儿童脊柱嗜酸性肉芽肿保留骨骺切除手术的临床初步研究
2015-04-14 文章来源:第四军医大学西京医院骨科 石 磊,王 臻,郭 征,李 靖,栗向东,范宏斌,付 军,李晓康,陈国景,吴智钢 我要说
嗜酸性肉芽肿(eosinophilic granuloma EG)是一种特殊类型的组织细胞(Langerhans 细胞)增生的良性瘤性病变,可累及全身所有骨,但好发于扁骨和脊柱骨[1,2]。由于其临床发病率较低,特别是发病在脊柱时,由于其椎体非特异性的溶骨表现,使其难以明确诊断,容易造成误诊,需要组织活检后才能确诊。同时由于其好发于儿童及青少年,正是骨骼发育阶段,治疗不当可能引发脊柱畸形,目前对其治疗仍然存在争议,现将我科2008-2013年收治的6例年龄14岁以下的脊柱EG病例及我科的治疗经验及随访结果汇报如下。
1资料与方法
1.1 基本资料
本组6例患儿,男5例,女1例。年龄6~13岁,平均9.8岁。单发病变5例,多发病变1例,总共累椎体12处,分布如下:颈椎2处,胸椎5处,腰椎5处。 临床主要表现为局部持续或间歇性疼痛,夜间疼痛有所加重。X线表现为椎体的溶骨性缺损,椎体压缩,成“扁平椎”,甚至消失呈线形表现,临近椎间隙无明显改变。1例腰椎病变患儿并发一侧椎弓根破坏,1例T11、12病变并发后凸畸形。所有患儿均无脊髓损伤症状,上下肢感觉运动情况良好。
1.2 治疗方法
所有患儿在术中行活检确定为嗜酸性肉芽肿后,所有患儿均行后路经椎弓根保留骨骺的肿瘤切除植骨内固定术。具体手术方法如下:取病变破坏椎体严重侧椎弓根进入椎体行刮除,注意尽可能保留上下小关节突。单侧椎弓根入路难以彻底刮除时,可行双侧椎弓根入路,尽可能将病变组织去除彻底,注意小心保留病变椎体上下终板的骨骺,而后反复冲洗,蒸馏水浸泡。行椎体内充分植骨(人工骨),而后在相邻节段置入螺钉行内固定,安装连接棒后,在锁死前,轻度过撑,为病变椎体留下一定的生长空间。术后患儿接受长春新碱单药化疗,连续4个月每月1次,剂量1mg/m2。
1.3 统计分析
所有检测结果均采用SPSS13.0 处理,统计数据采用组内配对t检验方法,当P<0.05时认为具有统计学意义。
2结果
所有患儿随访1年~4年,平均随访2.3年,所有患儿均没有出现局部复发,椎体局部疼痛症状在术后2周内基本消失,VAS评分由术前的5.5±1.2分,术后2周下降至1.3±0.4分,P<0.05。对于发生脊柱侧弯的1例患者,通过矫形及充分植骨,患者畸形无复发。对于采用后路保留椎体骨骺,肿瘤刮除植骨的患儿,其由于溶骨破坏发生压缩的椎体,在术后其高度逐渐恢复(图1-3),其中1例胸椎病变伴发后凸畸形的患儿,随着病变椎体高度的恢复畸形也得到了矫正。根据远期随访结果,扁平椎椎体前缘高度由术前的0.4±0.1cm,术后1年随访恢复到1.1±0.2cm,P<0.05,差异具有统计学意义。

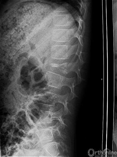
图1 男性,7岁,腰部疼痛,术前腰椎侧位片,L2椎体嗜酸性肉芽肿病变,椎体严重压缩变形。

