通常小于等于10度)。
X线:骨赘表现同2期,但关节间隙广泛狭窄,可有囊性变形成。侧位x线上,超过1/4关节间隙狭窄。籽骨增大和/或囊性变,和/或形状不规则。
临床:最大背伸和跖屈关节时持续疼痛及严重僵硬,但是在最大范围内活动时无明显疼痛。

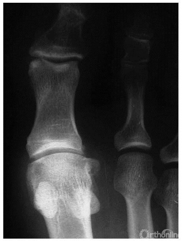
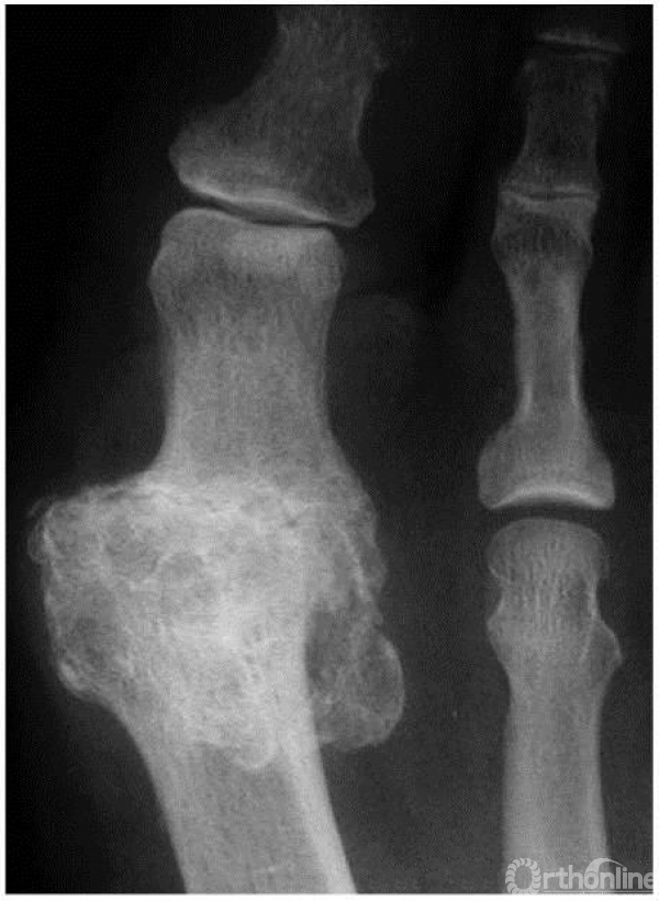
3期:正位X线上,关节间隙广泛变窄,籽骨形态不规则

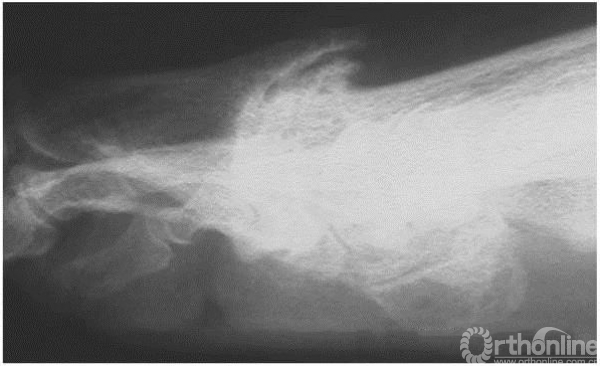
3期:侧位X线上,关节间隙变窄,累及超过1/4的关节间隙,背侧骨赘更为明显
4期:
背伸:关节活动度丧失情况同3期。
X线:同3期。
临床:基本表现同3期,但是不仅在最大关节活动度时有疼痛,在活动度范围中间也有疼痛。


4期:关节炎表现较3期更为明显、严重(3,4期影像学表现可以差别不大,但临床表现却相差很大)
注:
1. 本分期中关节活动度指:被动关节活动度
2. 游离体或骨软骨损伤的出现与分期无关,可见于各个分期
3. 各期的关节活动度标准有交叉。因为关节活动度只是确定最终分期的三个评价指标之一(另外两个为x线表现,及临床查体表现)。
附一:
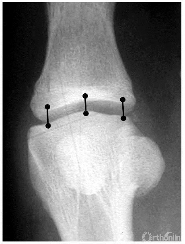
关节间隙测量方法

正位X线上:选择两端关节面的内侧、中间、外侧三点,分别连线

侧位X线上:选择两端关节面的背侧、中间、跖侧三点,分别连线
取上述六个连线长度平均值,即为关节间隙大小
附二:
第一跖骨抬高测量方法

方法一:沿第一、二跖骨背侧皮质分别画线,于跖骨头、颈交界处测量上述两条线之间距离。正常为小于等于8mm
方法二:计算第一跖骨倾斜角(第一跖骨轴线与足跖侧缘即内侧籽骨与跟骨结节下缘最低点连线之间的夹角。正常范围为19到25度)
结语:本文发表于2003年JBJS,提出的有关拇僵硬的分级标准为目前临床广泛采用。本文同时还观察了分别采用背侧骨赘切除和跖趾关节融合治疗不同分期拇僵硬的长期临床疗效(114个患者长期随访)
文献来源:
Coughlin MJ, Shurnas PS. Hallux rigidus. Grading and long-term results of operative treatment. J Bone Joint Surg Am. 2003 Nov;85-A(11):2072-88.



京公网安备11010502051256号