肱骨近端骨折显露和复位技术
2017-07-10 文章来源:解放军总医院骨科(骨科在线创伤专业编委) 作者:彭烨 我要说
肱骨近端骨折十分常见,我们临床中最常用的入路为胸大肌-三角肌入路。

但是这个入路有几个缺点
1.需要持续的牵引拉钩;
2.涉及大结节的骨折一般是向后移位,比较难复位;
3.剥离较大,容易形成粘连。

大结节向后侧移位较大,所以外侧劈三角肌入路,逐渐得到了大家的认可,该入路需要注意几个问题。
1.需要注意入路时,从三角肌的前、中肌肉之间进入;

2.注意分辨关节囊;

3.需要注意腋神经!该腋神经横跨肱骨干,需要小心分离保护,不能过度牵拉。

然后就可以进入肱骨近端了,整体暴露图,上方为小结节,下方为大结节。

手术技巧
1.用4843缝线,分别将肩袖、大结节、小结节处进行缝合。

2.用骨拨进行头下翘拨复位。

3.复位好头之后,将小结节和大结节互相牵拉后闭合头颈部分。

4.克氏针临时固定,用钢板压住骨折块。

复位要点
1.内侧需要完成支撑,复位肱骨距,翘拨要完成正位、侧位、腋位的综合复位。

2.不要使肱骨头过度内翻。

复位技巧
1.克氏针摇杆技术;
2.肩袖缝线牵拉技术;
3.骨拨翘拨技术;
4.胳膊内收;
5.经钢板提拉。

以钢板进行复位,然后用皮质骨螺钉进行提拉 完成肱骨近端解剖形态。

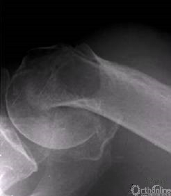
病例1

4部分骨折

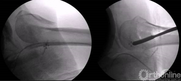
正位的翘拨复位

腋位的翘拨复位

解剖钢板与提拉螺钉的复位
需要注意:不要应用过度提拉,使得内侧肱骨距过复位。

注意完成内侧支撑和内外翻的复位。
在此病例中,为了复位良好,舍弃了肱骨近端与钢板贴服。



京公网安备11010502051256号