图 2 术后腰椎侧位片,L2椎体病变刮除彻底,植骨充分,内植物位置良好。

图3 术后1年腰椎侧位片,L2椎体高度部分恢复。
3讨论
嗜酸性肉芽肿(EG)是网状内皮系统非脂质沉着症中的一类疾病,是一种病因不明的以组织细胞异常增殖为特征的具有自限性的良性瘤样病变。可发生于任何年龄,但80%的患者均发生在10岁以前的儿童[3],其在脊柱的发生率约为6.5%-35%[4,5]。研究显示其最常累及颈胸椎[1],脊椎病变通常为单发[3,6],表现为脊柱椎体的溶骨性破坏,出现扁平椎[7], 并且大都不累计椎旁的软组织,但也有少数病损侵袭性强,可能侵犯椎体附件及周围软组织[8, 9]。
对于EG的诊断存在一定的困难,由于其在临床上通常表现为无规律的颈背部疼痛,同时影像学上表现为溶骨样改变,椎体塌陷,扁平椎等非特异性的改变[10],因而其与尤文肉瘤,骨肉瘤,淋巴瘤,动脉瘤样骨囊肿存在着一定鉴别的困难,无论是穿刺活检还是切开活检明确诊断都对下一步治疗至关重要。对于症状较重的患者,笔者推荐切开活检,一方面可以确实获得足够量的标本,另一方面可以对病灶进行直接处理。
目前对于儿童脊柱EG治疗的观点并不统一,不同学者采取的治疗方法各不相同,主要是保守治疗,手术治疗,放疗及化疗。部分学者认为[11],因为EG有一定的自限性,对于没有脊柱畸形,同时脊柱稳定性良好,又没有出现神经症状的患者,应当采取保守治疗。而对于已经有脊柱畸形或者出现神经症状患者,以及那些通过保守治疗,病变加重,疗效差的患者应当采取手术治疗[12]。Tanaka[13]和Womer[14]等报道了使用甲强龙和氨甲喋呤药物治疗脊柱EG,患者疼痛消失,治疗效果满意,证实小剂量化疗安全有效。Hung等[15]报道了使用放疗治疗脊柱EG,3男3女,平均年龄5.3岁,2颈椎,2胸椎,2腰椎病损,通过接受低剂量放疗治疗,预后情况良好,也没有并发椎体发育异常等并发症,取得了令人满意的效果。
笔者认为,单纯使用一种方法,均不能很好的治疗脊柱EG,对于症状轻微无脊柱相关问题的患儿,笔者赞成在活检确定诊断后,行制动观察保守治疗的同时,辅以化疗(长春新碱,1mg/m2, 1次/月,连续至少4个月)。而对于症状较重,患儿疼痛明显,影响睡眠及日常生活,诊断不明确的患儿,笔者推荐手术治疗。手术不但能直接明确诊断,并能在诊断明确后实施肿瘤的绝大部分切除,而后重建脊柱稳定性,可以减少因病变进展而导致的脊柱畸形。而对于那些已经出现脊柱畸形的患者,笔者认为应该积极手术,通过实施手术对畸形经行早期有效的矫正,从而减少远期畸形的进展。对于这类患者笔者仍然推荐在术后行化疗治疗,以对术中可能残留的病变组织予以杀灭。对于放疗治疗,虽然低剂量放疗对于EG有很好的治疗效果并被很多学者所推崇[16],但是其存在放疗后继发恶性肿瘤的潜在风险,Greenberger JS[17]等报道利用低剂量放疗治疗EG时,89人中有4人出现了放疗后继发恶性肿瘤,因此除了反复局部复发的EG外,笔者不推荐采用。
