比较纱布填塞术与造影栓塞术治疗骨盆骨折大出血的效能
2015-05-13 文章来源:山东大学附属省立医院 李庆虎 周东生 杨永良 李连欣 王国栋 王永会 我要说
【摘要】目的 比较纱布填塞术与造影栓塞术在骨盆骨折大出血治疗中的效能。方法 回顾性分析2004年4月至2012年4月治疗43例骨盆骨折大出血的患者资料。按照骨盆骨折的救治流程进行救治,其中26例应用纱布填塞术(填塞组),17例应用造影栓塞术(栓塞组)。填塞组26例,男15例,女11例;平均年龄41.6岁;车祸伤12例,坠落伤8例,砸伤6例;骨盆骨折Tile分型:B型16例,C型10例,其中4例为开放性骨盆骨折,5例伴有腹部脏器损伤。栓塞组17例,男10例,女7例;平均年龄39.2岁;车祸伤9例,坠落伤5例,砸伤3例;骨盆骨折Tile分型:A型2例,B型11例,c型4例。比较两组患者的创伤严重程度评分(ISS)、手术时间、输血量、并发症等。结果 填塞组平均ISS评分为(52.4±15.3)分,栓塞组为(40.6_+12.4)分;填塞组平均手术时间为(42.0±2.1)rain,栓塞组为(86.0±3.6)min;填塞组术后24h内输血量平均为(6.O±1.6)U,栓塞组为(10.0+2.1)u;填塞组ICU住院时间平均为(8.0+3.6)d,栓塞组为(11.0+1.8)d;以上指标两者比较差异均有统计学意义。填塞组术前输血量平均为(15.0±4.7)U,栓塞组为(13.0+5.4)U,两者比较差异无统计学意义。填塞组2例行二次纱布填塞止血,栓塞组6例行二次纱布填塞治疗。填塞组术后5例死亡,无因大出血而死亡的患者;栓塞组术后4例死亡,1例因大出血而于术后32h死亡。填塞组3例患者术后7—9d发生深部感染,其中1例于术后第16天死亡,另2例与栓塞组1例(术后第9天发生浅表感染)经换药处理后好转。结论 纱布填塞术较造影栓塞术手术时间短,止血效果确切,可明显减少术后输血量、ICU住院时间及术后的死亡率,更适用于我国国情及基层医院的骨盆骨折出血的抢救。
【关键词】骨盆;骨折;栓塞,治疗性;内填塞
骨盆骨折治疗十分棘手,死亡率高,尤其是伴血流动力学不稳定的骨盆骨折患者死亡率可高达40%-60%,其死亡时间主要发生在伤后24h内,而导致死亡的主要原因是大出血。因此,选择正确、及时的止血方法对挽救患者生命非常重要。
目前,临床常用的止血方法包括血管造影栓塞术和纱布填塞术。血管造影术最早应用于1972年,Margolies等用来寻找出血动脉;1978年,VanUrk等曾应用造影栓塞术抢救3例骨盆骨折大出血休克患者。血管造影栓塞术的主要工作原理为将栓塞材料送入靶血管内,闭塞局部血管以达到止血的目的。该方法对于动脉性出血止血效果确切,但是其缺点也很明显,Niola等明确指出栓塞术的缺点是手术准备时间长,需要专门的介入没备和专门的专业技术人员进行操作。
纱布填塞术于1926年由Logothetopulosb首先提出。而将该方法应用于骨盆骨折大出血治疗应追溯到20世纪90年代,Pohlemann等首先报告。随后,Ertel等报告采用纱布填塞术治疗骨盆外固定术后盆腔出血。纱布填塞术主要依靠纱布持续压迫血管的方法达到止血的目的。该方法不仅对于静脉丛及骨折断端的止血效果确切,而且对于中小动脉亦有很好的止血效果。由于其手术准备时间短,应用范围广,所以尤其适用于血流动力学不稳定的患者。
由于目前文献鲜见纱布填塞与造影栓塞术治疗骨盆骨折大出血效能的比较研究,所以本研究通过回顾性分析2004年4月至2012年4月分别应用纱布填塞与造影栓塞术治疗骨盆骨折大出血患者资料,并对两组患者的创伤严重程度评分(injuryse—verityscore,ISS)、手术时间、术前及术后24h内输血量、并发症等进行对比研究,目的是:(1)总结使用纱布填塞术与造影栓塞术止血的特点及疗效;(2)比较两种止血方法的效能。
资料与方法
一、一般资料
2004年4月至2012年4月,我院收治43例骨盆骨折大出血的患者,其中26例应用纱布填塞术(填塞组)、17例应用造影栓塞术(栓塞组)止血。
