哪五类病变:不需要骨肿瘤专科特殊处理?
2017-07-07 文章来源:中南大学湘雅二医院脊柱外科 刘福生 王孝宾 我要说
编者按
骨科医生在临床工作中,如遇到诊断不明的骨肿瘤患者时,为明确诊断和避免恶性肿瘤的漏诊,很多学者建议对骨肿瘤常规进行活检。然而,穿刺活检除会导致出血等副损伤外,还可能改变肿瘤的生物学行为,甚至引发其恶性转变[1]。实际上,一些肌骨骼系统来源的肿瘤活跃程度很低并且具有自限性,部分能够通过临床表现和影像学检查得到可靠的诊断。
哪些类型骨肿瘤具有上述特征?美国骨肿瘤专家Wodajo FM.为此详细介绍了不需骨肿瘤专科特殊处理的五类常见病变。通过分享本文,旨在为同道们临床诊治此类骨肿瘤提供参考。
中南大学湘雅二医院脊柱外科
骨科在线脊柱专业副主编
王冰
原文题目:Top five lesions that do not need referral to orthopedic oncology.
原文作者:Wodajo FM.
原文出处:Orthop Clin North Am. 2015 Apr;46(2):303-14.
一、脂肪瘤
临床表现:脂肪瘤是软组织中最常见的肿瘤,呈缓慢的膨胀性生长,最常见于四肢近端,上背部和腹部,可在浅表或深部组织中存在多年而不被发现。浅表的脂肪瘤表现为无痛、可推动、质软而富有弹性的皮下肿块。而深部的脂肪瘤表现为活动相关的疼痛、难以推动、质硬的深部肿块,若没有适当的影像学检查,则易被视为恶性肿瘤。
影像学特点:在超声中显示为均匀的低回声肿块。CT上为均匀的低密度影像。MRI主要表现为肿块与附近皮下脂肪有相似的信号(图1)。其中有个特例—皮下脂肪瘤,即使肉眼可见有明显的肿块,但在MRI上区别不明显,主要是因为脂肪瘤的脂肪信号与周围的皮下脂肪混合在一起。这种情况下可将肉眼可见的、可触及的皮下肿块和在MRI上无明显肿块相结合来加以诊断。
鉴别诊断:1.高分化脂肪肉瘤:在临床上,通常比脂肪瘤增长更快且更可能存在于深部组织。两者主要差异为高分化脂肪肉瘤在MRI上有更明显的分隔,表现为在T1低信号(暗)和T2高信号(亮)上可见不规则细线(图2)。2.肌内脂肪瘤(浸润性脂肪瘤):穿越肌层,产生异质的外观(图3),在某些情况下可能与高分化脂肪肉瘤混淆。3. 脂肪过多症:皮下脂肪增殖性疾病,非真正的肿瘤。常染色体显性遗传,典型表现为多发、柔软、无痛性肿块,分布在整个躯干和近端四肢(图4)。
作者建议:小的和无症状的脂肪瘤可以观察,也有采取吸脂或类固醇注射治疗小的表皮脂肪瘤。瘤体大、影响美观的肿块可以手术切除。脂肪瘤的囊壁结构清晰,完整的沿着边缘切除后很少复发。

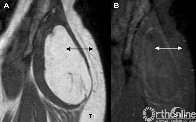
图1. 肌肉内脂肪瘤,臀部MRI的T1加权像(A)和脂肪抑制序列(STIR)(B)均显示肿瘤组织与附近皮下脂肪相同信号表现(双头箭头)。