对于手术方式的选择,部分学者建议对于这样的病人应该采用病灶边缘切除或者根治性切除后,行植骨融合内固定术[18]。在早期治疗EG的过程中,笔者也多采用类似的手术方式,通过前路、侧前方手术,充分显露病变椎体,彻底的清除病变组织,充分植骨,确实固定,最终椎体与邻近节段融合,局部未见EG复发,脊柱畸形矫正,取得了比较满意的疗效。
但是对于处于生长期的儿童,过早的对脊柱进行融合,肯定会在不同程度上影响脊柱的正常发育,同时造成融合节段邻近的退变加快。是否可以在治疗的同时,尽可能保留脊柱高度,不行融合,从而减少脊柱融合对生长的影响。根据前期对于儿童肿瘤四肢保肢手术的经验,通常情况下骨骺对于肿瘤而言是一道天然的屏障,可以在一定程度上限制肿瘤的生长。如果肿瘤已经侵犯骨骺,在肿瘤完整切除的基础上可以考虑部分保留骨骺,但是这类手术要严格掌握手术的适应症,综合评判肿瘤的性质,骨骺破坏的程度,以及手术后患者获益的大小等因素,否则会造成肿瘤复发转移等严重后果。如果保留骨骺肿瘤切除手术成功,那么保留的骨骺可以使肢体能够随年龄增长而进一步长长,获的较好的肢体功能[19]。随着对EG认识的深入和治疗经验的积累,根据其自身限制性良性病变的特点,很少累及终板,破坏椎间隙,椎体的骨骺能够保留。基于此笔者开始尝试采用后路经椎弓根刮除椎体病变,通过囊内切除可以达到绝大部分的病变刮除,在刮除过程中,注意保护上下椎板,从而保留椎体骨骺,而后病变椎体内充分植骨,而非椎间及后外侧为了融合脊柱植骨,不行邻近节段的融合,取得了满意的疗效。根据对脊柱椎体骨骺的研究表明,其主要分布于两侧的椎弓前部,以及椎体中央。椎体骨化中心的上下方为软骨终板,通过软骨增殖可使椎体高度增加。有研究表明,在保留软骨终板的情况下,终板骨骺有一定的生长代偿能力,可以恢复椎体的高度,特别是在儿童和青少年时期[20]。因而在病变切除时,只要注意保护好终板及上下小关节突,那么被病变侵蚀的椎体就有可能恢复。同时,在行内固定处理时,通过轻度过撑,为病椎术后生长预留了空间,有利于病椎术后高度的恢复。基于此,笔者提出了保留椎体骨骺脊柱肿瘤切除手术,在本研究中一共实施6例,3例胸椎,3例腰椎,从随访效果来看,均获得了满意的疗效,其中1例胸椎病人,后凸畸形也得到了矫正。但是其中也有一位患者,因为椎体上终板的骨骺已经被肿瘤破坏,术后在随访过程中,发现虽然椎体的高度有所恢复,但是其椎体上半部分高度并没有得到改善(图4-6)。通过对病变椎体骨骺的保留,使其保留了恢复病变椎体高度的能力,同时在手术过程中邻近节段的轻度过程,为病变椎体高度恢复留下了空间。这一手术技术,对于治疗儿童脊柱肿瘤,特别是像EG这样的良性病变,有很好的推广价值。

图4 患儿女,9岁,背部疼痛不适,术前胸椎侧位片,T8和T9椎体嗜酸性肉芽肿病变,椎体严重压缩变形。T8椎体上终板前缘骨骺破坏。

图5 术后胸椎侧位片,内固定位置良好。

图6 术后1年,T8、9椎体高度部分恢复,T8椎体前缘恢复有限(箭头)
4结论
儿童脊柱嗜酸性肉芽肿,是一种少见的儿童脊柱疾病,其非特异性的临床表现使其诊疗都存在一定的困难。活检是其进一步治疗的先决条件,对于手术治疗的患者采用后路经过椎弓根保留椎体骨骺病变刮除植骨内固定术,可以在清除病变的同时,最大限度的保留椎体的生长能力,为椎体高度恢复打下基础。同时辅以术后的化疗,可以有效清除残存的病变组织,减少局部复发。
5参考文献
[1] Bertram C,Madert J, Eggers C. Eosinophilic granuloma of the cervical spine. [J] Spine,2002,27(13):1408–1413.
[2] Brown CW,Jarvis JG, Letts M, Carpenter B. Treatment and outcome of vertebral Langerhanscell histiocytosis at the Children’s Hospital of Eastern Ontario. [J] Can JSurg, 2005,48(3):230–236.
[3] Bilge T,Barut S, Yaymaci Y, et al. Solitary eosinophilic granuloma of the lumbar spinein an adult. Case report. [J] Paraplegia,1995,33(8):485–487.
[4] Jiang L, LiuZJ, Liu XG, et al. Langerhans cell histiocytosis of the cervical spine: asingle Chinese institution experience with thirty cases. [J] Spine (Phila Pa1976), 2010, 35(1): E8–15.
[5] Sessa S,Sommelet D, Lascombes P, et al. Treatment of Langerhans-cell histiocytosis inchildren. Experience at the Children’s Hospital of Nancy. [J] J Bone Joint SurgAm, 1994,76(10):1513–1525.
[6] Garg S, MehtaS, Dormans JP. Langerhans cell histiocytosis of the spine in children.Long-term follow-up.[J] J Bone Joint Surg Am, 2004;86A(8):1740–1750.
[7] Garg S,Dormans JP. Primary tumor of the spine in children: a review from the PediatricMusculoskeletal Tumor Program at the Children’s Hospital of Philadelphia. [J]UnivPenns Orthop J,2003,16(1):19–29.
[8] Garg S,Dormans JP. Tumors and tumor-like conditions of the spine in children. [J] J AmAcad Orthop Surg, 2005, 13(6):372–381.
[9] Yeom JS, LeeCK, Shin HY, et al. Langerhans’ cell histiocytosis of the spine. Analysis oftwenty-three cases.[J] Spine,1999,24(16):1740–1749.
[10] Huang WD,Yang XH, Wu ZP, et al. Langerhanscell histiocytosis of spine: a comparative study of clinical, imaging features,and diagnosis in children, adolescents, and adults. [J] Spine J. 2013 Sep;13(9):1108-1117.
[11] Mammano S,Candiotto S, Balsano M. Cast and brace treatment of eosinophilic granuloma ofthe spine: long-term follow-up.[J] J Pediatr Orthop, 1997,17(6): 821–827.
[12] Knoeller SM,Uhl M, Adler CP, et al. Differential diagnosis of benign tumors and tumor-likelesions in the spine. Own cases and review of the literature. [J] Neoplasma,2004, 51(2):117–126.
[13] Tanaka N,Fujimoto Y, Okuda T, et al. Langerhans cell histiocytosis of the atlas. Areport of three cases. [J] J Bone Joint Surg Am,2005, 87(10):2313–2317.
[14] Womer RB,Anunciato KR, Chehrenama M. Oral methotrexate and alternate-day prednisone forlow-risk Langerhans cell histiocytosis. [J] Med Pediatr Oncol, 1995, 25(2):70–73.
[15] Hung YC,Chang FC, Chen YW, et al. Langerhans’ cell histiocytosis in the pediatricspine: therapeutic dynamic change of spinal deformity. [J] Childs Nerv Syst, 2012,28(8): 1243–1250.
[16]Green NE,Robertson WW Jr, Kilroy AW. Eosinophilic granuloma of the spine with associatedneural deficit. Report of three cases. [J] J Bone Joint Surg Am, 1980, 62(7): 1198–1202.
[17] GreenbergerJS, Crocker AC, Vawter G, et al. Results of treatment of 127 patients withsystemic histiocytosis.[J] Medicine (Baltimore) 1981,60(5):311–338.
[18] Knoeller SM,Uhl M, Adler CP, et al. Differential diagnosis of benign tumors and tumor-likelesions in the spine. Own cases and review of the literature.[J] Neoplasma, 2004,51(2):117–126.
[19] 王臻,郭征,栗向东。儿童保留骨骺的保肢手术。[J] 第四军医大学学报,2008,29 (4):289-291.
[20] Ippolito E,Farsetti P, Tudisco C. Vertebra plana: long term follow-up in 5 patients. [J] JBone Joint Surg Am,1984;66-A(9):1364–1368.



京公网安备11010502051256号