感染性骨髓炎的保守治疗
2017-07-13 文章来源:中国人民解放军总医院 作者:刘 浩 我要说
作者简介:
刘浩,男,主管药师。骨科临床药师,擅长抗感染临床药学。
第一作者发表论著8篇,参编书籍6部,第一责任人完成课题1项,参与完成课题9项。
骨髓炎一直是骨科中的难题,尽管可以应用手术清创术和长期抗生素,成人慢性骨髓炎的复发率为30%。长期病程、易复发,让骨科医生头疼不已。


骨髓炎是指化脓性细菌感染骨髓、骨皮质和骨膜而引起的炎症性疾病,可由血源性引起,也多由外伤或手术感染引起,也可因疖痈或其他病灶的化脓菌毒进入血液而达骨组织。

四肢骨两端最易受侵,尤以髋关节较为常见。骨髓炎在儿童中最常见,但老年人也有发病的危险。在其他年龄段,骨髓炎最常见于免疫力下降的人群,例如镰状细胞病或糖尿病患者。在幼儿中,骨髓炎常累及椎骨和四肢的长骨。在成年人中,骨髓炎最常累及椎骨和骨盆。
关于抗菌药物给药时机
当怀疑骨髓炎时应有影像学支持,并取血培养和深部组织培养,窦道的引流液培养和窦道拭子常常会有假阳性结果,其培养结果可能为皮肤定植菌。去培养之前2周内不应用抗菌药物进行治疗,因为可能导致假阴性结果。经验抗菌药物治疗应在深部组织培养和血培养后开始进行。
病 因
感染多由血源性微生物引起;从感染组织扩散而来,包括置换关节的感染,污染性骨折及骨手术。最常见的病原体是革兰阳性菌。革兰阴性菌引起的骨髓炎可见于吸毒者,镰状细胞血症患者和严重的糖尿病或外伤患者。真菌和分枝杆菌感染者病变往往局限于骨,并引起无痛性的慢性感染。危险因素包括消耗性疾病,放射治疗,恶性肿瘤,糖尿病,血液透析及静脉用药。对于儿童,任何引起菌血症的过程都可能诱发骨髓炎。
临床表现
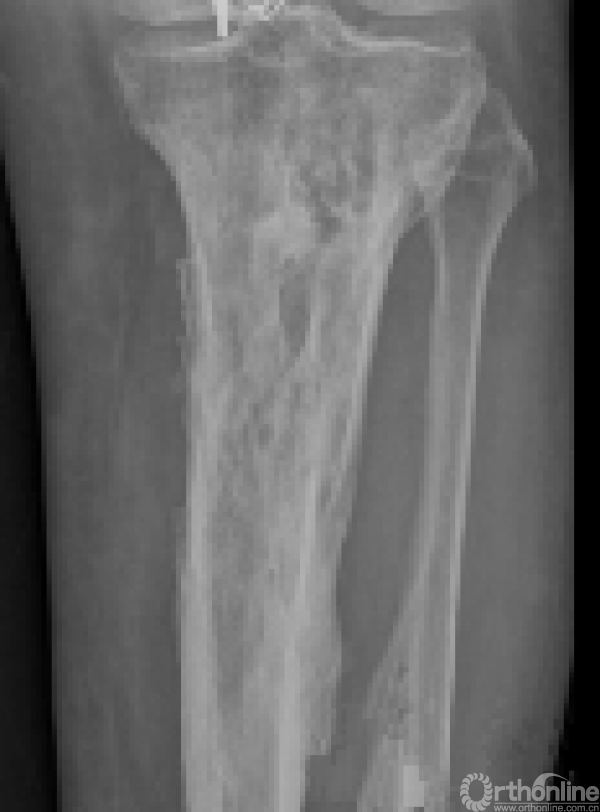
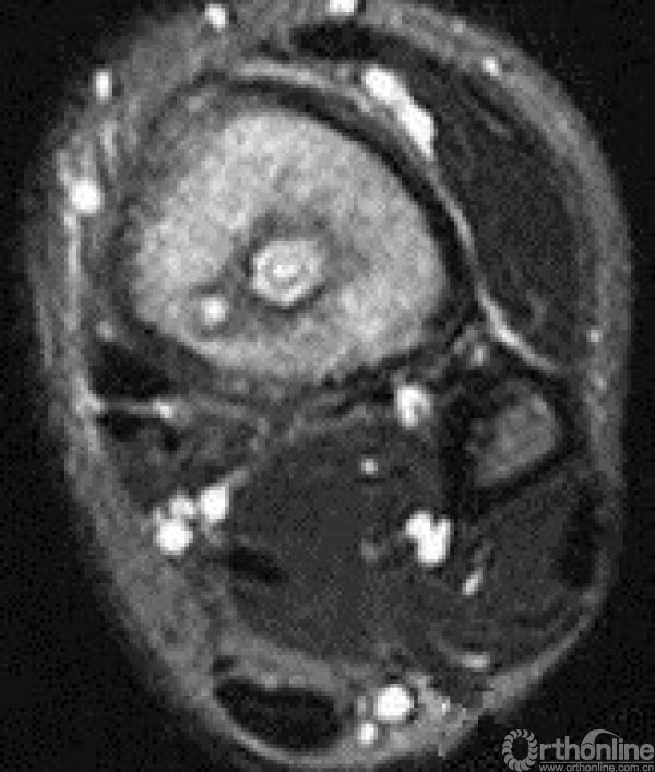
临床上常见反复发作,严重影响身心健康和劳动能力。急性骨髓炎起病时高热、局部疼痛,转为慢性骨髓炎时会有溃破、窦道形成、流脓、有死骨或空洞形成。重症患者可能会危及生命,有的不得不采取截肢的办法,致患者终生残疾。影像学和病理表现如下图。