根据纱布填塞术及造影栓塞术各自的适应证分组。纱布填塞术主要适用于:(1)经过4~6h的输血、输液及骨盆容积控制等止血治疗后血流动力学仍极不稳定的患者,(2)开放性骨盆骨折患者,(3)需要剖腹探查的患者;该方法主要针对盆腔静脉丛以及骨折断端的出血,对于中小动脉的出血亦有一定的止血作用。造影栓塞术主要适用于:经液体复苏后血流动力学较稳定的患者;该方法主要针对骨盆骨折中等量的出血,通过栓塞出血动脉止血,适合动脉性出血。
表1填塞组与栓塞组两组患者的一般信息

填塞组26例,男15例,女11例;年龄26—54岁,平均41.6岁。致伤原因:车祸伤12例,坠落伤8例,砸伤6例。骨盆骨折Tile分型.:B型16例,C型10例;其中4例为开放性骨盆骨折,5例伴腹部脏器损伤。ISS评分36—68分,平均56.4分。
栓塞组17例,男10例,女7例;年龄2l~49岁,平均39.2岁。致伤原因:车祸伤9例,坠落伤5例,砸伤3例。骨盆骨折Tile分型:A型2例,B型11例,C型4例。ISS评分23~52分,平均为42.6分。
对两组患者的性别、年龄、致伤原因、骨折类型等行统计学分析,结果两组患者一般资料比较,差异均无统计学意义,具有可比性(均P>0.05,表1)。
二、救治过程
(一)初期评估及急救复苏
本组患者人院时均伴有失血性休克,收缩压<90mmHg,均根据骨盆骨折急救流程进行治疗,即先抢救复苏,而后控制出血及临时固定骨盆,最后处理合并伤及骨折。
4例开放性骨盆骨折患者,行急症手术,采用纱布填塞伤口,归属填塞组。所有患者人院后均行腹部B超检查,对5例伴腹部脏器损伤(2例肝破裂,2例脾破裂,1例肠破裂)患者,急行剖腹探查术,术中行纱布填塞止血,此5例患者归属填塞组。其余腹部B超检查阴性患者均给予复苏及输血、输液抗休克治疗,先输入晶体液3000ml,而后按1:1输入浓缩红细胞和血浆,并且每输注浓缩红细胞5—10U,就输注血小板1个治疗量。骨盆骨折应用床单或骨盆束缚带置于股骨大转子水平以缩小骨盆容积。抢救过程中持续监测患者心率、呼吸、血压、血氧饱和度、血红蛋白量等。
经过4—8h,平均6h的抗休克治疗,26例患者收缩压仍低于90mmHg,故行纱布填塞止血;17例患者收缩压可维持在90mmHg以上,故行造影栓塞止血。
(二)止血及骨盆骨折治疗
1.填塞组:气管插管全麻后,患者取仰卧位,先进行骨盆外固定架固定,以缩小骨盆容积。
对于剖腹探查患者,直接于剖腹探查切口进行填塞,填塞物直接压迫髂内动脉分支与骶前静脉丛(图1a一1c)。对于非剖腹探查患者,根据骨折类型判断出血部位,前环损伤出血则在耻骨联合上方约2cm处做一长约8em的横切口,将填塞物置于耻骨后方进行压迫止血。而对于后环损伤导致的出血则取髂腹股沟切口,逐层分离两侧腹膜外间隙至两侧骶髂关节前方,注意保持腹膜完整。将填塞物(无菌纱布或绷带)于腹膜外间隙,置于骶前、骶髂关节直至耻骨后方(图1d,1e)。填塞物直接压迫髂内动脉分支与骶前静脉丛。对侧同样进行填塞。填塞完毕后,连续缝合法逐层关闭皮下组织与皮肤。





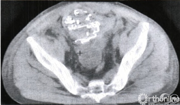
图l纱布填塞术止血手术及示意图a竹Z}Ir位x线片示Tile分型的B型骨盆骨折b急诊行纱布填塞术进行止血c示意图示取腹部正中切ICl(也可取耻骨上横切口和髂腹股沟切口),牵开腹膜,在腹膜外进行填塞d示意图示纱布填塞的位置:耻骨后方、髂窝及骨盆环与腹膜之间的腹膜外间隙e填塞术后行CT检查示纱布填塞于耻骨后方
本组患者5例通过剖腹探查切口填塞,12例行耻骨上方横切口填塞,9例行髂腹股沟切口填塞。
对于骨盆骨折的处理,所有患者均行外固定架固定,其中9例耻骨支骨折患者一期行内固定治疗;l0例待病情稳定后7d,接受二期钢板内固定治疗;7例以外固定架固定为终极固定。
