舟月关节脱位复位技巧
2017-04-19 文章来源:中国人民解放军总医院骨科(骨科在线编委会创伤专业编委) 作者:彭 烨 我要说
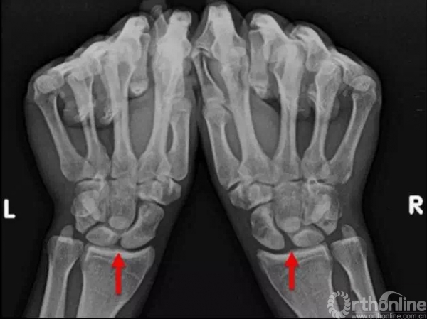
舟月关节脱位在临床中常常容易漏诊,舟月关节脱位诊断时一定要进行双侧的X线对比。

MRI可见舟月韧带撕裂。

舟月关节的稳定结构。
1.初级稳定结构:舟月韧带
2.次级稳定结构:舟头韧带\RSC韧带\STT韧带

当这些稳定结构都损伤的时候,舟骨出现不稳定。当舟月(SL)韧带出现部分撕裂时,X线可能表现正常,SL韧带完全撕裂的时候舟月关节在应力位下间隙变宽。

入路采取背侧桡侧双入路,背侧入路为3-4指骨间2-3cm,桡侧入路为桡骨茎凸往远端2-3cm。


先进行背侧入路,暴露肌腱,保护肌腱,在肌腱下方暴露月骨、舟骨、舟月关节。


舟骨和月骨各行一个克氏针固定,舟骨从远向近端打,月骨从近向远端打。以供更好的使用摇杆技术进行复位,来进行舟月关节的闭合。

复位前。

舟骨的克氏针向近端旋转,月骨的克氏针向远端旋转复位后。

复位以后可以用coka把克氏针加持住,然后采用螺钉固定。

然后进行桡侧入路,桡侧入路需要注意桡神经的分支还有桡动脉。

暴露舟骨的外侧。

置入空心螺钉。

透视可见两枚复位克氏针和一枚固定的螺钉,固定螺钉一般采用三层皮质固定舟月微动关节。

术后可见舟月关节恢复。




京公网安备11010502051256号