图2.高分化脂肪肉瘤,T1加权像(A)和抑脂T2加权像(B)MRI序列,显示在内收肌间隙深部的脂肪肿块,两个序列均可见到肿瘤有明显的隔膜。

图3.浸润性脂肪瘤,冠状位(A)和轴位(B)T1加权像显示脂肪肿块,中间穿插有平行于股四头肌的粗大肌纤维;这种散在的肌纤维有时会误诊为脂肪肉瘤。

图4.脂肪过多症,临床图片显示老年患者有许多皮下结节(箭头),特别是在腹部,侧腹和上臂。
二、内生软骨瘤
临床表现:内生软骨瘤是继骨软骨瘤之后第二大骨肿瘤,多见于手部。好发于手和足的管状骨,扁骨中非常少见。在长管状骨中,股骨是最常见的部位,其次是肱骨和胫骨。一般无特殊症状,偶然被发现,有时也会产生疼痛和引起骨折。
影像学特点:在X线上的典型表现为干骺端的部分溶骨性病变。具体表现为由弧形、螺旋形和斑片状组成的特征性的软骨钙化图案(图5)。手部的内生软骨瘤常发生于趾骨的近端和掌骨的远端。在X线上,钙化不明显,但可见皮质的明显扩张和变薄,与长管状骨形成鲜明对比(图6)。MRI的T2像明显高信号,这与软骨含水量丰富有关。若存在低T1和T2信号的散在区域,则提示为软骨钙化区。
鉴别诊断:1.骨髓梗死:骨髓梗死通常会呈现较长的纵向病变,从而产生“烟囱中的烟雾”样外观(图7)。在MRI上,两者的区别更明显,软骨在T2上显示高信号。内生软骨瘤呈小叶样生长,而骨髓梗死中呈纵向“烟囱中的烟雾”样。2.软骨肉瘤:特征性表现包括疼痛持续缓慢恶化,体积大,有骨膜反应或皮质被突破(图8)。在手足中极为罕见,可见于扁平骨(如骨盆,肩胛骨和肋骨)。
作者建议:通常采取简单地观察、随访,6月、12月复查X线,以确定病变是否进展。在肿瘤出现疼痛症状或发展迅速需及时就诊。

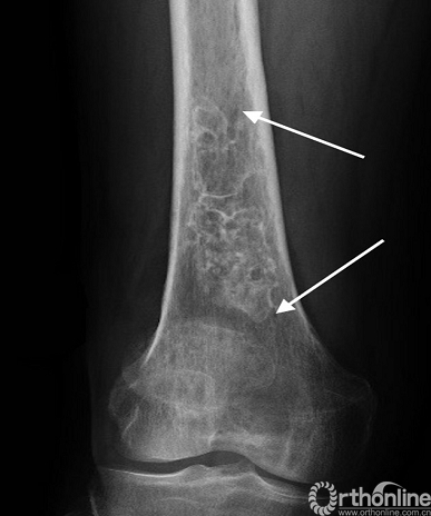
图5.长骨中的内生软骨瘤,典型X线表现为位于干骺端的钙化病损,中心有点状钙化灶(箭头)。