2.栓塞组:局麻后,患者取仰卧位,采用Seldinger法行股动脉穿刺插管(用带芯穿刺针穿透血管,拔出针芯,缓慢向外退针,至血液从针尾喷出,迅速插入导针后,拔出穿刺针,通过导丝引入导管至股动脉)。将5~7F猪尾导管置于腹主动脉分叉上2—3cm,注入对比剂造影,而后更换Cobra导管选择性地行髂内动脉造影,此时可发现动脉出血部位造影剂外渗,形成“冒烟”征(图2a~2c)。选择髂内动脉主干或分支动脉注入明胶海绵颗粒进行栓塞,再次造影复查,如出血征象消失则停止注入栓塞剂(图2d,2e)。栓塞组12例行髂内动脉主干栓塞,1例行骶正中动脉栓塞,4例行髂内动脉分支血管栓塞(闭孔动脉1例,臀上动脉3例)。





图2造影栓塞术止血手术及示意图a骨盆正位x线片示Tile分型A型骨盆骨折b动脉造影示意图示左侧髂内动脉的一个分支出现“冒烟”征,证明有动脉的活动性出血e行髂内动脉造影术示髂内动脉分支出血,典型的“冒烟”症,A为髂总动脉,B髂外动脉,c髂内动脉,箭头示出血点d示意图示注入明胶海绵.等栓塞材料行髂内动脉栓塞,栓塞后再次造影检查示动脉出血征象消失e行墨多髂内动脉栓塞术,再次造影示出血停止,箭头示髂内动脉栓塞部位
对于骨盆骨折的处理,栓塞术后5例骨折严重患者行外固定架固定,其中4例于病情稳定后再次接受内固定治疗,1例以外固定架为终极固定;6例患者病情稳定后7d直接行内固定治疗;其余6例中有2例行骨盆束带处理,4例以骨牵引方式治疗。
三、术后处理
术后所有患者均转入ICU进行密切观察和治疗,并使用广谱抗生素预防感染1~3d,对于开放性骨盆骨折和纱布填塞者,根据患者的情况可适当延长抗生素使用时间。实时监测患者的呼吸、心率、血压、血氧饱和度、血红蛋白量、伤口及引流管的渗血情况。
四、统计学方法
应用SPSS17.0统计软件(SPSS公司,美国)进行统计学分析。两组患者年龄、ISS评分、手术时间、术前及术后24h内输血量、ICU住院时间比较采用成组设计t检验;两组患者性别、致伤原因、骨折类型、术后二次止血率、术后死亡率及术后感染率比较采用卡方检验。检验水准OL值取双侧0.05。
结果
一、一般结果
ISS评分,填塞组为36~68分,栓塞组为23~52分,两组比较差异有统计学意义(t=2.657,P=0.006,表2)。手术时间,填塞组为32—108min,栓塞组为63~126min,两组比较差异有统计学意义(t=7.684,P=0.001,表2)。术前输血量,填塞组为8—20u,栓塞组为6—18u,两组比较差异无统计学意义(乒1.286,P=0.103,表2)。术后24h内输血量,填塞组为2~lOU,栓塞组为2~12U,两组比较差异有统计学意义(t=7.079,P=0.000,表2)。ICU住院时间,填塞组为2~12d,栓塞组为2一v16d,两组比较差异有统计学意义(t=2.876,P=0.003,表2)。
表2填塞组与栓塞组两组患者的手术及术后情况

二、骨折愈合情况
填塞组21例、栓塞组1l例存活患者全部获得随访。填塞组随访时间9—26个月,平均18个月;骨盆骨折均愈合,愈合时间3—8个月,平均3.9个月。栓塞组随访时间6~24个月,平均16个月;骨盆骨折均愈合,愈合时间3~6个月,平均3.6个月。
三、再手术及死亡情况
填塞组2例患者分别在术后第2天和第4天取出纱布后再次出血,遂行纱布填塞术,再手术后第3天取出纱布,未再出血,再止血率为7.7%(2/26)。栓塞组3例患者于术后24h内、3例于术后1—2d再次出血,遂给予纱布填塞,再手术后1—3d取出纱图未再出血,再止血率为35.3%(6/17)。两组患者再止血率比较,差异有统计学意义(X2=5.171,P=0.023,表2)。
填塞组5例患者死亡,其中2例分别于术后第9天、第12天因多器官功能衰竭而死亡、1例开放性骨盆骨折患者因重度感染于术后第16天死亡、1例因重度颅脑损伤于术后第2天死亡、1例因肺栓塞于术后第26天死亡;死亡率为19.2%(5/26);无一例因大出血而死亡。栓塞组4例患者死亡,其中1例因大出血于栓塞术后32h死亡、1例因肾功能衰竭于术后第16天死亡、2例因多器官功能衰竭于术后第14天和第9天死亡;死亡率为23.5%(4/17)。两组患者的死亡率比较,差异无统计学意义(X2=0.115,P=0.735,表2)。
