【病例讨论】后侧pilon骨折的诊断与治疗

2016-08-17   文章来源:山东烟台市烟台山医院创伤骨科 周智勇   作者:周智勇 陈旭 蒋协远 刘绍贤 张兴琳 邹德鑫 我要说

导语:

2000年,Hansen首次提出后侧pilon骨折的概念。在受伤机制、创伤解剖、影像表现、手术指征、手术入路、复位方式、内固定和预后等方面,后侧pilon骨折有别于经典踝关节骨折中的后踝骨折。本文中,周智勇等几位医师就一例临床病例的诊断、治疗进行详细分析。

病历摘要

患者,女,60岁,因“摔伤后左踝关节疼痛、肿胀、活动受限1天”来院就诊并收入院。入院时询问病史,患者自述除左踝关节受伤外,未觉身体其他部位受伤。

入院查体:

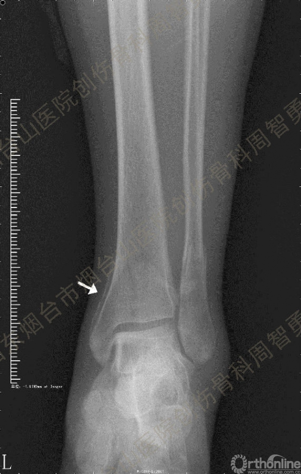
患者一般情况可,左踝关节肿胀,见皮下瘀斑,内、外、后侧有压痛,左踝关节主动运动受限,左足皮肤感觉、血供未见明显异常,左足趾各关节可主动运动。左踝关节正位X线片和CT重建示内踝内上方双层骨皮质影(图1a,c),CT示后侧骨折块分为后内侧骨折块和后外侧骨折块(图2a,b),后内侧骨折块累及内踝后丘,后丘骨折线呈冠状位(图2c),后内侧骨折块腹侧有向近端塌陷的小块骨软骨骨折块(图2d),CT也显示Chaput骨折块(图1c,2e)。

入院诊断:

后侧pilon骨折

入院后经完善术前常规检查,在与患者和家属沟通确定治疗方案后,在腰、硬联合麻醉下行“左后侧pilon骨折切开复位内固定术”。

患者取俯卧位,轻度屈膝,小腿下垫枕使足离开床面。取长约10cm的踝关节后外侧切口,皮肤切口位于外踝后缘与跟腱的中线,远侧延伸至外踝尖。皮下与深筋膜间显露、保护小隐静脉和腓肠神经,纵向切开腓骨肌浅面深筋膜,显露腓骨肌腱。将腓骨肌腱牵向外侧显露后浅室和后深室间隔,透过肌间隔可见踇长屈肌。切开肌间隔显露踇长屈肌并向内侧牵开,显露胫骨远端后侧骨折块。保护腓动脉、下胫腓后韧带和骨折块上的骨膜。在后内侧骨折块和后外侧骨折块中间的骨折线切开骨膜并骨膜下游离数毫米,分别以胫后肌腱腱鞘和下胫腓后韧带为铰链,将后内侧骨折块和后外侧骨折块翻向内侧和外侧。显露后内侧骨折块腹侧向近端塌陷的骨软骨骨折块。见后内侧骨折块腹侧有约4.0 mm×3.0 mm×3.0 mm大小向近端塌陷的骨软骨骨折块,给予切除。取长约5cm的踝关节后内侧入路,切开皮肤皮下并适当向两侧游离,不切开屈肌支持带,仅切开后内侧骨折块内侧缘和近侧缘的骨膜。通过后外侧入路和后内侧入路显露后内侧骨折块的外侧缘、近侧缘和内侧缘,直视下解剖复位后,2.0 mm克氏针临时固定。直视下解剖复位后外侧骨折块,并用2.0 mm克氏针临时固定。返回后外侧切口,向外侧游离皮瓣,内牵腓骨长短肌腱显露外踝骨折,解剖复位后用2.0 mm克氏针临时固定。术中透视显示骨折块解剖复位。一枚4.0mm空心螺钉固定于后内侧骨折块的内上缘,另一枚4.0mm空心螺钉固定于后丘,5孔桡骨远端T型接骨板抗滑固定于后内侧骨折块和后外侧骨折块。8孔1/3管状板固定外踝骨折。术中Cotton试验阳性,复位下胫腓联合后,1枚3.5mm皮质骨螺钉固定。Chaput骨折块未作处理。术中及术后X线摄片示骨折解剖复位,内固定物位置正确。术后,踝关节于背伸0~5°,短腿石膏后托或支具固定2周。2周去除外固定开始踝关节主动功能练习。术后8周,X线片示骨折解剖复位,骨折线模糊,内固定物在位(图3a,b)。术后第11周开始部分负重,第13周拔除固定下胫腓联合的螺丝钉,逐步开始完全负重。术后4个月复查:X线片示骨折解剖复位,骨折线消失,内固定物在位;左侧踝关节主动背伸较健侧差10°,跖屈差10°;踝关节无疼痛,肌力较健侧无明显减退。

