桡骨头、颈骨折手术入路
2017-04-15 文章来源:中国人民解放军总医院 作者:唐佩福 陈 华 我要说
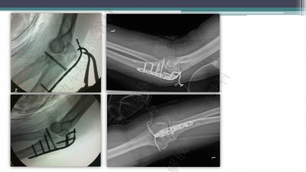
导语:桡骨骨折是一类临床很常见的骨折类型,大约占成人全部骨折中的15%,随着人口老龄化,高龄患者的发生率亦越来越高。桡骨骨折切开复位手术入路一直以来较为多样化,每种入路亦有其优缺点。在本次幻灯中,解放军总医院骨科的唐佩福教授、陈华教授将与我们分享桡骨头、颈手术手术入路相关经验,精彩内容逐一展现。





























2017-04-15 文章来源:中国人民解放军总医院 作者:唐佩福 陈 华 我要说
导语:桡骨骨折是一类临床很常见的骨折类型,大约占成人全部骨折中的15%,随着人口老龄化,高龄患者的发生率亦越来越高。桡骨骨折切开复位手术入路一直以来较为多样化,每种入路亦有其优缺点。在本次幻灯中,解放军总医院骨科的唐佩福教授、陈华教授将与我们分享桡骨头、颈手术手术入路相关经验,精彩内容逐一展现。





























骨科在线 北京经纬在线网络科技有限公司
京ICP备15001394号-2   
 京公网安备11010502051256号
地址:北京市朝阳区朝阳门北大街乙12号1号楼8层08公寓H
联系电话:010-85615836
Email:orth@orthonline.com.cn