关节镜下应用空心螺钉及带齿垫片内固定治疗前交叉韧带胫骨止点撕脱骨折
2015-01-05 文章来源:西安市红会医院 张明宇 郑江 杨镇 我要说
前交叉韧带(anterior cruciate ligament,ACL)胫骨止点撕脱骨折的损伤原因多数为交通事故,其次为运动伤,其机制为暴力使膝关节运动张力过度,胫骨过度内旋,外展时由于股四头肌的强力收缩超过了前交叉韧带可以承受的张力,引起的前交叉韧带胫骨止点骨折。非手术治疗常导致骨折不愈合或者畸形愈合,从而造成关节不稳定以及伸膝功能受限。传统切开手术创伤大,制动及康复时间长,关节粘连发生率高。随着膝关节镜微创外科的发展与手术技术的提高,关节镜的应用为ACL胫骨止点撕脱骨折提供了良好的治疗方式,目前多采用尼龙线、钢丝、螺丝钉及前交叉韧带重建等方法。我科于2009年3月至2011年1月期间,在膝关节镜下对39 例前交叉韧带胫骨止点撕脱骨折患者,采用空心螺钉及带齿垫片内固定治疗,临床疗效满意,报告如下。
1 临床资料与方法
1.1 一般资料
本组39 例,男28 例,女11例;年龄12-51 岁,平均26.3 岁。左膝22例,右膝17例。急性损伤25 例(伤后时间1-15 天,平均7 天),陈旧损伤14 例(伤后时间1月-7月,平均4个月)。受伤原因:损伤原因有摔伤、车祸伤以及膝关节扭伤。其中合并半月板损伤6例。依Meyers-Mckeever分型,II型29例、III型10 例,如图1示。

图1 前交叉韧带胫骨止点撕脱骨折,Meyers-Mckeever III型
1.2 手术方法
采取硬腰联合麻醉,患肢上气囊止血带;关节镜常规入路,探查膝关节;观察前交叉韧带胫骨止点撕脱骨折块大小、粉碎情况及移位程度;探查是否合并半月板、交叉韧带及软骨面的损伤;清除骨折块与胫骨之间游离滑膜组织;陈旧性骨折设法与骨折块分离,修整为新鲜创面;用探针将骨块连同韧带拉向胫骨骨床。评估前交叉韧带紧张程度,若发现骨块与骨床不匹配,可将骨床挖深3-5mm,将骨块复位。膝关节屈曲位,紧贴髌骨内侧缘切开皮肤0.5cm,将1.5mm克氏针从髌内侧缘穿入骨折块暂时固定,进针点尽量靠近前交叉韧带基底部,关节伸直位观察骨折块复位及稳定情况,放入带齿垫片,拧入空心螺钉将带齿垫片牢固固定于前交叉韧带的基底部(如图2),之后拔除克氏针。关节镜监视下,活动膝关节,对存在髁间撞击患者,行髁间窝成形术。固定完成后,关节镜下探查前交叉韧带走行及张力,并行前抽屉试验检查膝关节稳定程度。合并损伤进行相应处理,对损伤半月板尽量修复或行部分切除;对增生、充血滑膜行清除;髌股关节及胫股关节软骨损伤进行病灶清理;骨赘形成进行清理。

图2 关节镜下使用空心螺钉及带齿垫片固定前交叉胫骨止点撕脱骨折
1.3 术后康复锻炼
术后使用膝关节可调式支具外固定,膝关节活动度调节至0-30度位,行股四头肌功能锻炼,2周后行CPM膝关节功能锻炼,术后4-6周佩戴支具伸膝位不负重行走,术后6~8周佩戴膝关节支具部分负重行走,术后12周后拆除可调式支具。术后8周、3~5月复查X线,骨折愈合良好后正常行走。
1.4 评价方法
术后定期随访,术后每4周一次,3个月后每8周一次,一年后每半年一次,了解骨折复位、愈合情况,以及膝关节稳定性、伸屈活动度。按Lysholm膝关节功能评分进行评估,判断患肢整体功能恢复情况。Lysholm总评分为100分,其中95-100为优秀, 无明显疼痛,能参加一般体育活动,膝关节屈伸功能正常;84-94为良好,轻微疼痛,体育活动后可有不适症状, 膝关节屈曲稍受限;83~75分为可,中度疼痛,日常活动后有不适症状,不能胜任一般体育活动,膝关节屈曲明显受限;小于75分为差,疼痛较重,影响日常生活。
2 结果
术中探查见骨折复位良好,固定可靠,前交叉韧带走形正常,张力好,行前抽屉试验可见膝关节稳定。术后X线可见骨折复位良好,内固定螺钉及垫片位置合适、牢固(如图3所示)。本组病例均得到随访,随访时间6-18个月,平均11个月,了解骨折愈合情况以及膝关节功能恢复情况。应用Lysholm膝关节功能评分法,对疼痛、肿胀、行走功能等内容进行评分。结果显示术后6个月,本组病例结果优29例,良7例,可3例,优良率为92.3%。

