少年剧烈胸背痛伴夜间高烧月余,竟是骨嗜酸性肉芽肿引发胸椎病理性骨折所致
2017-03-22 文章来源:广州中医药大学附属顺德医院骨科 李永军 我要说
患者资料:男,13岁。主诉:胸背部疼痛伴活动受限1月。
现病史:患者于1月前无明显诱因出现胸背部疼痛伴活动受限,活动时疼痛加重,卧床休息疼痛减轻,曾到当地医院拍X光未见明显异常,未作其余处理,1月来,症状逐渐加重,现患者自觉胸背部疼痛剧烈,转身困难,于夜间11点出现发热,最高38.5度,发热后于凌晨2~3时自行退热并出现出汗。为求进一步诊治,来广州中医药大学附属顺德医院门诊就诊,门诊经询问病史、查体后拟“胸背部疼痛查因”收入广州中医药大学附属顺德医院骨科入院时症见:精神可,胸背部疼痛,午后潮热,近期消瘦约10近,无头晕头痛,纳眠可,二便调。
体格检查:脊柱轻度后凸畸形,胸背部双侧肌肉紧张,广泛性压痛,T9椎体棘突部压痛、叩击痛(+),沿两侧放射到胸肋部,相当于T9平面皮肤浅感觉减退,双直腿抬高试验(-),加强试验(-),胸部主动活动稍受限。双膝、跟腱反射正常,病理征未引出。
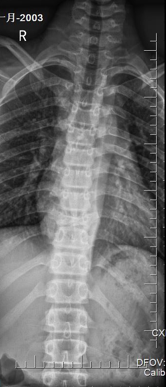
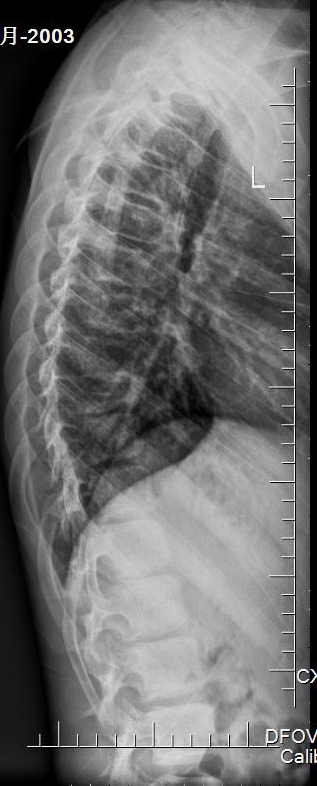
入院X片:胸9楔形改变,椎体高度损伤80%。

入院胸椎X片

入院胸椎X片
入院诊断:胸9病理性骨折:1、结核? 2、感染? 3、肿瘤?

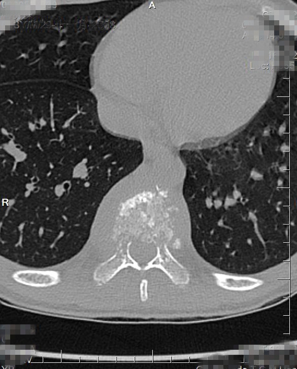
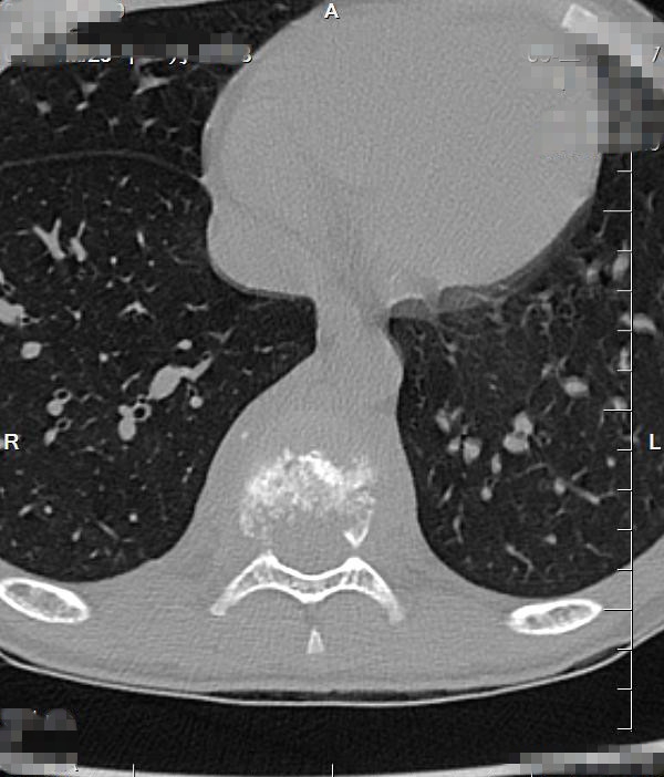
入院CT:结合MRI考虑,T9椎体病理性压缩性骨折,双侧椎弓根骨折,伴周围软组织感染性改变。
胸椎MRI平扫+增强扫描:第9胸椎椎体及其周围软组织感染性病变,并第9胸椎椎体病理性骨折。以结核性感染可能性大。

CT

CT

MRI

MRI
患者住院期间出现高热,39.5度,考虑患者有反复发热,发热体温超过38.5度,最高39.5度,白细胞升高,中性粒细胞升高,影像学显示椎间盘有破坏,故不考虑肿瘤,考虑感染性疾病。感染性疾病有结核和细菌感染,但患者有反复发热,发热体温超过38.5度,最高39.5度,白细胞升高,中性粒细胞升高,并且病情进展快,结核抗体阴性,故不考虑结核,考虑细菌感染。予克林霉素+头孢美唑抗感染治疗。经过治疗后第2天开始出现退热,局部疼痛减轻。
于患者使用抗生素后第5天行胸9病灶清除、病椎切除+内固定术。术后病理示:Langerhans细胞组织细胞增生症。

谈论:骨嗜酸性肉芽肿是最常见的,约占60%~80%。病变可为单发或多发,多数为单发。自婴儿至老年人均可发病,多发生于小儿及青少年,约占原发性骨肿瘤的2.1%。基本病理改变为网状内皮增生及嗜酸性白细胞浸润。好发部位:颅骨、颌骨、骨盆、肋骨、股骨、脊柱。
椎体脊柱病变可单发或多发,椎体可呈楔形或完全变扁呈钱币状,亦可呈溶骨性破坏,很少累及相邻的椎体椎间隙。CT及MRI可多层面显示椎体及附件的溶骨性破坏椎体的溶骨性破坏。常累及一侧椎弓根,同时还可清楚显示椎旁的软组织肿胀和包块,亦可显示椎管内受累的情况。
该患者容易出现误诊的原因是该疾病很多症状、体格检查、生化检查、影像学改变和化脓性疾病均存在很多相似之处,很容易发生误诊。确诊需病理。



 京公网安备11010502051256号