[典型病例]严重第2趾交叉趾畸形的手术治疗
2017-07-08 文章来源:北京同仁医院足踝外科矫形中心 我要说
一、病例介绍
1. 基本资料:64岁,女性患者。
2. 查体:
2.1 左足拇趾外翻伴旋前,拇囊处压痛(+);跖趾关节背伸30°、跖屈15°,被动活动时第一跖趾关节背侧疼痛。
2.2 足底第二跖骨基底胼胝体生成,压痛(+);
2.3 距下关节、踝关节活动度良好。





患足外观
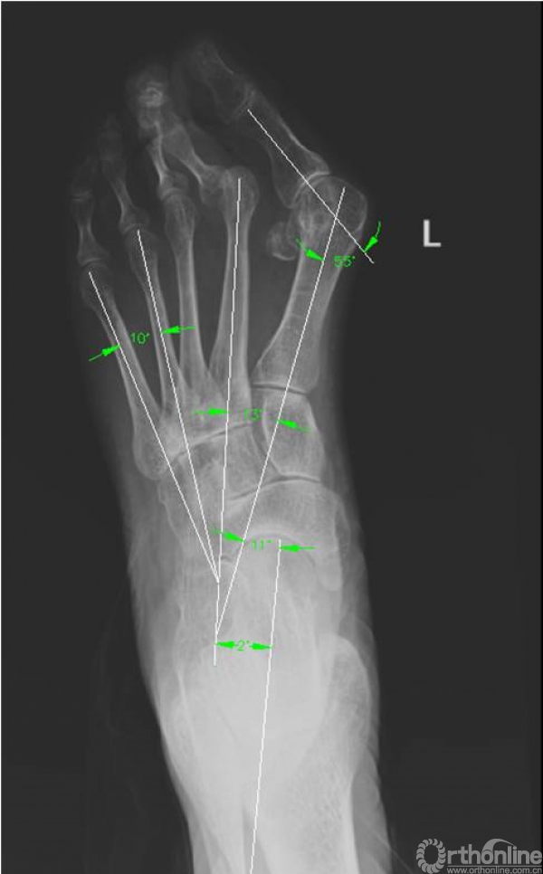
3. X线检查结果



X线检查
4. 诊断:
4.1 拇外翻(左足)
4.2 第一跖趾关节骨性关节炎(左)
4.3 第二趾交叉趾(左)
4.4 平足症(左)
5.讨论:
5.1 是否需手术治疗?
5.2 如需手术治疗,具体术式如何选择?
5.3 第2跖趾关节如何处理?
5.4 合并平足是否需要同时处理?
二、手术方案
1. 纠正拇外翻
患者第一跖趾关节疼痛、活动受限。X光片可见第一跖骨头明显囊性改变,为确切矫正畸形,稳定内侧序列,首选第一跖趾关节融合术。
2. 纠正第二趾跖趾关节脱位
该患者第二跖趾关节向外侧及背侧脱位严重,属于交叉趾畸形。由于跖趾关节的脱位,第二跖骨头下应力明显增大。通过第二跖骨头改良Weil截骨可以短缩并抬高跖骨头,降低跖骨头下应力,同时将跖骨头向外侧移位可以在一定程度纠正跖趾关节外侧脱位。对于较严重的跖趾关节水平面脱位,还应该重建内侧副韧带来矫正畸形,并稳定跖趾关节。该病例可以将趾短伸肌腱转位到内侧,重建内侧副韧带功能。
3. 是否需要同时纠正平足呢?
单纯纠正拇外翻不纠正平足,由于平足引起的距下关节过度旋前可使足的内侧序列承受异常的旋转应力,影响拇外翻纠正效果。但平足本身并无症状,纠正平足手术会增加额外的创伤。所以,术前应该充分和患者沟通。同时多选择更加稳定的手术方法。如,Lapidus手术等。本患者由于第一跖趾关节融合,对于内侧序列也是一个稳定的因素,所以没有同时纠正平足。
三、手术步骤
1、 第1跖趾关节融合术后,第2跖趾关节趾仍外翻脱位(趾短伸肌腱已切断)

2、 于第2跖骨基底水平分离切断第2趾短伸肌腱,远端与趾长伸肌腱结合处用不可吸收线缝合

3、 改良Weilj截骨,暂不固定

4、 用2.0克氏针于第2趾近节趾骨基底跖侧钻孔

5、 然后用2.5钻头扩孔

6、 穿入引导钢丝

7、 编织趾短伸肌腱近端

8、 通过钢丝引导

9、 自外向内将肌腱穿过骨孔

10、 肌腱经跖间横韧带及软组织深部引出

11、 将微型锚钉置入第2跖骨中部内侧

12、 用锚钉缝线将转位的肌腱缝合固定于第2跖骨干

13、 直径1.5mm克氏针在第2跖骨背侧向跖骨头钻孔

14、 可折断螺钉内固定

15、 术后第2跖趾关节复位,对线良好

16、 术后第2天大体像

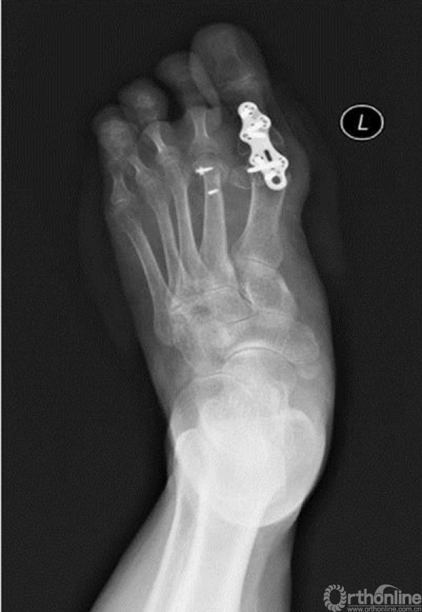
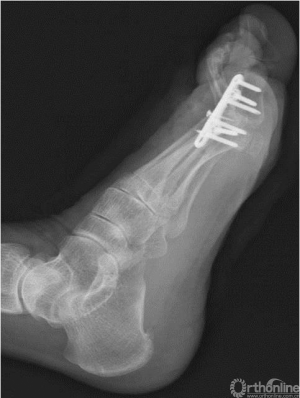
17、 术后X线


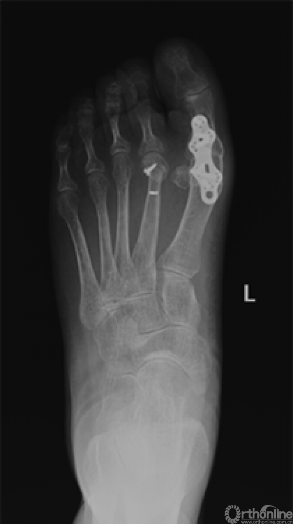
四、术后3个月随访



专家点评:
本病例中,交叉趾的纠正是个难点。在交叉趾的纠正中,需要根据不同的畸形程度选择合适的手术方法:
1 轻度畸形:Weil截骨,跖骨短缩后畸形可自行纠正
2 中度畸形:改良Weil截骨+跖骨头移位(跖骨头向偏移趾骨同侧方向移位)+侧副韧带重建
3 重度畸形:改良Weil截骨+跖骨头移位+伸趾短肌腱转位(需要根据足趾偏斜的方向的不同,通过钻孔重建伸趾短肌腱的起点方向)
4 是否需要跖板修复,仍有不同意见。有人认为对于轻、中度的交叉趾畸形,存在一侧的跖板破裂,此时需要修复。



京公网安备11010502051256号