上海瑞金足踝完成全国首例踝关节INBONE假体翻修STAR假体术

2016-07-27   文章来源:上海交通大学医学院附属瑞金医院足踝外科 杨崇林    我要说

  2016725日,上海交通大学医学院附属瑞金医院足踝外科团队再获新突破,成功完成国内大陆地区首例踝关节STAR假体置换术后INBONE人工全踝关节假体翻修术,也是瑞金医院足踝外科团队完成的第3INBONE全踝关节假体置换术。


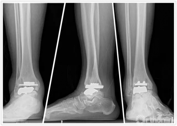
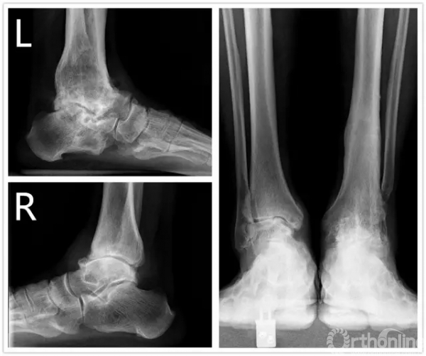
  方老伯,今年67岁,20067月他因左侧踝关节严重骨关节炎到上海瑞金医院就诊,当时刘津浩副主任考虑其踝关节和距下关节都已经出现严重的骨关节炎,无法保留关节,于是对其进行了胫距跟双关节融合手术。手术后方老伯恢复良好,如期达到骨性融合。2年后,方老伯右侧踝关节开始出现肿胀疼痛,日夜反复发作,直到20102月,他无法忍受,再来医院就诊,拍片后发现他右侧踝关节也出现明显骨关节炎。此时正值瑞金医院足踝外科全面发展时期,足踝外科的新理念、新技术已经引入瑞金医院,当时学科带头人徐向阳主任认为该患者左侧踝关节已经行融合手术,右侧不适宜再行融合手术。于是徐主任主刀、刘津浩副主任和朱渊医师担任助手,顺利为方老伯进行了踝关节STAR假体置换术,手术后保持随访康复良好,又恢复了往常的劳作。


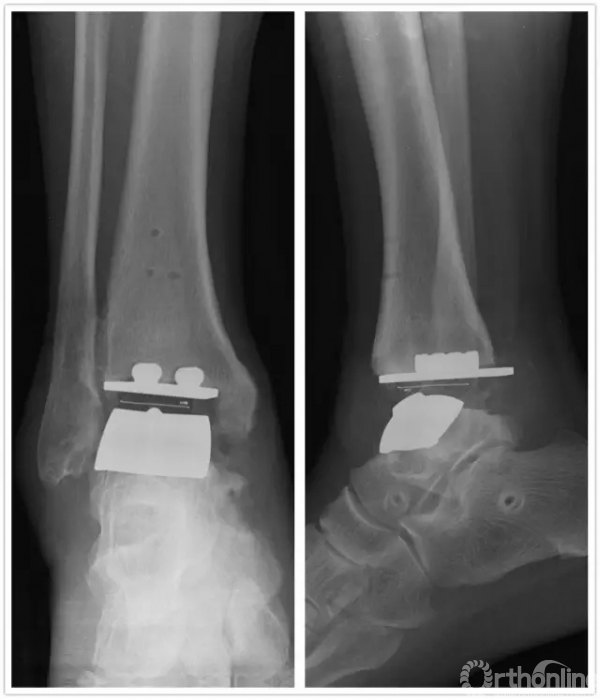
  直到1年前,方老伯感觉右侧踝关节又开始出现肿胀疼痛,劳作后加重,最近越来越重。20167月再来徐主任门诊复查,徐主任考虑踝关节假体出现了松动,距骨有了塌陷,关节力线有所偏移。鉴于目前瑞金医院足踝外科已经开展踝关节INBONE假体置换术,积累了一定的经验,于是徐主任向患者及家属解释病情,建议再行踝关节翻修术。


  众所周知,全踝人工关节置换术能够有效保留踝关节的活动度,帮助患者最大程度地保留踝足部的功能,大大提高生活质量。

  2016725日上午瑞金医院北院1号手术间手术紧张有序地进行着,由徐向阳主任主刀,胡牧、郭常军、徐财军医师担任助手,张海军医师负责术中透视,苏丹为器械护士,施雨婷为巡回护士,杨利英护士长全程协调,麻醉师王智渊保障手术顺利进行,所有人通力协作、配合默契。同时在技术人员协助下实现手术实况转播,其他医生在病区医生办公室观摩手术。


  手术中首先沿原手术切口进入,保护神经血管肌腱组织,清理踝关节假体周围骨赘,取出原关节假体,将患足置于专门的定制支架中,在透视下反复调整足踝及导针位置,力求最高精确度。在导板的定位下进行胫骨远端和距骨截骨,试样假体大小,置入合适匹配的踝关节假体及垫片完成全踝关节假体的置换,然后再行距下关节融合术。历经4小时,手术过程非常顺利,术后患者恢复良好,手术取得圆满成功。

  瑞金医院足踝外科团队的临床和科研能力一直处于国内领先地位,将锐意进取,开拓创新,继续引领国内足踝外科的发展。同时,瑞金医院北院骨科作为瑞金足踝外科团队的重要力量,将继续发挥生力军的作用。



分享到: