天津医院小儿骨科脊柱畸形矫形策略
2015-03-23 文章来源:杨红军 曾裴 解礼伟 我要说
脊柱侧凸是指脊柱向侧方偏离正常的脊柱垂直线,X光片上弯曲>10°,可同时伴有椎体旋转,导致脊柱在矢状面、冠状面、横断面上呈现出三维畸形。脊柱侧凸可分为16大类,包括先天性脊柱侧凸、特发性脊柱侧凸、神经肌肉型脊柱侧凸(脑瘫、肌营养不良等)、综合征型以及其他系统性疾病(神经纤维瘤病、马凡综合症、骨发育不良等)所致的脊柱侧凸。特发性脊柱侧凸病因不明,是最常见的脊柱侧凸类型,约占所有脊柱侧凸的80%,进一步分为婴幼儿特发性脊柱侧凸、儿童特发性脊柱侧凸、青少年型特发性脊柱侧凸,根据年龄亦可分为早发性、迟发性。人群中侧凸角度超过30°者约占3‰。
脊柱侧凸的治疗方法有两种:保守治疗和手术治疗。保守治疗包括观察、系列石膏、支具治疗等。对于侧凸角度在20°以下的特发性脊柱侧凸,如果仍处于生长发育期则仅需门诊定期复查,无需佩戴任何支具。侧凸角度介于25-45°之间者应行支具治疗,每半年复查一次,直至生长发育停止(女孩约在16岁,男孩约在18岁),但如果随访过程中发现侧凸角度超过45°应考虑手术治疗。
对于婴幼儿特发性脊柱侧凸,天津医院小儿骨科目前主要采取系列化石膏治疗,效果满意。系列化石膏的目的,是矫正弯曲、促进心肺系统发育,从而避免或推迟最终行脊柱融合的时间。肺泡从出生到4岁增加了10倍,直到8岁才完全发育完成。脊柱侧凸畸形限制了肺生长的空间,对于5岁以前就出现脊柱侧凸的儿童,常出现呼吸困难或心肺功能不全,应积极治疗。
对于婴幼儿特发性脊柱侧凸,天津医院小儿骨科目前主要采取系列化石膏治疗,效果满意。系列化石膏的目的,是矫正弯曲、促进心肺系统发育,从而避免或推迟最终行脊柱融合的时间。肺泡从出生到4岁增加了10倍,直到8岁才完全发育完成。脊柱侧凸畸形限制了肺生长的空间,对于5岁以前就出现脊柱侧凸的儿童,常出现呼吸困难或心肺功能不全,应积极治疗。

7岁女孩,特发性侧凸,波士顿腋下支具治疗
手术治疗脊柱侧凸有其严格的适应症选择。对于青少年特发性脊柱侧凸,如果侧凸角度超过45°则应考虑手术,但应综合评估方能决定,比如患儿年龄、脊柱是否失去平衡、骨盆有无倾斜、双肩是否等高、所需融合的范围、对腰椎活动度的影响等等,甚至患者的经济承受能力等均应考虑。天津医院小儿骨科脊柱侧凸治疗团队的手术矫形策略历经Harrington系统、Luque棒椎板下钢丝固定系统、C-D三维矫形系统,密切关注欧美发达国家的最新研究动态并与之互动交流,熟练掌握经胸、胸腹联合、腹膜后等前路手术技术,近几年更是积极开展经脊柱后路360°截骨、复杂畸形顶椎切除脊柱有限短缩矫形、后路全椎弓根螺钉固定等当今脊柱矫形领域最高难技术,疗效满意。

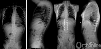
13岁女性患儿,特发性脊柱侧凸(双胸弯,Lenke分型2A-)。术前侧凸角度达80°,行单一后路手术,选择性融合,最大限度保留腰椎活动度
对于先天性脊柱畸形,包括侧凸、后凸、侧后凸等畸形,是指椎体的先天性发育缺陷,包括椎体分节不良(骨桥)和椎体形成不良(半椎体、楔形椎、蝴蝶椎)或两者兼而有之。值得注意的是,并非所有先天性脊柱侧凸均需治疗,应该具体病例具体分析,尚有些规律可循,如相同部位的骨桥比半椎体更易侧凸恶化,而一侧骨桥合并对侧半椎体则更会引起畸形进展,胸腰段畸形进展最快等规律。一般来说,处于腰骶段的半椎体应尽早切除,因其必然导致骨盆倾斜。而胸10以上的半椎体应观察,并非一定需要手术。一般来讲,如需手术,则首选后路,因为后路行半椎体切除创伤小以及后路椎弓根螺钉固定技术已成常规。天津医院小儿骨科脊柱专业团队针对不同脊柱畸形患儿,采用了个性化的治疗方法:经后路椎骨截骨椎弓根螺钉固定矫形、胸廓撑开术(合并肋骨畸形及胸廓塌陷)、全麻下系列石膏(针对婴幼儿复杂畸形)以及脊柱非融合技术(生长棒技术)。



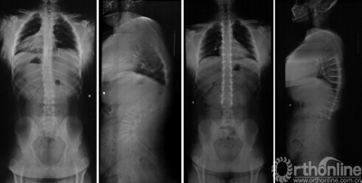
14岁男性患儿,先天性脊柱侧凸,术前、术后及外观对比
在天津医院小儿骨科,特发性和先天性脊柱畸形患儿约占全部住院患儿的85%左右,此外,神经纤维瘤病、马凡氏综合征、类马凡氏综合征、脊髓空洞、先心病开胸术后、脊膜膨出、脊髓纵裂、脊髓栓系、脊柱结核等类型亦非罕见,尤其近年脊柱结核发病率有回升的趋势。神经纤维瘤病、马凡氏综合征、类马凡氏综合征引起的脊柱侧凸进展较快,手术适应症应该放宽。此类患儿除脊柱畸形外,还易同时合并心脏大血管病变,外形特征为高而瘦、韧带过分松弛以及近视等。神经纤维瘤病的诊断必须符合以下条件中的两条:全身散在咖啡斑,家族史,病理证实,骨骼畸形(脊柱侧凸或胫骨假关节或指趾末端粗大)。
典型病例
一、婴幼儿特发性脊柱侧凸

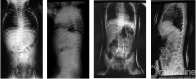
21个月女性患儿,早发性婴幼儿特发性脊柱侧凸、左髋关节发育不良,行石膏支具治疗。侧凸角度由术前的30°减小到10°,胸腰椎生理曲度得到恢复。通过定期更换石膏支具,患儿有望避免最终的融合手术,保留脊柱正常的生理功能
二、青少年特发性脊柱侧凸

14岁女性患儿,青少年特发性脊柱侧凸,术前术后X线片及外观对比
三、先天性脊柱侧凸

8岁男性患儿,先天性脊柱侧弯(半椎体畸形), 行半椎体切除,术前术后X线片对比
四、先天性脊柱后凸合并腰椎滑脱

13岁男性患儿,脊柱后凸畸形(腰2半椎体),合并腰5/骶1椎体滑脱,术前术后X线片及外观对比
五、休门氏病后凸畸形

14岁男性患儿,休门氏病后凸畸形(重度,体重260斤),行顶椎多节段Ponte截骨术,术前术后X线片对比
六、类马凡氏综合征

14岁女性患儿,类马凡氏综合征,术前术后对比,恢复双肩等高,矫形满意
七、翻修手术——重度僵硬性侧后凸畸形


14岁男性患儿,先天性脊柱侧凸骺阻滞术后11年、重度僵硬性侧后凸畸形,行顶椎区域多段脊椎截骨术,术前术后X线片及外观对比



京公网安备11010502051256号