病情进展

1.骨髓炎位于局部骨髓,不突破骨皮质涉及骨膜;
2.骨髓炎,突破骨皮质涉及骨膜,形成骨膜下脓肿;
3.形成死骨,骨膜下脓肿破溃,形成新的骨膜(骨膜反应)。
骨髓炎的分期急性
1.在2周内;亚急性;
2.在一到几个月内;
3.慢性,几个月后。
Cierny分类(根据解剖位置,分为4型)
1.髓质型;


2.表浅型;


3.局部型;


4.扩散型。


骨髓炎的保守治疗是所有骨髓炎的初步治疗,其治疗至关重要,治疗无效才考虑手术治疗!即使手术治疗也要配合特定的抗生素治疗。
依据《抗菌药物临床应用指导原则(2015版)》:急性骨髓炎最常见的病原菌为金黄色葡萄球菌,如1岁以上小儿亦可由A组溶血性链球菌引起,老年患者可由革兰阴性杆菌引起。需要注意的是慢性骨髓炎患者窦道流出液中分离出的微生物不一定能准确反映感染的病原体。
【治疗原则】
1.在留取血、感染骨标本进行病原学检查后开始经验治疗。经验治疗应选用针对金黄色葡萄球菌的抗菌药物。获病原检查结果后,根据治疗反应和药敏试验结果调整用药。
2.应选用骨、关节腔内药物浓度高且不易产生耐药性的抗菌药物。慢性感染患者应联合应用抗菌药物,并需较长疗程。用药期间应注意可能发生的不良反应。
3.不宜局部应用抗菌药物。
4.急性化脓性骨髓炎疗程 4~6 周,急性关节炎疗程 2~4 周;可采用注射和口服给药的序贯疗法。
5.外科处理去除死骨或异物以及脓性关节腔液引流极为重要。
来自韩国化学学会(KSC)、韩国感染病学会(KSID)和韩国骨科学会(KOA)2014年共同发布《韩国骨和关节感染抗菌治疗指南》的骨髓炎的抗感染药物经验治疗方案建议(见表1),简便而方便记忆。

而抗感染治疗权威书籍《桑福德抗微生物治疗指南(第44版)》将经验治疗分成多种情形进行分析,对不同的骨髓炎感染途径可能的感染病原微生物分别进行流行病调研,而根据每类可能感染病原微生物采取不同的经验治疗初始方案,较有针对性,是更加全面和合理的用药方案(见表2)。


当病原学检查结果和药敏结果与我们初始治疗方案并不相符合时,需调整抗感染治疗方案。此时抗菌药物的药代动力学特征,特别是骨组织浓度就显得尤为重要。2014年由巴西圣保罗大学、乌拉圭共和国大学等多家单位牵头起草的《骨髓炎治疗建议》中为我们提供了一个重要参考依据(见表3),可供临床查阅常用抗感染药物的骨组织穿透能力。


疗 程
抗感染药物治疗的持续时间从4周至6个月不等,治疗应根据病原微生物检查和药敏结果的情况进行调整。急性骨髓炎可以在最初手术广泛清创后,进行抗感染治疗,持续4-6周是非常必要的。慢性感染应用广泛的手术清创和去除内置物,这种感染的情况由于有细菌生物被膜的形成,抗生素的总体的应用时间需要3-6个月。若骨髓炎是结核分枝杆菌感染,抗结核治疗可能要持续12-18个月。
参考文献
[1]中华人民共和国卫生部.抗菌药物临床应用指导原则[S].卫医发[2015]43号.
[2]The Korean Society forChemotherapy, The Korean Society of Infectious Diseases, and The KoreanOrthopaedic Association. Clinical Guidelines for the Antimicrobial TreatmentofBone and Joint Infections in Korea [J]. Infect Chemother 2014;46(2):125-138.
[3]Annalucia L. LIMA , Priscila R. Oliveira , Vladimir C. Carvalho. Recommendationsfor the treatment of osteomyelitis [J]. Brazil Infect Dis , 2014 ;18(5):526-534.
[4]JayP. Sanford. 桑福德抗微生物治疗指南(第44版)[M]. 中国协和医科大学出版社,2014.



京公网安备11010502051256号