后交叉韧带(PCL)损伤的MRI诊断
2017-06-25 作者:广西中医药大学第一附属医院 米琨 我要说
骨科在线版权所有,如需转载请注明来自本网站.
后交叉韧带(PCL)损伤是一种膝关节常见损伤,主要见于车祸直接撞击胫骨上段的前方、膝关节受伤跪地以及站立时被撞击膝关节后上方等,受伤后胫骨相对于股骨的过伸、外旋和后移。

后交叉韧带损伤诊断的金标准是体格检查,根据后抽屉试验、台阶征等就可以确诊!MRI诊断后交叉韧带损伤的诊断率并不是很高,由于滑膜较多、韧带有一部分在胫骨平台的后下方以及半月板股骨韧带的存在等原因,关节镜观察后交叉韧带有一定的局限性,并不是诊断的金标准。

应力拍片是诊断后交叉韧带损伤既简便又可靠的方法,不但可以确诊后交叉韧带损伤,还能够判断胫骨向后移位的程度,为了使检查的结果更加可靠,建议麻醉下进行,双侧对比。

MRI的矢状面是检查后交叉韧带的主要层面,一般无须行胫骨外旋10-15度。

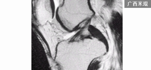
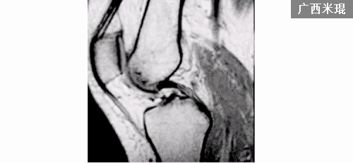
正常后交叉韧带的MRI表现:各序列均为低信号。矢状位韧带为凸面向后的弓形,边缘光滑。

矢状位上弓形的后交叉韧带形成一个135度夹角。

MRI阅片时要注意半月板-股骨韧带对后交叉韧带的影响,其在矢状位后交叉韧带弓形的上下方可见到小的、边缘清晰的低信号影。

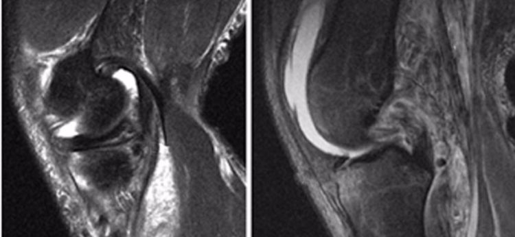
后交叉韧带撕裂的MRl直接表现:
1.韧带实质部撕裂 (根据表现分为3级)
2.后交叉韧带股骨附丽点撕脱(不多见)

后交叉韧带损伤的MRI分级:
Grade1:韧带内损伤,无长度改变。
Grade2:韧带内损伤并长度延长。
Grade3:完全性韧带撕裂。

后交叉韧带撕裂的间接表现:
1.髓内水肿:主要是胫骨上段前方的骨水肿,就是平常所说的挡板征或仪表盘征。

如果站立位被撞击膝关节后上方则表现为股骨后髁水肿,不常见。

2.撕脱骨折:后交叉韧带胫骨附着点的撕脱骨折较常见。表现为胫骨平台后部有线形的T1加权低信号,T2加权,STIR高信号的骨折线,撕脱的碎片和后交叉韧带相连而韧带的连续性未见中断。

3.后抽屉征:因胫骨后沉引起,除非膝关节脱位,否则后移程度不重。

4.内侧胫骨平台撕脱骨折:胫骨平台前外侧撕脱骨折(Segond骨折)常常合并ACL损伤。而内侧胫骨平台骨折撕脱骨折则常常合并PCL损伤。

5.内后侧胫骨平台的撕脱骨折:国外也进行了相关的研究,主要是半膜肌的牵挂或股骨后髁与胫骨平台内侧缘撞击引起。

国外研究认为膝关节屈曲90°轴向载荷是导致胫骨平台后内侧骨折的一种创伤机制,因暴力的不同,既可合并PCL损伤,也可合并ACL损伤。

总之,MRl阅片是重要的,但PCL损伤的诊断不要过于依赖MRl,体格检查既是基础又极其关键!
作者简介:

米琨
广西中医药大学第一附属医院大外科主任、仙葫院区副院长、骨科运动医学与关节镜外科主任、国家卫计委骨科内镜与微创医学广西培训基地主任。
米琨教授现任中华医学会运动医疗分会委员、中国医师协会骨科分会运动医学工作委员会委员、国际关节镜-膝关节-骨科运动医学学会(ISAKOS)中国委员会华南区主任委员、国际矫形与创伤外科学会(SICOT)会员、SICOT中国部运动医学专业委员会委员、亚太膝关节-膝关节镜-骨科运动医学学会(APKASS)中国委员、国家卫计委内镜与微创医学全国医师定期考核专家委员会委员、中国医药教育协会肩肘运动医学专业委员会常委、中国西部运动医学与关节镜协作联盟委员会副会长、中华中医药学会运动医学分会常委、中国中西医结合学会骨科微创分会委员、中国中西医结合学会骨伤科分会青年委员兼运动医学及关节镜外科委员、印度《Journal of Hand and Microsurgery》和阿曼《Sultan Qaboos University Medical Journal》等国外杂志的特邀审稿专家、《中国内镜杂志》和《中国现代医学杂志》编委。



京公网安备11010502051256号