四、并发症情况
填塞组2例患者分别于术后第5天、第8天继发多器官功能衰竭,1例于术后第26天并发肺栓塞。栓塞组1例患者于术后第7天发生肾功能衰竭,2例于术后第6天、第3天发生多器官功能衰竭。
填塞组3例患者于术后7~9d发生深部感染,其中2例为开放性骨盆骨折患者。3例患者中,l例开放性骨盆骨折患者因重度感染而于术后第16天死亡,另2例通过清创、换药等处理好转,感染率为11.5%(3/26)。栓塞组1例患者于术后第9天发生浅表感染,经2周换药处理后感染控制并好转,感染率为5.9%(1/17)。两组患者术后感染率比较,差异无统计学意义(X2=0.390,P=0.532,表2)。
讨论
一、纱布填塞术与造影栓塞术手术时间比较
文献报道,因造影栓塞需要专门的介入设备和专门的专业技术人员操作,故其手术时间较长。Osborn等报告造影栓塞手术的时间可超过130min。而纱布填塞术操作简便,手术时间短,不需要专门的设备和技术人员,一名骨科医生只要掌握了基本的操作方法,便可快速进行填塞止血。本研究结果显示栓塞组的平均手术时间为(86.0±3.6)min,而填塞组为(42.0±2.1)min,两组比较差异有统计学意义。
二、纱布填塞术与造影栓塞术止血效果及输血量比较
栓塞组术后6例再次通过填塞止血,再止血率为35.3%(6/17);而填塞组2例再次通过填塞止血,再止血率为7.7%(2/26)。
对于输血量,术前液体复苏治疗阶段,两组患者的输血量分别为(15.0±4.7)U和(13.0±5.4)U,两组比较差异无统计学意义,而术后24h内的输血量分别为(6.0±1.6)U和(10.0±2.1)U,两组比较差异有统计学意义。这说明术后24h内的输血量,填塞组明显低于栓塞组,即纱布填塞的止血效果优于造影栓塞术。其原因可能是造影栓塞术主要是栓塞动脉,只阻止动脉出血,而对静脉源性出血及骨折断端的出血没有作用。另外,解剖学研究显示,骨盆骨折导致的出血主要以盆腔静脉丛和骨折断端的渗血为主,约占85%,而直接动脉的损伤出血只占很小一部分。相比较而言,纱布填塞术既可有效压迫静脉丛和骨折断端的渗血,又可压迫中小动脉的出血,同时还可通过减小骨盆的容积来防止骨盆的白吸效应,故具有很好的止血效果。
三、纱布填塞术与造影栓塞术ICU住院时间比较
填塞组患者的ICU住院时间平均为(8.0±3.6)d,明显低于栓塞组(11.0±1.8)d,即填塞组患者术后生命体征恢复平稳的时间明显短于栓塞组患者。这说明纱布填塞术的止血作用优于造影栓塞术。
四、纱布填塞术与造影栓塞术死亡率及术后感染率比较
Evers等报告栓塞后骨盆骨折患者的死亡率为88.9%,Suzuki等报告栓塞后骨盆骨折患者死亡率为50%左右。Totterman等报告18例骨盆骨折患者填塞术后30d的死亡率为28%,Ertel等报告14例患者填塞术后死亡率为29%,Burlew等报告75例患者填塞术后死亡率为21%。本研究显示,填塞组患者的死亡率为19.2%(5/26),栓塞组为23.5%(4/17)。两组死亡率比较,差异无统计学意义;但填塞组死亡原因无一例为大出血造成。
Burlew等报告75例患者中11例发生感染,感染率为15%,其中3例为开放性骨折,二次填塞后感染率明显升高到47%。而Totterman等报告术后盆腔感染率为33%(6/18),其中5例为GustilloIlI型开放性骨折。本研究显示,填塞组术后3例发生感染,感染率为11.5%(3/26),其中2例为开放性骨盆骨折;而栓塞组1例发生术后感染,感染率为5.9%(1/17)。两组感染率比较,差异无统计学意义,说明相对于微创造影栓塞术,纱布填塞术并没有增加患者术后感染的概率。
综上所述,相对于造影栓塞术,纱布填塞术对于骨盆骨折大出血的止血效果确切,且不需要专门的介入室、介入设备及专业技术人员参与,准备时间及手术时间短,术后输血量少,术后ICU住院时间短及死亡率低,非常适合骨盆骨折大出血的救治及我国目前国情,适用于基层医院的应用。
参考文献(略)



京公网安备11010502051256号