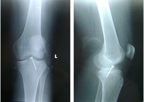
图3 前交叉韧带胫骨止点撕脱骨折术后
3 讨论
ACL是膝关节重要的静力稳定结构,可与其它韧带共同保持胫股关节的正常运动。胫骨旋转中立位时,ACL张力占前抽屉试验中抵抗力的85%,因此它是主要的前方稳定结构。ACL胫骨止点位于胫骨平台上胫骨脊的稍前内侧方,其撕脱骨折可引起膝关节不同程度的失稳,影响关节功能。如不早期恢复其正常功能,可导致膝关节不稳,处理不及时,可继发半月板、软骨损伤,加快关节退行性改变,影响运动功能[3]。目前,随着膝关节镜微创外科的发展与手术技术的提高,传统的切开复位固定的手术方法,已经被关节镜下骨折复位固定的微创手术逐渐取代。 文献报道[4],前交叉韧带胫骨止点撕脱骨折已成为关节镜下手术的良好适应症。与传统手术相比较,关节镜技术具有以下优点:在镜下通过直观的观察关节内结构,可清晰了解骨折的情况;骨折复位固定后,屈伸活动膝关节,可观察骨折复位的情况及髁间窝有无撞击症状;可以清除关节内脱落的骨片、软骨片及凝血块;手术创伤小,对关节内生理环境干扰少,最大限度地减少了术后关节腔内外粘连因素;此外,关节镜下还可发现并处理合并损伤,本组病例中合并半月板损伤者,均在关节镜下行半月板修整术。
关节镜下治疗前交叉韧带胫骨止点撕脱骨折有多种方法,在内固定物的选择上各有不同,但各有其优缺点:一种方法是选择PDS 线或者Ethibond缝线进行缝合固定,通过胫骨隧道引出缝线,在关节外打结固定。此种方法可不用取出内固定物,但稳定性稍差,术后制动时间较长,容易导致关节纤维化,引起关节僵直;另一种方法是利用钢丝进行固定,但钢丝容易切割骨块和交叉韧带止点部分,而且术后也不能进行早期活动。以上两种方法都是利用胫骨隧道的原理进行固定,隧道的关节内出口需定位准确,而且需要将缝线或者钢丝穿过前交叉韧带远端,手术时间长,而且由于固定点远离解剖点,固定后的稳定性不能保证早期功能锻炼。由于前交叉韧带的胫骨止点区域较广泛,撕脱骨折的骨块一般大于5mm,适用于空心钉固定,术中可根据骨块的大小,来选择螺钉的直径。选用空心拉力螺钉,操作简便,在拧紧时轴向加压可促使骨折端的嵌紧。同定牢靠,有利于术后早期进行功能康复。在关节镜辅助下微创手术,便于患者接受,且疗效可靠。但出现下列情况:①骨块偏小,螺纹与骨界面之间存在微动,将导致骨吸收造成螺钉松动。②骨折部位周围骨质疏松,螺钉把持力下降,可引起固定失效,应慎重使用。Veselko和Senekovic等报道,关节镜下采用带齿垫片及空心螺钉固定前交叉韧带胫骨止点撕脱骨折,经5年随访证实临床疗效满意。本组于关节镜辅助下采用空心螺钉及带齿垫片固定撕脱骨折块,带齿垫片直径比钉帽大3mm,固定较单纯用空心螺钉牢固,并且带齿垫片直接加压固定骨块,使骨折块不易碎裂移位,可以实现牢固固定。同时,固定点位于解剖位置,固定强度高,术后可以早期进行功能锻炼,减少关节粘连的发生率。通过随访,所有患者均没有发现术后因早期功能锻炼引起内固定松动及骨折块移位的现象。
本组采用关节镜辅助下空心螺钉及带齿垫片固定前交叉韧带胫骨止点撕脱骨折,全部达到解剖对位,具有手术切口小、操作简便、不需要特殊器械和固定设备、手术时间短、手术效果满意,术后随访Lysholm功能评分效果佳、关节功能恢复满意,结合临床操作经验,笔者认为以下几点应在手术操作中值得注意:①骨折创面要清理干净,使创面新鲜,复位更易,对于陈旧性骨折尤其要处理至新鲜的骨折创面显露。②术中可用克氏针临时固定骨折块,在探针协助下,将前交叉韧带胫骨定位器应用于关节镜下前交叉韧带胫骨止点撕脱骨折的治疗,具备导向及临时固定的双重作用,使骨折复位后不易移位,并且可缩短手术时间。③因导针过细而有弯曲偏离的可能,拧入螺钉时应避免摇晃,且不宜一次拧入过深而使导针有切断的风险,可先拧入1-2cm后拔出导针,再完全拧入。④如骨片较大,导针定位在骨块的中央偏前,为防止前缘上翘,进针角度与关节面平面呈30°-45°左右,打入导针时尽量使关节屈曲超90°,且不宜过深,防止后方腘血管损伤。⑤根据骨片的大小及损伤程度选择空心螺钉及垫片的数量,对于一些较大或较碎骨片,尽可能选用两枚螺钉交叉固定。以增加固定强度,酌情选择1~2枚垫片。⑥带垫片空心钉拧入及取出时,应先将导针插入,防止垫片掉入关节腔内而难以找到。
综上所述,关节镜辅助下应用空心螺钉及带齿垫片固定前交叉韧带胫骨止点撕脱骨折,增大固定的接触面积,带齿垫片可将较小或较碎的骨块固定,创伤小、恢复快、固定可靠,有效避免了一些并发症的发生,能最大程度地恢复膝关节功能。



京公网安备11010502051256号