肩袖钙化性肌腱炎急性发作的关节镜治疗
2017-06-06 文章来源:中华关节外科杂志(电子版) 作者:南方医科大学第三附属医院,广东省骨科医院骨外科:吴桂勤 苏训同 蔡道章 方航 潘剑英 我要说
肩袖钙化性肌腱炎是常见的引起肩关节剧痛的疾病之一,好发年龄为30~50岁,女性稍多于男性。当肩袖钙化性肌腱炎处于急性发作期时,患者常常出现肩部剧烈疼痛,夜不能眠,严重影响正常的工作和生活。虽然大部分患者采取保守治疗后效果明显,但是症状反复发作,且最终约10%患者需接受手术治疗。近来,由于微创治疗有着良好的治疗效果,而且并发症少和不影响美观,关节镜下清除肩袖钙化物质逐渐受到欢迎。本组2011年1月至2014年12月共收治13例肩袖钙化性肌腱炎急性发作患者,明确诊断后行关节镜治疗,术后疗效理想,值得推广,现报道如下。
资料与方法
一、临床资料
2011年1月至2014年12月,南方医科大学第三附属医院关节外科共收治13例肩袖钙化性肌腱炎急性发作患者,其中男性5例,女性8例;左肩4例,右肩9例;年龄32~56岁,病程1~6d。诊断标准:均有肩关节的剧痛、夜不能眠、活动受限(尤以外展、旋转受限为著)等症状;肩部X线平片、肩峰出口位片、磁共振检查;排除感染性或肿瘤性疾病,并了解钙化灶的大小、部位、范围等。
二、治疗方法
(一)一般治疗
患者入院后减少患侧肩关节活动,予口服非甾体类消炎药(non-steroidal anti-inflammatory drugs,NSAIDs)药物西乐葆200 mg,一日两次,并予局部冰敷,收集术前美国加州大学肩关节评分(University of Californiaat Los Angeles,UCLA评分),完善相关检查,如肩关节X线检查(图1),肩关节磁共振检查(图2)和手术准备。

(二)手术方法
全部患者均进行关节镜手术。患者采用气管插管全麻、侧卧位,使用专用牵引架5~10kg的牵重牵引,后外侧入路先作关节内的全方位检查,然后将镜头移行到肩峰下间隙,肩峰外侧3~5cm的正中稍前方作外侧切口(穿刺针水平抵近肱骨大结节),置入刨削器做肩峰下的滑囊清理、止血,并评估肩峰下间隙情况。完全暴露肩袖外表面,活动肱骨头,找到钙化灶。大的病灶较容易找到,小的病灶往往需要术中透视确诊,一般镜下可以看到草莓样病变或充血的炎症区域的表现,有时是局部的灰白样改变,常常伴有肌腱的磨损,用探针作探查看到牙膏样的乳白色稠状物流出即可确定(图3)。对于小于0.5 cm的病灶仅作清除即可,不影响肩袖的完整性;对于较大范围的病灶,即损伤直径超过1.5cm或超过肩袖厚度1/2的患者进行扩大清理及肩袖修复术,包括周围变性硬化的组织一并切除,于前侧作一辅助切口,将近端肩袖组织拉回其止点处,作单排或双排铆钉缝合固定。