图6.小骨中的骨软骨瘤,在手和足的短管状骨中主要表现为皮质变薄和扩张,而不能发现基质中的钙化。

图7 .骨髓梗死(箭头),股骨远端表现为纵向范围小束状的病变,钙化病灶呈“烟囱中的烟雾”样(smoke in chimney)。

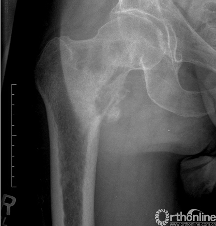
图8.软骨肉瘤,股骨近端骨破坏性病变,可见骨与相邻软组织中散在的矿化点。
三、非骨化性纤维瘤
临床表现:非骨化性纤维瘤是常见的疾病(占20岁前骨病变的30%以上),认为是骨骼生长期间干骺端的重塑现象,而不是真正意义上的肿瘤。一般无特殊症状,往往是在体检时偶然发现,在儿童和青少年可出现与活动相关的疼痛症状。
影像学特点:在X线上典型的表现为呈偏心,卵形或细长形,部分溶骨性的干骺端病变(图9)。其最常见的部位依次为股骨远端、胫骨近端、近端腓骨、远端胫骨,而股骨近端和肱骨近端罕见。非骨化性纤维瘤通常在一侧的骨皮质上呈膨胀、偏心性生长。腓骨例外,因骨的直径小而使病变呈成中央型生长。随着年龄增长,其自然病程表现为离骺板最远的部位首先被骨化(图10)。
鉴别诊断:1.巨细胞瘤:常伴有疼痛,在骨未发育成熟的患者中罕见,溶骨区少有钙化。2. 骨肉瘤:常伴有疼痛,骨皮质的破坏很彻底,骨髓质与皮质交界区难以区分。可出现局部溶骨性病变、骨膜反应及软组织钙化。3. 纤维发育不良:常见于骨干中央,表现出更加均匀的软组织(“毛玻璃”)影。
作者建议:非骨化性纤维瘤会随着年龄增长而自发愈合(30岁左右),因而多数可以观察。对骨未发育成熟且无新发症状的的患者,每隔6月、12月复查X线,直至骨骼发育成熟。对于溶骨性病变累及骨直径一半以上或有症状时,则需骨肿瘤专科行刮除植骨术。

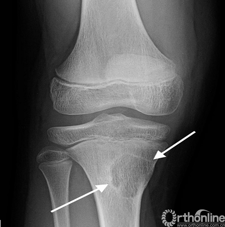
图9.非骨化性纤维瘤(箭头),主要为干骺端皮质部位的溶骨性病损,边缘环状硬化,多见于骨骼未成熟的患者。

图10.愈合的非骨化性纤维瘤(箭头),偏心的干骺端病变已经大部分重新骨化,远离生长板的部位密度更高,可以看到典型的皮质膨胀和重塑。
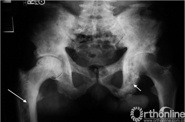
四、佩吉特(Paget)病
临床表现:佩吉特病被认为是一种多发性的骨疾病,最常见于骨盆。通常无症状、偶然被发现,但也可表现为与活动无关的钝痛。40岁以下罕见,但50岁以上发病率高达3%〜4%。病因不明,但有间接证据表明可能与感染有关。长期的疾病可导致骨畸形、病理性骨折及骨肉瘤(少见)。
影像学特点:佩吉特病有典型的X线表现,粗大的骨小梁,增厚的骨皮质及病变骨直径的增大(图11)。疾病的进展典型的表现为先溶骨性改变后发展为成骨性改变,但大部分是混杂在一起同时进行的。在脊柱侧位片上,椎体四面的骨皮质增厚形成“相框”样外观改变。负重的下肢骨骼,特别是胫骨,在长期病变过程中可能导致弯曲畸形(图12)。
鉴别诊断:1.原发性转移性肿瘤:都可表现为多发的、转移性疾病,原发性恶性肿瘤中,乳腺癌、前列腺癌与性别有关,可加以鉴别。此外,前列腺癌通常表现为众多的、离散的,小的,圆形或卵圆形的乳头状病变,而非弥漫性硬化。骨淋巴瘤也可能存在弥漫性硬化,但是不会出现像Paget病那样的骨膨胀及骨皮质增厚。2.纤维性发育不良:X线上表现出典型的“毛玻璃样”外观,骨皮质广泛变薄,而不是硬化。
作者建议:这种疾病很少需要外科治疗。疼痛性退行性关节疾病、骨质脆等导致股骨转子下股骨病理性骨折,需要手术治疗。对于长期稳定的佩吉特病患者,若疼痛突然加剧可发生恶化,恶变后,预后差。

