米琨:前交叉韧带(ACL)损伤的MRI诊断
2017-06-15 作者:广西中医药大学第一附属医院 米琨 我要说
骨科在线版权所有,如需转载请注明来自本网站.
引言:前交叉韧带(ACL)损伤是青壮年膝关节最常见的运动损伤,损伤后膝关节肿胀、疼痛,活动受限。虽然肿胀消退后绝大多数人行走都正常,但膝关节常有不稳感,不能进行急停、急转等动作。受伤后,核磁共振(MRI)是必不可少的检查手段,尽管我国MRI已经基本普及,但诊断的准确性还不够高,因此,如何提高MRI的阅片水平是相关学科的医生特别是刚刚进入运动医学领域的医生迫切需要解决的问题。文中,广西中医药大学第一附属医院米琨教授就前交叉韧带(ACL)损伤的MRI诊断进行了详细讲授。
图1(gif)
要提高ACL损伤MRI诊断的准确性,解剖永远是基础!同时,还需要充分了解ACL的受伤机制,针对性的阅片;MRI的矢状位、冠状位及轴位三者结合,以提高诊断的准确性与全面性!

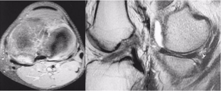
ACL的正常MRI表现——
1.各序列均为低信号。
2.韧带平直,边界清楚,有较好的张力。
3.韧带内可有脂肪及滑膜条纹影。
图3(GIF)
ACL损伤的MRI分级——
Grade1:韧带内损伤,无长度改变。
Grade2:韧带内损伤并长度延长。
Grade3:完全性韧带撕裂。
Grade1、2级为韧带的部分损伤,Grade3级为韧带的完全断裂。
图4(GIF)
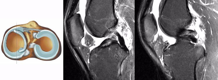
ACL最好的观察层面:最好的观察层面是斜矢状面,同时需要结合横断面和冠状面。
图5(GIF)
ACL最常见的撕裂部位:韧带实质部>韧带股骨髁附着部>韧带胫骨附着部。由于胫骨附着部多为撕脱骨折,DR及CT均能够清晰的显示,因此很多临床医生误认为胫骨附着部的发病率更高。

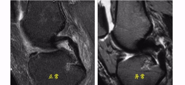
ACL损伤的直接征象:指ACL本身的形态和信号异常。一旦有了明确的直接征象就可以确定ACL损伤。

1.不连续:有韧带的低信号,但中断不连续。一般见于新鲜损伤。

2.方向异常(ACL 下垂征):有较完整的韧带低信号,但方向异常,呈下垂状。一般见于股骨附着部的陈旧损伤,损伤的ACL下垂并粘附在PCL上。

3.ACL 消失:髁间窝空虚,无韧带信号。见于较久的损伤,损伤的ACL撕裂较重呈马尾状,无滑膜包裹,逐渐被关节内的酶腐蚀而消失。

4.撕脱骨折:一般为ACL胫骨附着部的撕脱,韧带完整,信号多正常。

5.假瘤:韧带损伤后断端较整齐,残端组织增生并被滑膜包裹呈"瘤状",如果突出于前方为"独眼征",多见于韧带股骨附着部撕裂及部分撕裂。

6.扭曲和空虚:髁间窝内似隐隐约约有低信号,边缘明显,中央空虚;或者中央有低信号,但扭曲如麻花状。多为陈旧损伤,仅存ACL的滑膜,里面可有少量的韧带纤维,粘附在后方,随着膝关节的长时间屈伸逐渐呈扭曲状。
图13(gif)
ACL损伤的间接征象:指ACL断裂后胫骨前移位出现的一系列改变。间接征象只能考虑可能有ACL损伤。
1.骨挫伤(轴移征):一旦ACL撕裂,胫骨就相对于股骨前移,使股骨外侧髁和胫骨外后方撞击,双方均出现水肿,而且膝关节屈曲的程度决定股骨髁挫伤的部位。

2.沟槽征:当股骨外髁骨因撞击造成的凹陷深度>2mm时称为沟槽征,代表受到撞击的暴力更大。

3.接吻征:膝关节过伸受伤时,胫骨前部撞击股骨髁前部,形成对称性骨挫伤;如果同时有一外翻力的话,膝关节外侧可出现对称性挫伤,这种对称性骨挫伤称为接吻征。也有人把轴移造成的股骨外侧髁和胫骨外后方水肿称为接吻征。
图16(gif)
4.Segond骨折:胫骨平台前外侧撕脱骨折(胫骨平台腓骨尖上方,关节线下方的撕脱骨折),多因为下肢过度内翻加内旋暴力所致。骨折本身无特殊治疗。但其强烈提示ACL损伤(75–100%)。

5.前抽屉征:胫骨前移,外侧半月板后角裸露,由于MRI检查时病人为平卧位,胫骨应该因重力而后沉,因此前抽屉征往往暗示膝关节处于交锁状态。

6.ACL出现高信号:ACL信号紊乱,中央夹杂有较多高信号。不一定就是ACL损伤,需要与粘液性变、痛风结晶沉积等鉴别。

7.急性血关节:如果为急性ACL损伤,必然存在着大量的关节内积液(血),否则就不是。

8.胫骨后内侧平台骨折:因为半膜肌的牵拉造成其附着点的撕脱骨折,是ACL损伤中一种比较少见的间接征象。

9.内侧半月板后角撕裂:内侧半月板后角是ACL的重要稳定结构,一旦发现青壮年患者的内侧半月板后角损伤,应该高度怀疑是ACL的继发损伤。常常见于陈旧损伤患者。

10.外侧半月板后根损伤:外侧半月板后根撕裂的受机制与ACL损伤的机制相似,因此发现外侧半月板后根损伤时必须考虑有ACL损伤的可能性。

11.半月板桶柄状撕裂:为膝关节的一种严重损伤,常伴有ACL损伤。

12.内侧副韧带损伤:膝关节损伤三联征=ACL+内侧半月板+内侧副韧带损伤,因此,内侧副韧带的严重损伤应该考虑可能有ACL损伤。

13.后交叉韧带弯曲角度异常:矢状位正常的PCL为凸面向后的弓形,边缘光滑。PCL弯曲角度的异常有可能是ACL损伤所致,但准确性不高。

总之,ACL损伤的诊断需要借助MRl检查,掌握以上ACL损伤的阅片方法,可大大提高其MRl诊断的准确性。



京公网安备11010502051256号