(三)术后处理和随访
术后肩部冰敷24~48h,三角巾前臂悬吊胸前固定3周。予消炎止痛,运动康复医师指导下进行个体化的康复训练,如肌力的训练、主动和被动的肩关节活动。于术后1、3、6和12个月随访患者。 随访内容包括UCLA评分和常规的肩关节X线检查。
三、统计学分析
数据处理应用SPSS13.0软件进行统计学分析,UCLA评分以(
`x±s)表示,采用配对t检验,以P<0.05为差异有统计学意义。
结 果
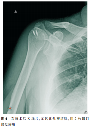
所有病例术后疼痛即刻消失,当晚夜眠良好。经过3~12个月的随访,UCLA评分由术前的(12.5±2.5)分提高至末次随访的(35.2±4.0)分,术前与末次随访比较,差异有统计学意义(t=5.317,P<0.05)。X线检查显示未见模糊的沉积病灶恢复清楚的边缘(图4);无1例发生肩关节僵硬、肩袖撕裂或新的钙化灶。
典型病例 女性患者,49岁,因“右肩关节疼痛、活动受限5d”入院,查体见右肩关节局部压痛,以冈上肌处明显,右肩关节主动活动范围受限,被动活动范围基本正常,Neer撞击征(+),术前X线片示右肩峰下一巨大密度增高团块(图1),磁共振示右冈上肌腱内一信号增高团块(图2),诊断考虑“右肩关节钙化性肌腱炎”,行“右肩关节关节镜探查清理+冈上肌腱钙化灶清理+肩袖修补术”,术中清理右肩冈上肌腱内牙膏样的乳白色稠状物,即钙质沉积(图3),见肌腱裂口超过肩袖厚度的1/2,予2枚铆钉修补肩袖,术后复查右肩关节X片(图4)。术后患者疼痛程度明显减轻,随访9个月,UCLA评分由术前的11畅5分提高至33畅5分,且无出现术后并发症。
![OPQGS]BKVYWN]U8NZV5F545.png](/sites/default/files/ueditor/styles/400x300_watermark/20170606/1496727844_426847.png)
讨 论
肩袖钙化性肌腱炎是一种较常见的自限性肩部疾病,以肩袖肌腱内沉积的羟基磷灰石晶体周围炎为主要特征。 迄今为止其发生机制尚不明确。Codman认为冈上肌腱的病变常发于肱骨大结节止点近侧1 cm范围内肌腱的血液灌注不足有关,肌腱变性后钙质沉积.Uhthoff等认为钙质沉积与细胞介导的特殊微环境有关。但无论发病机制如何,目前跟据患者的临床表现结合病理生理变化,将钙化性肌腱炎分为四期的病程分期:(1)钙化前期,无症状的肌腱纤维软骨的变性及软骨细胞组织的变性;(2)钙化物形成期,钙化物浓度较高,呈粉笔状;(3)钙化物重吸收期,此期患者疼痛最为明显,钙化物形似牙膏状,钙化结晶物会突破进入肩峰下囊,引起持续的疼痛,活动受限;(4)钙化后期,与疾病损伤的愈合和修复相关,疼痛较之前减弱和稳定,但是此时症状会持续几个月,会伴有一定程度的活动受限。此四期中的1、2、4期患者往往无症状,或者体检拍片时偶尔发现,患者无须就医;而第3期也就是临床上的急性发作期引发的剧痛是患者就诊的主要原因,并且也是愿意接受手术治疗的痛苦所在。本组收治的13例肩袖钙化性肌腱炎急性发作患者,均有肩部的剧烈疼痛、夜不能眠、拒动,推测可能与此期牙膏状的钙化物直接刺激引发的化学炎症有关。对于肩袖钙化性肌腱炎的关节镜手术治疗最早由Ellman报道,取得了良好的疗效,以后临床上相继开展,但对病灶的处理有两种意见,一种是肩袖钙化性肌腱炎急性发作期的疼痛认为与钙化水肿和肌腱内压力增高有关,没必要把钙质沉积完全清除,小切口将钙化物引流干净即可,以避免损伤冈上肌腱。另一种是完全清除钙质沉积物,如Jerosch等对钙质沉积在关节镜下尽可能地清除干净,并切除喙肱韧带,认为残留钙化灶和术后效果有关,建议在关节镜术中完全清除钙质沉积。笔者认为钙质沉积是病理改变,钙质的存留不仅影响肩关节的运动,同时也刺激机体炎症反应引发疼痛,或许还会引起新的钙质沉积。因此术中彻底清除病灶的范围是取得疗效的关键。 对于不影响肩袖的完整性、小于0.5cm的病灶,仅作清除即可;对于较大范围的病灶,即损伤滑囊面直径超过1.5cm或厚度超过1/2的患者进行扩大清理并即时完成肩袖止点的缝合修复术。
以往有文献报道,关节镜治疗后的制动将引起肩关节的僵硬。本研究随访的病例均未出现关节活动受限的情况,患者对治疗的效果满意度高,因此术者认为关节镜治疗后制动3周不会引起关节僵硬的发生,但需严格遵循康复计划以获得良好的关节功能。
本研究也有不足之处。 首先,这是一项回顾性研究,研究等级偏低;其次,本研究的病例数较小,可能发现不了某些低概率事件;最后,术后随访时间相对较短,对于关节镜下治疗肩袖钙化性肌腱炎急性发作的长期疗效仍需进一步观察。但是,关节镜下治疗肩袖钙化性肌腱炎急性发作的疗效肯定,所有病例术后疼痛即刻消失,经过康复训练和日后随访,患者的UCLA评分均较术前明显提高,表明肩关节功能明显改善,利于工作和生活,创伤小、出血少、恢复快,是一种较为理想的治疗手段,值得推广应用。



京公网安备11010502051256号