长短髓内钉治疗股骨转子间骨折疗效无差异
2014-07-29 文章来源:河北医科大学第三医院 侯志勇 我要说

股骨转子间骨折的AO/OTA分型,本文仅针对A1和A2型骨折
随着人口老龄化以及骨质疏松的影响,股骨转子间骨折的患病率不断增加。目前,至少在美国,股骨转子周围骨折使用髓内钉者越来越多。与髓外固定相比,髓内装置在理论上具有生物力学方面的优势,尽管至今还没有充分的临床证据证实这一优势,但无论短髓内钉还是长髓内钉均有临床疗效良好的报道。
对于骨折线没有延及远端的股骨转子间骨折(AO分型31-A1和A2),临床上长短髓内钉均有应用,目前也没有研究对二者进行对比。而使用短髓内钉者,由于转子以下骨干的固定长度相对较短,学者们仍存在一些顾虑,如髓内钉远端附近继发股骨干骨折等。
Bjørgul和Reikerås曾报道应用长髓内钉可减少继发性股骨干骨折的发生率,但由于髓内钉的弯曲度与股骨干不匹配,尤其是存在骨质疏松的情况下,置钉较为困难。如果后方存在较大的骨折块,或骨折线累计骨干,应用长髓内钉在理论上可以提供更加稳定的固定。然而扩髓的要求也相应提高,手术时间更长,应用相对更弯曲的髓内钉,费用更高等都是长髓内钉的不足之处。
为了比较长髓内和短髓内钉的临床疗效以及术中术后的并发症情况,来自河北医科大学第三医院侯志勇教授(文章第一作者和通讯作者)与美国宾夕法尼亚州Geisinger医学中心等单位的多为学者合作进行了一项回顾性对照研究,文章发表在近期出版的J Orthop Trauma杂志上。
研究人员回顾了2004-2009年共283例股骨转子间简单及粉碎骨折(AO分型31-A1和A2),183例患者应用长髓内钉,另100例患者应用短髓内钉。通过电子医疗档案记录患者的人口统计学数据以及内科合并病症情况,相关数据见表1。女性210例,男性73例,平均年龄79岁(47-102岁)。277例(98%)患者为低能量损伤,仅1例开放性骨折。A1型骨折126例,A2型骨折157例。
表1 人口统计学数据

该研究中所有患者均应用同一品牌的同一类髓内钉(Trochanteric Femoral Nail; Synthes, Paoli, PA),所有髓内钉均为11mm直径,颈干角130度,短髓内钉长度170mm,长髓内钉的长度根据个体的解剖形态而定。

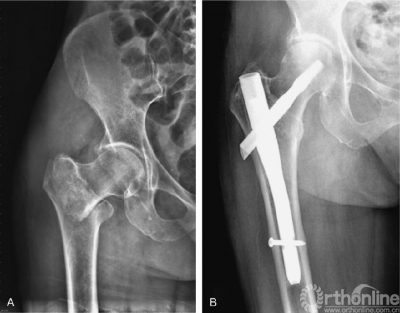
图1 A,右髋正位片显示AO分型31-A12型骨折;B,右髋正位片显示短款股骨近端髓内钉固定术后,骨折完全愈合。

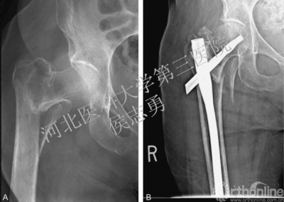
图2 A,右髋正位片显示AO分型31-A21型骨折,后内侧有一个很大的骨折块;B,长款股骨近端髓内钉固定术后12个月时的右髋正位片,注意螺旋刀片向外移位。
研究中观察的治疗相关变量包括美国麻醉医师协会评分(American Society of Anesthesiologists, ASA)、手术时间、术中出血量、输血量、治疗相关的并发症和死亡率等。
结果显示,短髓内钉组手术时间平均仅41分钟,而长髓内钉组为61分钟。前者出血量平均100mL,42例(42%)患者需要输血;长髓内钉组术中平均失血135mL,83例(45%)患者需要输血。两组输血量的差异有统计学意义,但需要输血的比率相差不大。两组患者并发症以及再手术率等均没有明显差异。相关结果的详细数据见表2-4。
表2 手术相关的变量

表3 31-A1和31-A2型骨折的并发症以及死亡率分析

表4 总的并发症和再手术率


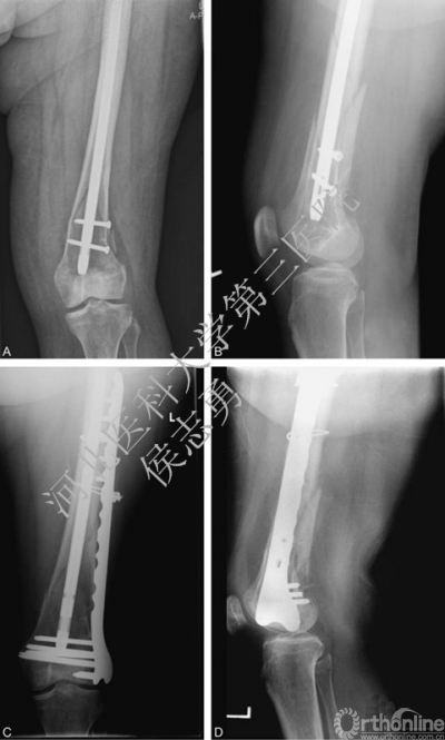
图3 A和B为初次手术采用长髓内钉固定术后6个月,患者再次外伤,长髓内远端处骨折。C和D,远端锁定钢板固定术后的正侧位片,治疗后6个月,愈合虽然缓慢但仍在进展,摄片时患者康复良好,完全无痛。
作者的结论指出,对于骨折线没有延及转子下的股骨转子间骨折,无论选用短髓内钉还是长髓内钉,在骨折愈合和并发症发生率等方面均没有明显的差异。虽然很多学者对不稳定型骨折以及术后继发应力骨折等存在顾虑,而更愿意选择长髓内钉,但治疗老年股骨转子间简单或粉碎性骨折(AO分型31-A1和A2)时,长髓内钉并没有明显的优势。
该篇文章已被JBJS收录到What’s New in Orthopaedic Trauma(http://jbjs.org/content/95/14/1333)之中,具体内容如下:
研究方法:对283例转子间骨折的老年患者进行髓内钉固定,按髓内钉长短分为:短(183例)和长(100)髓内钉组,比较临床并发症和死亡率。
研究结果:两组患者的人口统计学,愈合率和并发症发生率无显著差异。
结论要点:长髓内钉治疗转子间骨折可以获得较好的稳定性,从理论上讲可以降低假体周围骨折的概率。但是,本研究的结论发现,长髓内钉和短髓内钉比较并没有明显优势;而使用长髓内钉的一个潜在缺点是需要更长的锁定时间,并且会增加远端骨皮质穿出的概率。



京公网安备11010502051256号