中南大学湘雅医院—全股骨置换病例讨论

2014-01-27   文章来源:中南大学湘雅医院 谢杰 胡懿郃    我要说

基本资料

患者,女,21岁。
主诉:左下肢短缩,活动不能21年

现病史

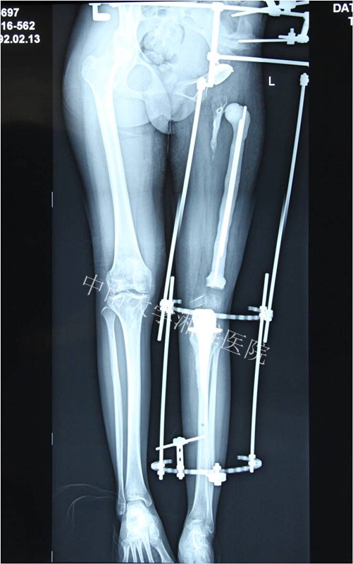
出生后8个月出现左股骨中段骨髓炎,在当地医院予以保守治疗,1年后好转。其后出现左大腿停止发育,左下肢短缩,行走活动不能。2012年10月至中南大学湘雅医院门诊求治,摄片发现左股骨未发育,收入住院。

专科检查

左大腿可见1*2cm²伤口疤痕,无红肿、窦道流脓
左下肢短缩23厘米
左大腿中段无骨质支撑,可反常活动

其余辅助检查:无异常



入院诊断:左股骨骨髓炎后遗股骨发育不良

其余辅助检查:无异常


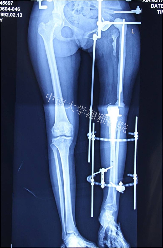
2013年4月软组织延长术后

2013年5月髋臼置换

2013年6月安装胫骨侧假体,自制股骨骨水泥占位器占位,继续延长

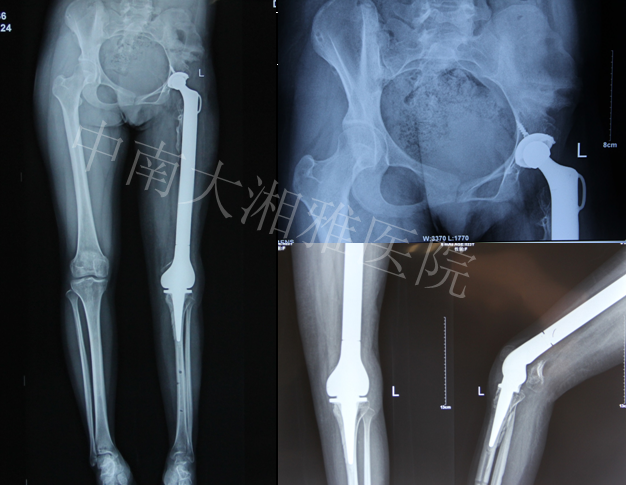
2013年10月复查双下肢长度恢复


Final Game—2013年10月


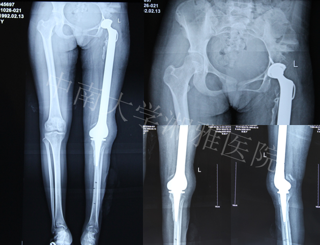
术后2月复查—2013年12月








其余辅助检查


分享到:
已有 6 条评论
登录|注册后发表评论!
ycjlt #6
科技是第一生产力啊!
发表于:2014-03-17 22:03:38  IP:112.85.185.117
yanfei120 #5
高手呀,请跟踪报道!
发表于:2014-02-22 14:02:17  IP:114.139.239.185
wenlyzi #4
真不错,学习了!确实解决问题。
发表于:2014-02-21 20:02:25  IP:220.175.44.94
郭有 #3
学习了
发表于:2014-02-05 21:02:06  IP:111.11.91.113
bluenightaini #2
学习了
发表于:2014-02-05 10:02:56  IP:219.139.132.66

页面