图11. 骨盆佩吉特病,骨盆和股骨近端弥漫性受累,表现为骨小梁粗大,坐骨直径增加(短箭头)和皮质增厚(长箭头)。

图12. 佩吉特病致胫骨弯曲畸形,长期病变使长骨弯曲变形,也可见皮质增厚和“火焰样”的皮质骨溶解(箭头)。
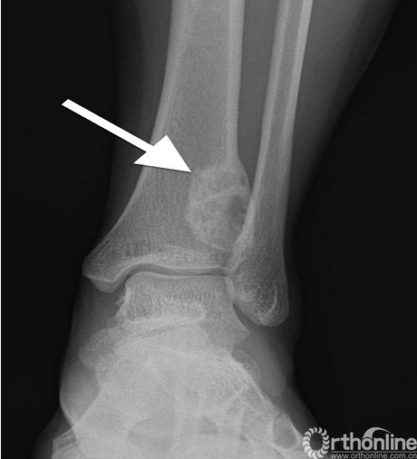
五、骨软骨瘤
临床表现:骨软骨瘤实际上属于发育性疾病,并非真正肿瘤,占所有良性骨肿瘤的20%-50%(占骨肿瘤的10%-15%)。骨软骨瘤是唯一可以因为辐射造成小孩起病的良性肿瘤。通常无疼痛,常因偶然摸到肿块,或X线检查发现。
影像学特点:骨软骨瘤在X线上典型表现为带蒂、基底部狭窄、长柄样外生性病灶(图13),位于干骺端皮质旁。也可为无柄,光滑的、宽基底的突起(图14)。骨皮质髓质空间的连续性是区分骨软骨瘤与其他皮质旁病变的关键。
鉴别诊断:1. 皮质旁骨肉瘤:是一种低度恶性、外生性的骨肉瘤变体,常发生在青春期。具有比骨软骨瘤更高的骨密度,不会显示骨皮髓质的连续性(图15)。此病具有良好的预后,单纯手术切除后生存率达80%到90%。2. 其他皮质旁病变:a,舌下外生骨疣,是一种骨软骨突出的指骨,可产生疼痛和指甲畸形; b,骨膜软骨瘤,在肱骨近端和远端上肢常见,可表现出钝痛。
作者建议:对幼儿每年复查X光片,观察骨骼肌肉生长情况。对成年人,小的或无症状的骨软骨瘤无需特殊处理,但当其大小或症状发生变化时应就诊。继发性恶变(继发性软骨肉瘤)可在MRI上表现为显著增厚的软骨帽(以2cm厚度为分界,图16)。通常继发性软骨肉瘤表现低度恶性(占90%左右),大部分通过手术切除可治愈。对于遗传性多发性骨软骨瘤可能需要骨肿瘤专科治疗。

图13.带蒂的骨软骨瘤(箭头),典型表现为位于干骺端,骨皮质和髓质均连续,和背离关节的生长。

图14.无柄的骨软骨瘤。股骨干骺端远端近皮质向外生长的病损,具有宽基底部和骨皮髓髓质连续性。

图15.皮质旁骨肉瘤,干骺端近皮质向外生长的病损,注意无皮质髓质连续性,弥漫而致密的钙化灶。

图16.继发性软骨肉瘤,轴位抑脂T2 MRI显示股骨远端的恶性骨软骨瘤。 注意d对比正常的薄软骨帽(短箭头)与显著增厚的软骨帽,这种增厚意味着继发性恶性转变(长箭头)。
总 结
• 本文描述的五类病变在影像学上具有显著特点,临床上不需采取太多治疗;
• 本文旨在帮助临床医师对这些病变进行诊断、消除患者的焦虑和减少不必要的转诊,这对临床工作具有重要意义;
• 然而,五类病变虽然多数时候能够被确诊,但当面对特定患者对诊断存在疑虑时,转诊给骨肿瘤学科进行诊治依然是明智的选择。
参考文献
1. MankinHJ, MankinCJ, SimonMA. Thehazardsofthe biopsy, revisited. Members of the Musculoskeletal Tumor Society. J Bone Joint Surg Am 1996;78(5):656–63.



京公网安备11010502051256号