临床讨论

周智勇医师:

经典的后踝骨折发生于低能量旋转外力所致的踝关节骨折;标准pilon骨折见于高能量轴向暴力;而后侧pilon骨折是旋转外力和轴向暴力共同作用的结果,属于中等能量的损伤。踝关节骨折中的后踝骨折源自下胫腓后韧带的牵拉,骨折块位于后外侧,常为单一的三角形骨折块,大小从关节外片状骨折到累及胫骨远端关节面矢状径的40%(图4a)。后侧pilon骨折中的后侧骨折块较大,累及内踝后丘(三角韧带深层起点)在内的整个胫骨远端后侧,分为后内侧骨折块和后外侧骨折块,后内侧骨折块腹侧有向近端塌陷的骨软骨骨折块(图4b)。后侧pilon骨折中的内踝骨折线并不是水平位而是冠状位,可合并内踝前丘骨折。后侧pilon骨折踝关节正位X线片示特异性的内踝内上方双层骨皮质影(图1a,c)。这是由于后内侧骨折块的骨折线延伸到胫骨远端骨骺和干骺端的内侧骨皮质,其移位后的边缘成像所致。水平位CT显示后侧骨折块分为后内侧骨折块和后外侧骨折块,矢状位CT示后内侧骨折块腹侧有向近端塌陷的骨软骨骨折块。

刘绍贤医师:

后踝骨折手术指征尚无统一标准。根据骨折块累及关节面范围(>20%~33%)、骨折块移位程度(>2 mm)、下胫腓关节(下胫腓联合分离)和踝关节(后侧半脱位)的稳定性、手术操作是否可能导致后踝骨折再移位(髓内钉固定合并后踝骨折的胫骨干中下段骨折,首先固定后踝骨折块以避免手术操作导致后踝骨折块移位)等因素综合考虑。后侧pilon骨折中的后内侧骨折块累及内踝后丘,内踝后丘和丘部间沟是三角韧带深层起点。距骨可能随着后内侧骨折块向后内侧再移位而继发向后内侧半脱位。为预防距骨后内侧不稳定必须固定后内侧骨折块,而不仅仅考虑骨折块累及关节面范围大小的手术标准。

张兴琳医师:

后侧pilon骨折的手术入路选择踝关节后外侧入路或踝关节后外、后内侧联合入路。选择后内侧入路目的是显露后内侧骨折块的内侧缘、抗滑接骨板固定于后内侧骨折块的内上缘和复位固定内踝前丘骨折。

陈旭医师:

