股骨近端生物力学与髓内钉相关技巧
2017-06-20 文章来源:中国人民解放军总医院骨科 作者:彭 烨(骨科在线编委会创伤专业编委) 我要说
股骨近端生物力学坚强吗?一点也不...我们先来看一下股骨近端的解剖学研究,股骨近端承受身体巨大的重量,但股骨近端中却有三个骨量缺失的地方。

股骨近端有四个重要的组成部分,大粗隆,小粗隆,股骨头,股骨干。其中有一个重要的生物力学传导,股骨距也是股骨近端后内侧的重要稳定结构。

随着年龄的增加,股骨出现骨质疏松,前后的皮质开始变薄。此时出现骨折的风险逐渐增加。

骨质疏松也会影响内固定在股骨头内的稳定性。

疏松的骨质不适合使用螺钉稳定,而更适合螺旋刀片打压。


同时,双钉可以更好的预防头钉切出。

屈髋屈膝牵引入钉可以有效放松股骨近端的肌肉(髂腰肌、臀中肌),从而可以更好的进行骨折复位。尤其是粗隆下骨折
但进钉点不太适合选用梨庄窝进针,同时透视角度也需要进行微调。


最需要注意的就是进针点的选择。

进针点不良会导致复位出现内外翻。


好的进针点。


不好的进针点。


进针点选取的时候,一定注意腿的旋转。以小粗隆为参考,小粗隆稍微重叠1/3时一般为正位。

同时可以对于近端复位不良时,可以采用顶棒纠正前后旋转,克氏针纠正内外旋转。


或采用钳加复位,复位之后可以较好的植入头钉。


牵引钳加复位后。

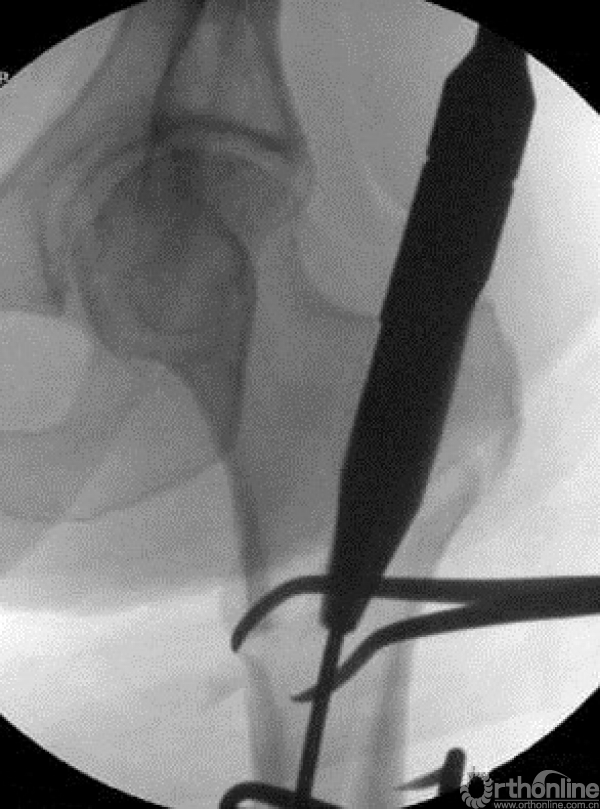
微创钳加复位。



当骨折线经进钉点时,可先行头颈克氏针固定。


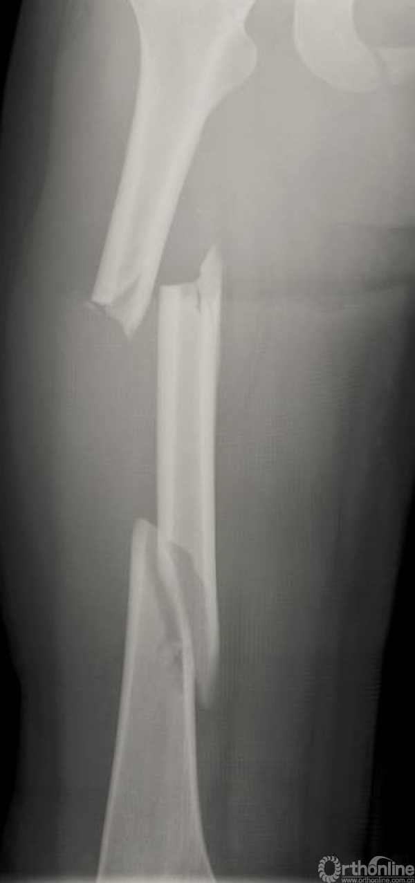
对于多端的骨折,需要善于应用阻挡钉技术。


摇杆技术+金手指技术进行复位。


远端时,防止后倒和摆动增加阻挡钉。


术后





京公网安备11010502051256号