3D打印技术将引领数字骨科医院
2014-08-01 文章来源:贵州省骨科医院 我要说
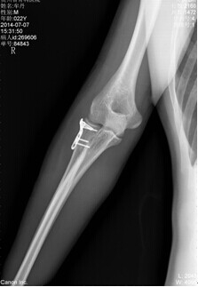
2014年7月7日,贵州省骨科医院成功地为一位桡骨小头粉碎性骨折的患者实施了手术,完美修复了碎裂移位的桡骨小头。这是该院第二次成功将3D打印技术与传统的骨科手术结合取得的成果,标志着贵州省骨科医院在数字骨科技术治疗方面又迈上了一个新的台阶。
6月30日,22岁的患者小牟由家属陪同来贵州省骨科医院就诊,据家属讲述,患者小牟曾在其他医院进行人工桡骨小头置换术。贵州省运动医学委员会主任委员、贵州省骨科医院院长邱冰教授仔细分析病情后,认为患者年轻,不适合做置换术,完全可以修复重建,提出了用3D打印技术辅助手术治疗,修复桡骨小头的治疗方案。7月1日,小牟的CT数据传到了与省骨科医院合作的数字骨科打印中心,按照原比例打印出了受损的桡骨小头模型。邱教授的治疗组进行了术前的设计,制定出可行的治疗方案。手术按照计划进行,完美的复位固定得到同行的一致认可。术后的康复也令人满意。出院前,小牟的父亲对骨科医院的专家们表达了心中的谢意。
近年来,随着社会的发展,人们在生活质量提高的同时,健康意识也在不断加强,对医疗技术也提出了更高的要求。因此,追求更可靠、更安全的技术自然就成为了医疗行业共同的目标。随着医疗器械发展和计算机技术的日益成熟,3D技术与医疗结合而产生的新技术便应运而生了。但是就目前来说,3D打印技术应用于医疗行业只是在国外推行得比较好,在国内,医疗行业中应用3D打印技术来辅助手术仍旧是一个新的领域,只有北京、上海等为数不多的医院在推行该项技术。可喜的是,近年来,贵州省内也有几家医院开始了探索,取得了一定经验,随着经验的积累,这项技术将给贵州的老百姓带来福音。

图为通过3D技术打印出来的受损桡骨小头模型

患者影像资料



京公网安备11010502051256号