Pilon骨折的手术入路和手术技巧
2017-02-13 文章来源:中国人民解放军总医院骨科 作者:彭烨 我要说
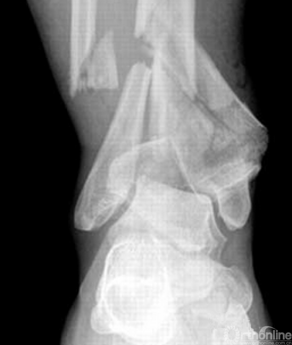
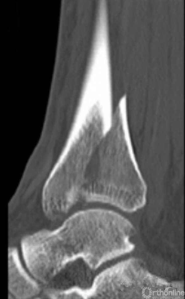
Pilon骨折常常伴随极度粉碎的骨折和严重的软组织损伤,选择合适的手术入路就成了手术的关键。

手术入路的选择先问自己几个问题?
1.最大的关节面位移在哪里;
2.最好的软组织覆盖在哪里;
3.条件是否允许应用大切口;
4.内固定的位置。
对于以下的骨折你怎么选择入路?

这样的骨折呢?

手术入路选择原则:
一般取决于最适合进行关节面复位的入路。
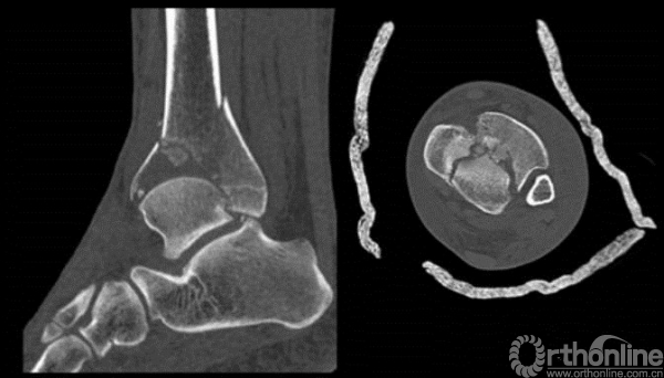
cole在2013年jot发表的文章描述了pilon骨折的骨折线图根据多例病例汇总到一起,颜色越深则越骨折线经过的可能性越大。

他将pilon骨折大致的骨块进行了分类,分别为后、前内、前外三个骨折块。

Pilon骨折的入路一共有5个,前内、前正中、前外、后内、后外。


1.前内侧入路


比较好做经皮固定

该入路比较好暴露前内侧的关节面,可以向外侧延长切口放一个前侧的钢板。或向后侧延长切口放一个内侧的钢板。
2.前外侧入路


把趾长伸肌往内侧牵拉

注意腓浅神经

一般可置放前侧钢板
3.前正中入路

胫前肌和足母长伸肌之间

对于显露前方的关节面十分好,甚至可延长显露到距骨

对于内外踝都可以较好的暴露
4.后外侧入路

屈拇长肌和腓肠肌之间

注意保护腓肠神经


病人一般采取俯卧位

该切口的好处是可以同时解决腓骨的固定和后方骨块的显露固定
5.后内侧入路

屈拇长肌和跟腱之间

将屈拇长肌胫后血管和神经向前侧拉开

对于后踝的骨折块则可以很好的显露和固定
术中技巧
1.粉碎的骨折 采取小块靠大块

对于这样的骨折,充分显露之后,先从后面开始,逐步把小块往大块上复位,逐渐复位到最前面。
2.中心粉碎骨折

充分牵引,撑开,将关节面的骨折块先找到摆放在合适的位置

用克氏针将关节面的骨块应用排筏技术先固定好,从下方观察关节面的复位情况,并且确认骨块不会向上推起

植骨

然后将骨块前后和左右进行压实后进行固定




京公网安备11010502051256号