施慧鹏:骨科医疗纠纷鉴定案例分析系列之五
2017-05-22 文章来源:上海市第六人民医院骨科 作者:施慧鹏(骨科在线创伤专业副主编) 我要说
导 语
伴随人类社会现代化进程,现代创伤从规模、人数及发生、发展机制上看,都更为复杂。近年来,我国每年约有七八十万人因交通事故等各种各样的创伤致死、致残。骨科是投诉率比较高的学科,多数骨科患者仍希望在受伤后、手术后完全恢复到之前健康状态,能达到“破镜重圆”。但是如果受教育程度欠佳、医患之间沟通不畅、治疗和康复效果不理想,往往会造成医疗纠纷。
以下上海市第六人民医院骨科的施慧鹏教授团队,介绍了上海市2016年的部分骨科特殊纠纷案例,希望骨科同道们——名鉴失败者的经验教训,并引以为戒!(本文仅限骨科医师业务学习专用,请勿外传)
2016年上海骨科医疗事故鉴定要素
1.医疗行为有过错;
2.患者有人身损害后果;
3.过错与损害后果之间存在因果关系。
损害等级
参照《医疗事故分级标准》(12档)进行损害等级的分级;伤残等级10级。
一过性损害:有客观依据的,定四级医疗事故。
责任程度
医疗损害 | 医疗事故 |
完全责任 100% | 完全责任 100% |
主要责任 70% | 主要责任 70% |
对等责任 50% | 次要责任 30% |
次要责任 30% | 轻微责任 10% |
轻微责任 10% |
责任程度如何分配,一般看以下五点:
1.医疗过失行为;
2.疾病严重程度;
3.医疗风险、难易度、局限性;
4.患方对医疗的配合程度;
5.患者体质的特异性。
骨科案例简况
年份 | 全市鉴定数 | 骨科鉴定数 | 全市平均阳性率 | 骨科阳性率 |
2015 | 690 | 85(12.3%) | 48% | 54.1% |
2016 | 629 | 66(10.5%) | 47.5% | 59.1% |
2016年上海骨科案例简况
事故等级
一 级 | 10% |
二 级 | 8% |
三 级 | 53% |
四 级 | 29% |
责任程度
完 全 | 3% |
主 要 | 47% |
对 等 | 10% |
次 要 | 32% |
轻 微 | 8% |
常见医疗过失
1.漏诊接着漏治;
2.手术指证不严;
3.手术方式不当;
4.手术操作欠妥;
5.术后并发症观察、处理不当;
6.对疾病本身复杂性评估不足;
7.用药不合理;
8.告知不充分。
案例五



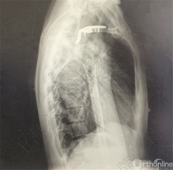
患者跌倒至左锁骨远端骨折。
CT示:左锁骨远端骨折,远端骨块向前下方移位。


患者择期行左锁骨远端骨折切开复位内固定术。
术后X线摄片示:骨折对位对线可。

患者术后复查,X线摄片示:骨折端对位对线欠佳,远端骨块向前下方移位。

患者取出内固定,X线摄片示,骨折端畸形愈合,对位对线欠佳。
医方在复查期间未注意X线摄片显示的远端骨折移位,行取出内固定术前未充分告知患者。医方存在漏诊,手术指证掌握不当,术后并发症观察、处理不当,告知缺陷等过失。



京公网安备11010502051256号