NiceKnot缝线技术治疗跟骨撕脱骨折一例
2017-03-26 文章来源:北京大学人民医院 作者:通信作者:付中国 刘中砥 姜保国 我要说
患者资料
女性患者,65岁,行走时不慎由高约1米处坠落,右足受伤3h入院。患者诉右足跟疼痛,无法继续行走。
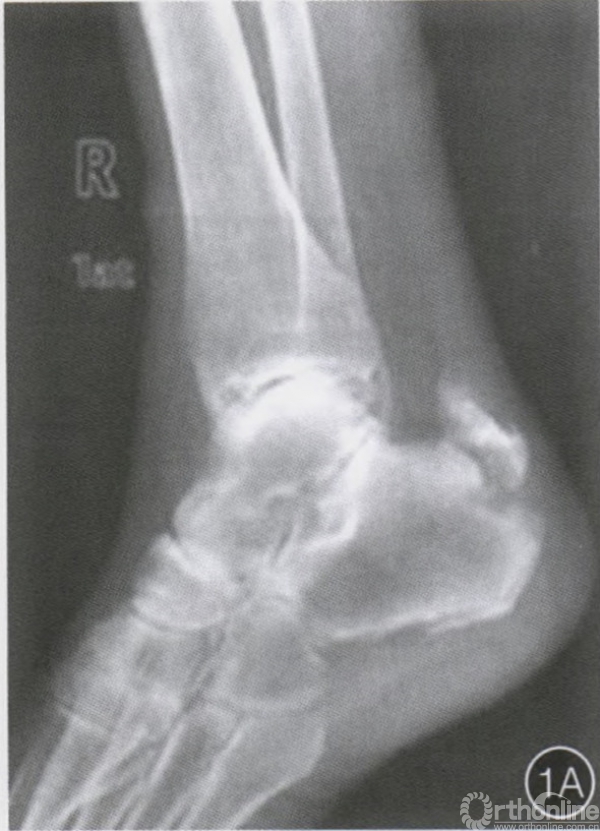
查体:右足跟部明显肿胀,皮肤瘀青,局部压痛明显;右踝关节主动跖屈及背屈活动明显受限。x线片示右跟骨结节骨折,
合并跟腱止点撕脱骨折,Beavis I型(图1A,B)。患者有原发性高血压病及糖尿病史,口服药物治疗,合并有老年性骨质疏
松,无过敏史、特殊家族史及手术史。
初步诊断:
①跟骨骨折;
②原发性高血压病;
③糖尿病;
④骨质疏松。
急诊予右踝跖屈位石膏固定。伤后第6天,局部软组织肿胀消退,行手术治疗。手术采用硬膜外麻醉,患者取俯卧位,屈膝15。,术中驱血并使用止血带。通过触诊确定跟腱止点跟骨撕脱骨折区,于跟腱止点远端两侧行长约5—10mm的纵形切口,切开周围组织并作适当分离,用1枚带孔克氏针穿上可吸收缝线于跟腱止点近端横穿跟腱,由此线牵引抗高张力缝线折成的双线穿过止点近端跟腱(图1c,D),并将线环和线尾由跟腱止点远端两侧切口引出(图lE,F);经皮于跟骨近中央部钻孔,注意保护两侧皮肤,由此孑L引人多股双线,并通过跟腱止点远端切口预留缝线将各股双线的线环及线尾由一侧切口引出(图1G~0),此时应用牵拉及Nice Knot缝线技术将跟骨骨折块及撕脱的跟腱止点捆扎固定(图1P,Q),缝合切口,加压包扎。术后右下肢及右踝关节支具固定,4周内免负重。随后嘱患者在右足跖屈位部分负重,随后恢复至正常负重,术后6周复查示患者骨折愈合良好(图1R),患者未诉骨折区疼痛或不适。
讨 论
跟骨撕脱骨折相对常见,约占所有跟骨骨折的3%,多见于伴有骨质疏松、糖尿病或自身免疫疾病的患者。该类骨折的
分型常依据Beavis提出的骨折分型系统:简单的(非粉碎)、关节外移位的骨折类型为Beavis I型,大多数患者需要手术恢复
骨折区承重结构。螺钉、张力带、铆钉系统、外固定等多种治疗法在以往均有报道,但这些骨折固定方法仍存在各种局限。
本文报告1例采用Nice Knot缝线微创固定治疗的跟骨撕脱骨折,结果满意。
一、受伤原因分析
跟骨结节骨折是较为常见的跟骨关节外骨折,跟骨结节骨折同时合并跟键止点撕脱骨折的文献报道较为少见。分析其发
生机制为患者由低处坠落着地时,腓肠肌突然猛烈收缩牵拉跟腱附着处,引起跟骨结节骨折,腓肠肌继续猛烈收缩,发生跟腱
止点的撕脱骨折。由于腓肠肌群与跟骨之间的连续性中断,Thompson.Simmonds试验常为阳性。高龄患者尤其是合并糖尿
病、骨质疏松、类风湿关节炎、脊髓灰质炎以及需要血液透析的患者更容易发生跟骨骨折⋯。有学者推测,在糖尿病患者中
胶原排列紊乱所造成的跟腱紧张以及该类患者伴发的骨质疏松可能是造成撕脱骨折的主要原因。该患者同时合并有糖尿病
和骨质疏松症,可能是导致此类损伤的内因。
二、手术方案选择
无移位或轻度移位的跟骨结节骨折,骨折后方软组织无受压,可以采用跖屈位短腿石膏托固定6~8周;对移位的或后方软
组织受压明显的骨折需切开复位内固定,以恢复跟腱功能。手术固定是跟骨撕脱骨折最常采用的治疗方法[21,手术方式的选择
多种多样,因跟腱位置表浅,仅有皮肤和薄层皮下组织覆盖,原发软组织创伤以及手术创伤引起的软组织肿胀,可干扰切I=l皮
肤的血供,术后可能伴随局部皮肤坏死、金属内置物刺激及复位丢失等并发症。对于该例患者,我们尤其注意可能存在的皮肤
及骨质疏松问题。采用微创缝线结合Nice Knot技术避免了切开复位固定可能带来的皮肤并发症,患者恢复时间缩短,取得了
良好的临床预后。


术前X片和示意图示右侧跟骨撕脱(A,B)

用1枚带孔克氏针穿上可吸收缝线于跟腱止点近端横穿跟腱(C)

由此线牵双线穿过止点近端跟腱(D)

将线环和线尾由跟腱止点远端两侧切口引出(E)

两端拉近缝线,将骨折块向远端牵引(F)

经皮于跟骨近中央部钻孔(G)

之后利用带孔克氏针于此孔引入牵引线(H)

将多根双头缝线固定于牵引线端(I)

经牵引线将多根双头缝线穿过跟骨(J)

经跟骨引入多根双头缝线的后前位(K)

经跟骨引入多根双头缝线的侧位(L)



将各股双线的线环及线尾通过跟腱止点远端两侧切口引出(M-O)

通过预留缝线将各双头缝线头于一侧切开引出(P)

打紧线结,将跟骨撕脱骨折块固定示意图(Q)

术后6周复查X线片示骨折已愈合(R)



 京公网安备11010502051256号