患者俯卧位或健侧卧位(无内踝骨折)。俯卧位时,下肢有外旋倾向,拍摄踝关节侧位片时内旋下肢,处理内踝骨折时内旋下肢或屈曲膝关节。轻度屈膝,小腿下垫枕使足离开床面或使足悬垂于手术床外,允许术中背伸踝关节和借助于重力作用前移距骨复位后侧骨折块。背伸踝关节有助于复位踝关节后侧骨折块,但也可能产生距骨后移。踝关节后外侧入路最早用于骨移植。皮肤纵行切口可以位于外踝后缘与跟腱外侧缘之间的中线、位于外踝后缘内侧或位于跟腱外侧缘。切口远侧延伸至外踝尖,近侧长度取决于外踝骨折线高低。切口越接近外侧越容易显露外踝。切口位于外踝后缘与跟腱外侧缘之间的中线,容易损伤小隐静脉和腓肠神经,尤其是在关闭切口时容易缝扎。固定外踝的接骨板拟置于外侧时,皮肤切口需外移或延长。注意保护腓肠神经和小隐静脉,在跟腱和小隐静脉、腓肠神经之间显露、切开深筋膜和肌间隔,显露踇长屈肌和腓骨长短肌腱,自骨间膜和腓骨剥离踇长屈肌,向内侧牵开踇长屈肌,踇长屈肌肌腹常被移位的骨折块挫伤,向外侧牵开腓骨长短肌腱,显露后侧pilon骨折块和腓骨远端后内侧。保护下胫腓后韧带,由于下胫腓后韧带的存在,必须以下胫腓后韧带为铰链自内向外翻开后外侧骨折块显露深部塌陷的骨软骨骨折块。外踝骨折线靠近近侧(AO分型C型),外牵腓骨长短肌腱后经踇长屈肌和腓骨长短肌腱间隙显露外踝骨折;外踝骨折线靠近远侧(AO分型B型),向外侧游离皮瓣、内牵腓骨长短肌腱显露外踝骨折。经典的踝关节后内侧入路是沿胫骨远端内后侧缘和胫后肌腱走行方向朝着距舟关节方向作切口。沿切口切开屈肌支持带,向前方牵开胫后肌腱,向后方牵开趾长伸肌腱以保护血管神经束;或者向内踝前方牵开胫后肌腱和趾长伸肌腱,克氏针临时固定于内踝上维持牵开。切开胫后肌腱腱鞘基底和后侧关节囊显露骨折。术毕缝合屈肌支持带以防止胫后肌腱脱位。后侧pilon骨折采用后内侧切口的主要目的是显露后内侧骨折块的内侧缘、后内侧骨折块的内上缘放置抗滑接骨板和复位固定内踝前丘骨折,胫后肌腱常位于后内侧骨折块的中间,所以尽可能保留胫后肌腱腱鞘附丽且不游离胫后肌腱,仅切开后内侧骨折块内侧缘和近侧缘的骨膜。踝关节骨折中的后踝骨折块通常在外踝骨折解剖复位后借助于完整的下胫腓后韧带牵拉和踝关节背伸而间接解剖复位,所以踝关节骨折的复位顺序是首先复位固定外踝骨折。后侧pilon骨折中的后外侧骨折块也可以通过这一机制而解剖复位,但后内侧骨折块腹侧向近端塌陷的骨软骨骨折块阻碍后内侧骨折块通过韧带牵拉机制解剖复位;已复位固定外踝骨折的接骨板可能阻挡X线对后踝骨折复位程度的准确判断;所以后侧pilon骨折的复位顺序是首先复位后内侧骨折块腹侧向近端塌陷的骨软骨骨折块,之后复位后内侧骨折块、后外侧骨折块和外踝骨折。俯卧位,小腿远端垫枕,足踝悬空,重力的作用使距骨前移有助于复位后侧骨折块。经踝关节后外侧入路显露后侧骨折块后,小心保护骨折块上的骨膜,在后内侧骨折块和后外侧骨折块中间的骨折线切开骨膜,分别以胫后肌腱腱鞘和下胫腓后韧带为铰链将后内侧骨折块和后外侧骨折块翻向内侧和外侧(图5)。显露后内侧骨折块腹侧向近端塌陷的骨软骨骨折块。根据骨软骨骨折块的大小,给予解剖复位或切除。2.0 mm克氏针临时固定已复位的骨折块。如果单纯后外侧入路不能完全解剖复位后内侧骨折块,取后内侧入路解剖复位后内侧骨折块。复位固定后侧pilon骨折后大多数外踝骨折随之复位,通过同一个后外侧切口复位固定外踝骨折。踝关节骨折中的后踝骨折块通常采用前后位螺钉固定;而后侧pilon骨折中的后内侧骨折块避免前后位螺钉固定,因为胫后肌腱经过后内侧骨折块的中间,突出的钉尖可刺激胫后肌腱,螺钉过短降低了固定强度。采用既保护血运,又提供稳定的三点固定方式固定后内侧骨折块:即2.7 mm 1/4管状接骨板抗滑固定于后内侧骨折块的内上缘,1枚螺钉或接骨板抗滑固定于后内侧骨折块的外侧缘,1枚螺钉固定后丘(图6)。选择2.7 mm或3.5 mm接骨板螺钉抗滑固定后外侧骨折块。前丘骨折采用1枚2.4 mm或2.7 mm拉力螺钉固定。外踝骨折使用1/3管状板固定,旋后外旋型接骨板放置于后侧或外侧,旋前外旋型接骨板放置于外侧。

邹德鑫医师:

