文献学习丨Chevron截骨术后结果与籽骨位置的关系
2017-07-06 文章来源:北京同仁医院足踝外科矫形中心 作者:Glenn G. Shi, MD, Peter Henning, MD, and Richard M.Marks, MD 我要说
文献出处:
Correlation of Postoperative Position of the Sesamoids After Chevron Osteotomy With Outcome. Foot Ankle Int. 2015, 37 (3), 274-280.
Abstract:
Background: Postoperative incomplete reduction of the sesamoids has been identified as a potential risk factor for hallux valgus recurrence after proximal osteotomy. However, it is not known whether the postoperative sesamoid position is a risk factor in hallux valgus correction via distal chevron osteotomy with or without dorsal web space release (DWSR).
Methods: In this retrospective study, 169 patients who underwent distal chevron osteotomy with or without DWSR were reviewed. Preoperative and postoperative (6 weeks, 6months, 12 months) weightbearing radiographs were evaluated. Functional hallux valgus angle (HVA), intermetatarsal angle (IMA), and the position of the tibial sesamoid were graded using the center of head method. Seventy-six radiographs were available for review at the 12-month follow-up. Of these, 41 patients underwent DWSR procedure and 35 did not.
Results: In both groups, correction of all 3 parameters (HVA, IMA, tibial sesamoid position) were significant at the 12-month follow-up. Comparison of the postoperative results of the 2 groups showed no statistically significant differences. Four feet demonstrated displaced sesamoid position at the12-month follow-up, with radiographic evidence of recurrence in just one. No significant relationship was found between postoperative sesamoid position and hallux valgus recurrence that occurred in 4 feet.
Conclusion: Combining DWSR with a distal chevron osteotomy did not delay healing or increase risk of avascular necrosis, but it did not significantly improve angular measurements or sesamoid position. The concept that postoperative sesamoid position can be used to predict hallux valgus recurrence was not supported by our results when looking at distal chevron correction.
许多作者都指出不完美的术后籽骨位置往往是跖骨近端截骨术后症状复发的潜在危险因素。但未有针对籽骨复位不良与远端Chevron截骨术后拇外翻复发之间相关性的研究。总体来讲,拇外翻手术最常见的并发症为畸形复发,有报道指出约为3%到14%。产生此并发症的潜在危险因素有很多,此文即为评估籽骨复位与远端Chevron截骨术后复发拇外翻之间的关系。本文分析了远端Chevron截骨术后籽骨解剖复位与不完全复位,其各自的拇外翻畸形复发率,以确定籽骨不完全复位是否为术后拇外翻复发的潜在危险因素。作者2004年1月到2011年1月间治疗了169例患者,其中女57例,男12例,平均50岁(18-70岁)。76例患者(72女,4男)获得了12个月以上的随访。有41例(54%)患者行伴软组织松解的Chevron矫形术,35例(46%)患者行不伴软组织松解的Chevron矫形术。术后若在负重位前后位X线片上出现超过20°的拇外翻角即为畸形复发。

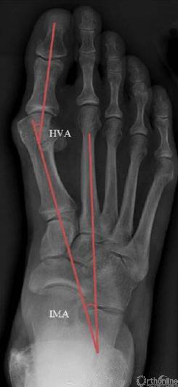
图1. 术前负重正位片上标记拇外翻角(HVA)和跖骨间角(IMA)

图2. 依胫侧籽骨相对第一跖骨轴线位置所描述的分度

图3.术后一年拇外翻角和跖骨间夹角

图4.伴或不伴软组织松解的Chevron矫形术后胫侧籽骨位置
12个月后观察伴或不伴软组织松解的远端Chevron矫形术后拇外翻角、功能性跖骨间夹角和籽骨位置均有明显改善。籽骨复位程度与远端Chevron矫形术后拇外翻矫正程度和复发间并无对应关系。所以尽管籽骨复位好的患者有较低的复发率,但本文并不支持把籽骨位置当做预测拇外翻复发的指标。本文也提出,远端Chevron矫形术中同时行软组织松解并未增加缺血性坏死的风险,但是也未明显改善术后拇外翻角和籽骨位置。
专家点评
在中、重度拇外翻病例,往往需近端截骨术,术后籽骨的位置与拇外翻的复发是有联系的。即籽骨复位不良者,拇外翻复发的机会增加。本文提出Chevron截骨后籽骨位置与拇外翻复发没有关联。可能是由于轻度拇外翻软组织的挛缩并不严重,籽骨脱位亦不严重,故而籽骨位置与拇外翻复发并无显著联系;另外跖骨的旋转对籽骨位置的评价也有影响,由于跖骨旋转,正常的籽骨-跖骨关系也可在X线正位上表现出移位。事实上,关于籽骨位置与拇外翻复发间的联系也有不同的研究结果,尚有争议。我们的临床经验也发现,在Chevron截骨术中如果软组织松解不到位,跖骨头外侧推移比较困难,还需作进一步研究。



 京公网安备11010502051256号