术后短腿石膏后托或支具固定踝关节于背伸0~5°2周。2周去除外固定开始踝关节主动功能练习。根据骨折愈合情况,术后第9~11周开始部分负重,第13周拔除固定下胫腓联合的螺丝钉,逐步开始完全负重。

蒋协远医师 总结:

2000年Hansen首次提出后侧pilon骨折的概念。在受伤机制、创伤解剖、影像表现、手术指征、手术入路、复位方式、内固定和预后等方面,后侧pilon骨折有别于经典踝关节骨折中的后踝骨折。

①受伤机制:介于低能量旋转外力所致踝关节骨折和高能量轴向外力所致标准pilon骨折之间的一类中等能量损伤

②创伤解剖:后踝骨折块较大,累及内踝后丘在内的整个胫骨远端后侧,分为后内侧骨折块和后外侧骨折块,后内侧骨折块腹侧有向近端塌陷的骨软骨骨折块;可合并内踝前丘骨折、下胫腓前结节骨折或下胫腓联合分离

③影像表现:踝关节正位X片显示特异性的内踝内上方双层骨皮质影

④手术指征:必须固定稳定后内侧骨折块,而不仅仅考虑骨折块累及关节面范围大小的手术标准

⑤手术入路:常选择踝关节后外、后内侧联合入路

⑥复位顺序:依次复位塌陷的骨软骨骨折块、后内侧骨折块、后外侧骨折块和外踝骨折骨折块

⑦内固定:多选择后侧抗滑接骨板固定

⑧预后:目前尚无大样本的长期随访。我们还需更多病例、更长时间、更详细随访的临床研究来优化低能量踝关节骨折、中等能量后侧Pilon骨折和高能量标准pilon骨折的诊断和治疗。

↑图 1a

↑图 1b

↑图 1c

↑ 图 2a

↑ 图 2b

↑ 图 2c

↑ 图 2d

↑ 图 2e

↑ 图 3a

↑ 图 3b

↑ 图 4a

↑ 图 4b

↑ 图 5ab

↑ 图 6

图 1 术前左踝关节正侧位X线片和CT重建,箭头所示内踝内上方双层骨皮质影(a,c)

图 2 术前CT,显示后侧骨折块分为后内侧骨折块和后外侧骨折块(a,b),后内侧骨折块累及内踝后丘,后丘骨折线呈冠状位(c),箭头所示后内侧骨折块腹侧有向近端塌陷的小块骨软骨骨折块(d),Chaput骨折块(e)

图 3 术后8周X线片示骨折解剖复位,骨折线模糊,内固定物在位

图 4 踝关节骨折中的后踝骨折和后侧pilon骨折的区别。踝关节骨折中的后踝骨折块位于后外侧,常为单一的三角形骨折块(a);后侧pilon骨折中的后侧骨折块较大,累及内踝后丘在内的整个胫骨远端后侧,分为后内侧骨折块和后外侧骨折块,后内侧骨折块腹侧有向近端塌陷的骨软骨骨折块(b)

图 5 经踝关节后外侧入路显露后侧骨折块(a),分别以胫后肌腱腱鞘和下胫腓后韧带为铰链将后内侧骨折块和后外侧骨折块翻向内侧和外侧,显露并复位后内侧骨折块腹侧向近端塌陷的骨软骨骨折块(b)

图 6 在后内侧骨折块的上缘、外侧缘和后丘三点固定方式固定后内侧骨折块,避免内固定物激惹胫后肌肌腱;2.7 mm或3.5 mm接骨板螺钉抗滑固定后外侧骨折块

注:4a、图4b、图5ab和图6出处

Weber M.Trimalleolar fractures with impaction of the posteromedial tibial plafond: implications for talar stability. Foot Ankle Int, 2004, 25(10):716-727.

原文刊载于《中华创伤骨科杂志》2013年12月第15卷第12期

作者单位:

山东烟台市烟台山医院创伤骨科:周智勇、陈旭、刘绍贤、张兴琳、邹德鑫

北京积水潭医院 创伤骨科:蒋协远

作者简介

周智勇

山东烟台市烟台山医院创伤骨科 主任医师

医学博士

擅长关节内骨折、复杂创伤和创伤并发症的诊治

对肩关节后脱位、肱骨小头骨折、Essex-Lopresti损伤、股骨头骨折、后侧Pilon骨折等创伤骨科少见病也有深入的研究

已发表SCI和中华级论文19篇

主译《肘关节创伤治疗进展》

分享到: